Formation

Prothèse

Article réservé à nos abonnés Le traitement des empreintes au cabinet dentaire

Traitement antimicrobien Ce traitement doit constituer une des obligations du praticien et faire partie intégrante des précautions standards visant à...
Prothèse

Article réservé à nos abonnés Asepsie en prothèse au cabinet dentaire

Les actes prothétiques arborent de vraies spécificités : ils nécessitent l’emploi de très nombreux matériels, en conditionnement volumineux (réutilisables), des matériaux...
Prothèse

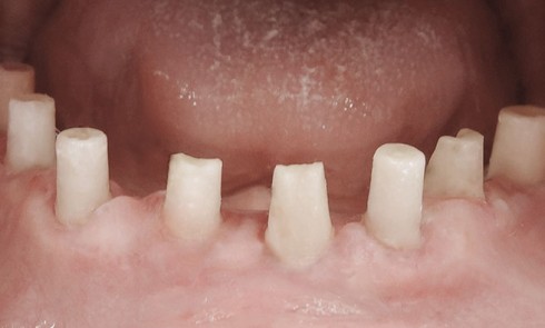
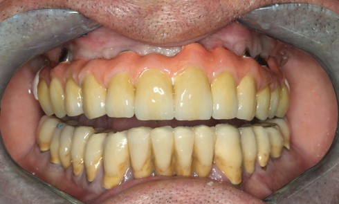
Article réservé à nos abonnés Bridge complet sur 4 implants, télescopes et chapes de friction

La formation joue un rôle capital pour l’entreprise Zirkonzahn. Le fondateur, Enrico Steger, est lui-même prothésiste dentaire. Il est convaincu...
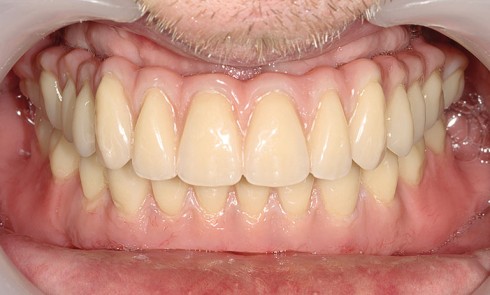
Prothèse

Article réservé à nos abonnés Intérêt des dents Premium®sur une prothèse implanto-portée en Peek

Nous vous proposons dans cet article de détailler pas à pas la réalisation au laboratoire d’une prothèse complète maxillaire implanto-portée,...
Prothèse

Article réservé à nos abonnés Les implants courts au maxillaire postérieur : une alternative fiable et peu invasive

Les implants courts (≤ 8 mm) peuvent constituer une bonne alternative aux implants standards. Le recours aux techniques d’augmentation osseuse peut...
Prothèse

Article réservé à nos abonnés La mandibule atrophiéeRestauration prothétique avec des attachements Locator® angulés

L’implantologie a acquis ses lettres de noblesse en odontologie, et, pour les patients édentés, elle rivalise de plus en plus...
Prothèse

Article réservé à nos abonnés Les dents Genios®, une réussite esthétique et fonctionnelle

L’allongement de l’espérance de vie avec un gain qui se situe entre 1,5 et 3 mois par an entraîne un...
Prothèse

Article réservé à nos abonnés L’esthétique à tout prix

Depuis le début des années 2000, le disilicate de lithium IPS e.max (Ivoclar-Vivadent) est devenu un matériau incontournable pour la...
Prothèse

Article réservé à nos abonnés Le matériau Peek en implantologie une alternative au titane

Reconnu pour ses qualités mécaniques et sa biocompatibilité, le Peek est un matériau particulièrement intéressant en implantologie, par son élasticité...

Article réservé à nos abonnés Dossier Stress

Avant-propos Dépasser le stress… Fin d’une journée de travail, il est 21 heures et les patients se sont succédé depuis 8 heures....
ODF

Article réservé à nos abonnés Peut-on déplacer orthodontiquement une dent traumatisée ?

Traumatisme dentaire et orthodontie Les complications post-traumatiques à redouter Elles peuvent intéresser l’organe dentaire et/ou son parodonte. L’atteinte du complexe...
ODF

Article réservé à nos abonnés Risque iatrogène sur l’émail de la dépose des attaches orthodontiques et du nettoyage de la colle

Incidence du choix de l’attache Deux caractéristiques de l’attache jouent un rôle important dans le respect de l’émail à la...
ODF

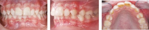
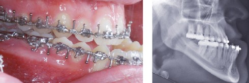
Article réservé à nos abonnés Dépistage précoce des Classes III chirurgicales

Cas n° 1 Olivier se présente à l’âge de 12 ans avec une classe III squelettique à prédominance mandibulaire, accompagnée d’une...
Hygiène et Asepsie

Article réservé à nos abonnés Qualification et Requalification de vos autoclaves

Les cabinets dentaires doivent aujourd’hui être équipés de petits autoclaves de classe B dont le volume de la cuve varie...

Article réservé à nos abonnés Etude anatomique du paquet vasculo-nerveux alvéolaire inférieur dans le canal mandibulaire et intérêts en implantologie

L’une des principales complications en chirurgie implantaire réside dans l’atteinte du paquet vasculo-nerveux alvéolaire inférieur dans la région de la...

Article réservé à nos abonnés SPECIAL ADF – Partie 2

SOMMAIRE Congrès Parole à Paul Cattanéo, Secrétaire scientifique du congrès ADF 2015 Quiz : testez vos connaissances pour établir votre parcours...