Formation

Article réservé à nos abonnés SPECIAL ADF – Partie 1

SOMMAIRE Le Congrès Parole à Eric Gérard, Président scientifique du congrès ADF 2015 Bibliographie : les choix du comité scientifique. Parcours...
Implantologie

Article réservé à nos abonnés Concept Z I L : nouvelle architecture des armatures en zircone

La zircone permet de résoudre la plupart des situations prothétiques puisqu’elle remplace remarquablement les alliages métalliques, tout en possédant des...
Implantologie

Article réservé à nos abonnés La connectique prothèse-implant

Le succès des restaurations implantaires est lié à de nombreux facteurs, les plus critiques étant ceux responsables du résultat esthétique...
Implantologie

Article réservé à nos abonnés CAD CAM et pilier implantaire : la gestion du profil d’émergence

Le défi en implantologie est de répondre aux attentes esthétiques des patients dans les cas de restaurations antérieures. Le volume...
Implantologie

Article réservé à nos abonnés Le Digital Workflow

Depuis le début des années 2000 et l’avènement de la chirurgie guidée, cette procédure s’est progressivement imposée comme une aide...
Implantologie

Article réservé à nos abonnés Elongation coronaire à visée esthétique : approche biométrique

La parodontologie et la dentisterie restauratrices sont des disciplines interdépendantes qui doivent être abordées en totale synergie. C’est particulièrement le...
Implantologie

Article réservé à nos abonnés Analyse des facteurs de risques esthétiques, nouvelle approche : Digital Smile Design

Le protocole de traitement proposé utilise le Digital Smile Design (DSD) tel qu’il a été défini par Coachman et coll....
ODF

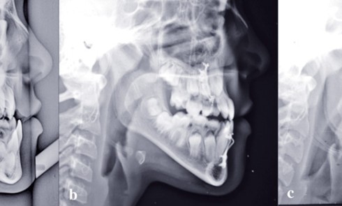
Article réservé à nos abonnés Chirurgie orthognathique guidée

Filière numérique, protocole Phase initiale d’acquisition et de traitement des données natives (segmentation)Elle est enclenchée une fois terminée la préparation...
ODF

Article réservé à nos abonnés Protocole de collage indirect recommandé pour la préservation de l’émail

Les différentes étapes de ce protocole de collage permet de coupler des performances très importantes au niveau des secteurs molaires...
ODF

Article réservé à nos abonnés Risque iatrogène sur l’émail de la dépose des attaches orthodontiques et du nettoyage de la colle

L’effet iatrogène est un effet indésirable, conséquence d’un traitement par un thérapeute qui n’est pas nécessairement lié à une erreur,...
ODF

Article réservé à nos abonnés Cas de classe III squelettique traité avec le système BAM

Cependant, la pose des plaques a été difficile du fait de la finesse du contrefort zygomatique et du peu de...

Article réservé à nos abonnés Dossier esthétique

Sommaire ANALYSE chromatique en vue d’une restauration esthétique antérieure. Intérêts de la lumière polariséeClara Marcoux, Marie Clément, Renaud Noharet LE...
Prothèse

Article réservé à nos abonnés Etude rétrospective monocentrique de patients porteurs d’un SAOS et analyse de coupes IRM

La prévalence mondiale du syndrome d’apnée obstructive du sommeil (SAOS) est de l’ordre de 5 % dans la population générale. Elle...
Prothèse

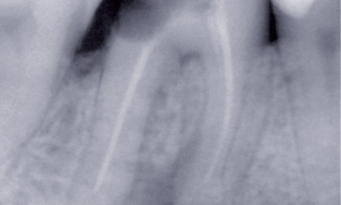
Article réservé à nos abonnés Le pilier prothétique : faut-il traiter ou implanter ?

Le pilier prothétique est indispensable à la prothèse fixée. Sa pérennité dans le temps est un critère majeur dans la...
Prothèse

Article réservé à nos abonnés Echec à l’amovibilité

Le traitement de l’édentement total par la prothèse amovible conventionnelle reste aujourd’hui une réalité qui répond à l’augmentation continue du...
Esthétique

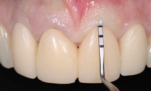
Article réservé à nos abonnés Echec de teinte et de communication avec le laboratoire : échec et mat ?

L’échec prothétique est malheureusement présent au sein de notre pratique. Néanmoins, il nécessite d’être détaillé et évalué, car tous les...