Formation

Prothèse

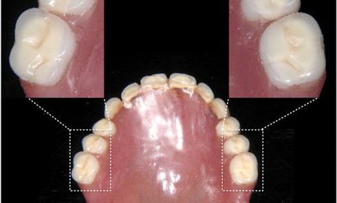
Article réservé à nos abonnés Prothèse complète implanto-portée: caractérisation de la fausse gencive en résine composite

Le succès d’une restauration prothétique, qu’elle soit fixe ou amovible, unitaire ou multiple, repose sur des exigences fonctionnelles mais aussi,...
Prothèse

Article réservé à nos abonnés Salle 16: retour d’expérience sur l’utilisation d’un simulateur virtuel

L’usage de la technologie dans l’enseignement n’est pas récent. Ainsi, ces dernières années les évolutions des techniques de l’information et...
Prothèse

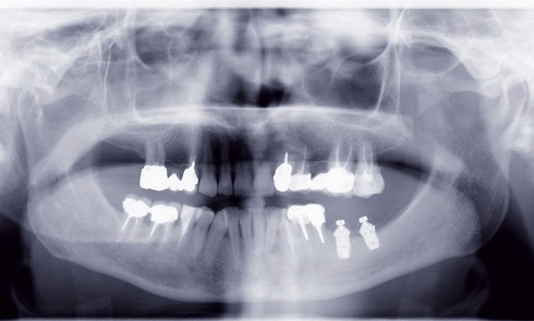
Article réservé à nos abonnés Perte osseuse mandibulaire interruptrice et prothèse amovible implanto-retenue

La mise en œuvre d’une réhabilitation prothétique complète fonctionnelle après chirurgie carcinologique de la mandibule n’est pas toujours aisée, en...
Prothèse

Article réservé à nos abonnés Exemple d’analyse de la situation initiale avant l’élaboration d’un devis: reconstruction prospective par la technique du drapeau

Au Service de Consultations et de Traitements Dentaires des Hospices Civils de Lyon, comme en cabinet de ville, le patient...
Prothèse

Article réservé à nos abonnés Prise en charge des blessures prothétiques dans le diagnostic des lésions orales malignes ou à potentiel malin

Tous les ans, en France, on estime à environ 6 600 le nombre de diagnostics positifs posés pour un cancer...
Prothèse

Article réservé à nos abonnés Recherche clinique en milieu hospitalier : du projet à la mise en œuvre Illustration par l’étude PASI-PAC

La recherche clinique est capitale au développement de nos connaissances diagnostiques et thérapeutiques. Elle contribue à l’amélioration de notre pratique...
Implantologie

Article réservé à nos abonnés Les implants courts

Depuis les travaux de Brånemark, l’implantologie moderne basée sur les données scientifiques offre une option thérapeutique fiable à long terme....
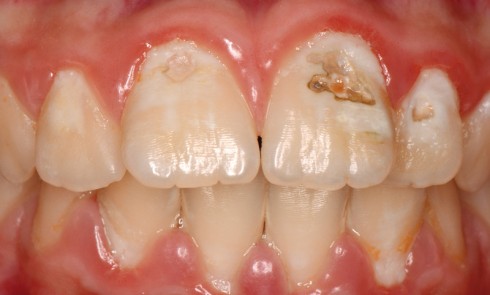
Pathologie

Article réservé à nos abonnés Comprendre les bases de la cariologie en 10 points (partie 1)

Quelques définitions Maladie carieuseLa maladie carieuse est une maladie infectieuse transmissible ; les lésions carieuses en sont le symptôme. Prendre en...

Article réservé à nos abonnés Leucoplasie ou kératose ?

Motif de la consultation. Patient de 44 ans, sans antécédents médico-chirurgicaux, n’ayant jamais fumé, qui a découvert récemment une plage...
ODF

Article réservé à nos abonnés Guideline numérique : le ClinCheck® Pro Invisalign

La technique Invisalign Apparue en 1999 aux USA, elle doit son succès en partie grâce à l’élaboration et à l’évolution...
Parodontologie

Article réservé à nos abonnés Parodontie et orthodontie : le traitement idéal des maladies parodontales

Les parodontites touchent environ 50 % de la population adulte (1) et provoquent la perte des tissus de soutien des dents...
ODF

Article réservé à nos abonnés Traitement d’une “classe III”

De profil, on remarque un hypodéveloppement des régions sous orbitaires et une tendance à la prognathie mandibulaire avec, de face,...
Odontologie pédiatrique

Article réservé à nos abonnés Carie précoce du jeune enfant

Malgré les progrès de prévention de la maladie carieuse, il est encore fréquent de recevoir en consultation d’odontologie pédiatrique de...
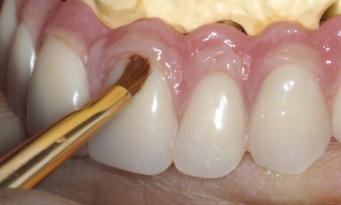
Esthétique

Article réservé à nos abonnés Intégration d’une restauration composite sur une incisive centrale

Les améliorations technologiques des matériaux comme le composite ont eu lieu en réponse à une demande esthétique croissante des patients....
Médecine

Article réservé à nos abonnés Céphalées chroniques quotidiennes (CCQ)

De quoi s’agit-il ? Les CCQ sont définies par la présence de maux de tête : plus de 15 jours par mois,...

Article réservé à nos abonnés L’hygiène des tuyaux d’aspiration de l’unit dentaire

Le fauteuil dentaire, support de l’activité du chirurgien-dentiste, constitue la pièce maîtresse du cabinet dentaire.Le système d’aspiration est l’un des...