Formation

Pathologie

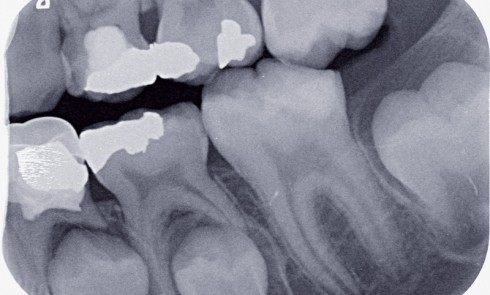
Article réservé à nos abonnés À propos d’une lésion radio-opaque

1. Quelle est votre première orientation diagnostique ?a) Odontomeb) Torus mandibulairec) Lithiase salivaired) Canine inclusee) Aucune des réponses La patiente ne...
Implantologie

Article réservé à nos abonnés Intérêt de l’utilisation d’un pilier personnalisé zircone embase titane pour implants Axiom® REG/PX

Il semble que l’utilisation de restaurations scellées sur des piliers eux-mêmes vissés présente deux inconvénients :– l’impossibilité de déposer l’élément scellé,...
Hygiène et Asepsie

Article réservé à nos abonnés L’eau des units dentaires

Vrai ou faux… Question 1 En pratique libérale, la qualité microbiologique de l’eau d’alimentation des units dentaires doit répondre aux...
Implantologie chirurgicale

Article réservé à nos abonnés Chirurgie implantaire symphysaire en PACSI

La PACSI est un traitement simple, qui a fait ses preuves depuis de nombreuses années et qui reste abordable sur...

Article réservé à nos abonnés Tuméfactions et prothèse adjointe

Motif de la consultation. Homme de 65 ans qui a consulté pour une tuméfaction en rapport avec une prothèse adjointe...
Endodontie

Article réservé à nos abonnés Instruments de préparation canalaire F360® et F6 SkyTaper® répondent-ils à nos attentes ?

 Dans le concept F360®, les instruments présentent une conicité de 4 % constante avec des diamètres de pointe de 25, 35,...

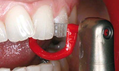
Article réservé à nos abonnés Dossier Céramique

Sommaire Les matériaux céramiques, que faut-il en retenir ? Anthony Atlan Principes des préparations antérieures pour systèmes tout céramique Jean-Philippe Pia,...
ODF

Article réservé à nos abonnés L’encombrement mandibulaire chez l’adulte : étiologie et prise en charge par aligneurs

L’âge aidant, l’exposition des incisives maxillaires diminue graduellement et la visibilité des incisives mandibulaires devient prépondérante. La participation des dents...
ODF

Article réservé à nos abonnés Orthodontie préprothétique en omnipratique

Les réhabilitations prothétiques de petite ou grande étendue s’effectuent après un diagnostic complet et soigneux et l’élaboration d’un projet prothétique....
ODF

Article réservé à nos abonnés Prise en charge orthodontique précoce : place de l’omnipraticien

La prise en charge d’une malocclusion doit se faire le plus précocement possible. Ceci semble être aujourd’hui un principe partagé...
ODF

Article réservé à nos abonnés Interception des malocclusions à l’aide des éducateurs fonctionnels

L’interception des malocclusions à l’aide d’éducateurs fonctionnels fait partie de notre arsenal thérapeutique. Elle prend en compte l’ensemble des fonctions...
ODF

Article réservé à nos abonnés La prise en charge des habitudes de succion non nutritive

Quelle maman ne s’est pas interrogée, et ne nous a pas interrogés, sur l’intemporelle question de la succion du doigt...
ODF

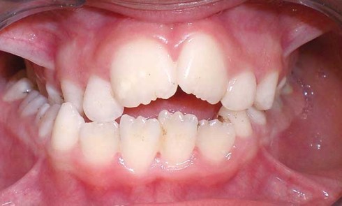
Article réservé à nos abonnés Diagnostic des malocclusions simples

L’Orthopédie Dento-Faciale est une discipline de l’art dentaire bien souvent oubliée de l’omnipraticien. L’orthodontiste voit arriver en consultation des patients...
ODF

Article réservé à nos abonnés Ventilation buccale et SAOS chez l’enfant

Ventilation buccale La nécessité vitale de la permanence des échanges gazeux au niveau des alvéoles pulmonaires confère un rôle capital...
ODF

Article réservé à nos abonnés La contention dans tous les cas…

Etymologiquement, la contention signifie « tenir avec ». Temporaire, semi-permanente ou permanente, elle est destinée à solidariser et maintenir en place des...
ODF

Article réservé à nos abonnés Formation et physiologie de la dent permanente immature : les répercussions cliniques

La période d’immaturité dentaire, bien que très brève au regard de la durée de vie de la dent sur arcade,...