Formation

Article réservé à nos abonnés Le rôle de l’assistante dans les urgences médicales au cabinet dentaire

L’accueil du patient S’il est un rôle déterminant dans notre activité d’assistante dentaire, c’est certainement celui de l’accueil du patient....

Article réservé à nos abonnés Partir en vacances et revenir dans les meilleures conditions !

Les premiers jours de la rentrée, il faut convenir d’une réunion d’équipe afin de :– redire son engagement réciproque pour le...

Article réservé à nos abonnés Les assistantes en accord avec la sagesse des Toltèques

Pour éviter tout jugement de nous-mêmes, l’auteur recommande de faire toujours de notre mieux. Il est physiquement impossible d’être toujours...

Article réservé à nos abonnés DOSSIER URGENCES 2

Après avoir abordé les urgences axées sur la prise en charge des patients à besoins spécifiques dans la première partie...
Prothèse

Article réservé à nos abonnés Réalisation d’un bridge céramométallique maxillaire sur implant et d’un bridge provisoire antagoniste

Prothèses réalisées par Damien Lamaison, laboratoire Cérazur. Fiche réalisée avec le soutien de 3M ESPE

Article réservé à nos abonnés Spécial Tendances

Retrouvez l’ensemble de ce dossier en cliquant sur ci-dessous.
Imagerie

Article réservé à nos abonnés Nerf alvéolaire inférieur

Le fait que l’extraction des dents de sagesse mandibulaire soit désormais une pratique courante peut s’expliquer en partie par les...
Pathologie

Article réservé à nos abonnés À propos d’une dent de sagesse

1. Quel examen complémentaire demandez-vous en première intention ?a) IRMb) TDMc) Ponction de la lésiond) Échographiee) Aucune des réponses 2. Quel...
Médecine

Article réservé à nos abonnés Promenons nous dans les bois… pendant que la tique n’y est pas !

Ixodes ricinus (tique dure hématophage) est responsable de la maladie de Lyme. Cet arthropode peut être également à l’origine de...
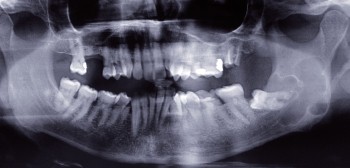
Implantologie

Article réservé à nos abonnés Implantation immédiate d’un site molaire

Araujo et Hämmerle ne remettent pas en cause le fort taux de survie des implants immédiatement placés lors d’avulsions [3]....
Santé publique

Article réservé à nos abonnés L’impact de la cigarette électronique dans l’exercice quotidien du chirurgien-dentiste

La lutte contre le tabagisme, engagée depuis plus de vingt ans, n’apporte pas de résultats suffisamment satisfaisants. Aujourd’hui encore, le...
Pathologie

Article réservé à nos abonnés Comprendre les bases de la cariologie en 10 points (partie II)

Agents chimiques agissant sur la balance carieuseUn certain nombre d’agents chimiques peuvent influencer la balance carieuse en agissant sur le...
Chirurgie orale

Article réservé à nos abonnés Une « boule » sous la langue

Un patient, âgé de 23 ans, vient consulter pour une lésion indolore au niveau de la face ventrale de la...
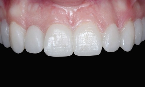
Esthétique

Article réservé à nos abonnés Analyse diagnostique d’un traitement esthétique : Digital Smile Design®

Le Digital Smile Design® vient compléter les outils classiques en rationalisant et en objectivant les différents éléments de la composition...

Article réservé à nos abonnés La langue

À la fois automatiques, réflexes et volontaires, ses mouvements restent incontrôlables quand il s’agit de préparer délicatement une deuxième molaire...
Prothèse

Article réservé à nos abonnés Projet prothetique et utilisation du mock-up : des facettes à l’implantologie

De tout temps, l’homme a voulu modifier son aspect physique pour gagner en confiance et offrir une meilleure image de...