Formation

Article réservé à nos abonnés Une gouttière peut avoir de nombreuses utilisations

Les traits ne sont pas indispensables mais ils permettent de mesurer de façon très précise l’égression de la dent.
Pathologie

Article réservé à nos abonnés Prise en charge des lésions carieuses profondes par les omnipraticiens français

La prise en charge restauratrice des lésions carieuses dentinaires est traditionnellement fondée sur des protocoles opératoires impliquant l’exérèse complète (excavation...

Article réservé à nos abonnés Bulle hémorragique chez une femme

CAS 1 Motif de la consultation. Patiente, âgée de 69 ans, traitée pour une gingivite, mais qui, malgré les soins,...
Implantologie

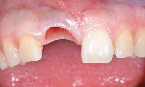
Article réservé à nos abonnés Infraclusie et implant

D’après une étude de Bjork et coll. [1] sur la croissance faciale au maxillaire, il a été établi que la...
Occlusodontologie

Article réservé à nos abonnés Le bruxisme

1 . Charles, 65 ans Motifs de consultationUsures des dents, prothèse. Examen cliniqueMuscles : muscles élévateurs denses.Dents : reconstruction globale...
Médecine

Article réservé à nos abonnés Une hyperplasie gingivale péri-implantaire

1. Quel(s) diagnostic(s) évoquez-vous ?a) Carcinome épidermoïdeb) Hyperplasie endothéliale intravasculairec) Epulis inflammatoired) Granulome pyogénique 2. Quelle est la conduite à tenir...

Article réservé à nos abonnés Dossier Tendances

Pour consulter le dossier tendances, cliquer sur « Visualiser le document » ci-dessous.

Article réservé à nos abonnés Dossier Hygiène et Prévention

Sommaire Prendre en charge les lésions carieuses débutantes Alexia Marie-Cousin, M Gendronneau, C Pellerin, Jean-Louis Sixou La maladie carieuse est...
Chirurgie orale

Article réservé à nos abonnés Gestion péri-opératoire des patients traités par antithrombotiques

Ces dernières années, la thérapeutique antithrombotique a considérablement évolué avec l’arrivée de nouveaux médicaments. Deux nouveaux agents antiplaquettaires sont utilisés...
Hygiène et Asepsie

Article réservé à nos abonnés Les tests de routine des autoclaves

Pour stériliser à la vapeur d’eau des dispositifs médicaux, l’agent stérilisant (la vapeur) doit entrer en contact direct avec toutes...
Odontologie restauratrice

Article réservé à nos abonnés Finition et polissage

Question 1 A partir de quelle rugosité de surface la restauration est-elle détectée comme un corps étranger par la langue...

Article réservé à nos abonnés Panorama clinique

SommaireLa photographie dentaire en bref Imagerie dentomaxillaire par faisceau conique : principes, matériels, indications et dosimétrie Lichen plan gingival :...
Prothèse

Article réservé à nos abonnés Maintenance et gestion des complications des prothèses sur barre transvissées

Le handicap que représente l’édentement complet d’un maxillaire cristallise des doléances multiples d’ordre esthétique, mais surtout multifonctionnelles pour les patients...

Article réservé à nos abonnés Ulcérations palatines postérieures trompeuses !

CAS 1 Motif de la consultation.Patient de 25 ans, venu consulter pour l’apparition d’une lésion douloureuse sur le palais. Histoire...

Article réservé à nos abonnés 1er Grand Prix Innovation Pratique id

Composition du jury de la première édition du Grand Prix Innovation Pratique Coordinatrice : Dr Michèle RenersDr Anne Claisse-CrinquetteDr Emmanuel d’IncauDr...
Implantologie

Article réservé à nos abonnés Les hautes technologies au service de l’implantologie

En attendant de poser nos derniers implants en titane, remplacés par des implants “vivants”, les chirurgiens-dentistes peuvent d’ores et déjà...