Formation

Esthétique

Article réservé à nos abonnés Régénération Prothétique Guidée sur piliers dentaires

Cet article présente le concept de Régénération Prothétique Guidée (RPG) sur piliers dentaires (fig. 1). Le diagnosticDans la zone antérieure maxillaire,...

Article réservé à nos abonnés La fraise, instrument de référence dans l’évaluation visuelle de la largeur de la limite cervicale d’une préparation périphérique

Pour des bords de restaurations céramo-métalliques ou céramo-céramiques, les valeurs des largeurs des limites indiquées dans les ouvrages varient entre...

Article réservé à nos abonnés DOSSIER URGENCES 1

La permanence des soins et des urgences requiert la mobilisation et la coordination de tous les acteurs. « L’état des lieux...

Article réservé à nos abonnés La communication, fonction prioritaire de l’assistante en parodontie

Cet appel nous permet aussi à nous assistantes, d’en apprendre déjà beaucoup sur l’attitude du patient (stressé, apeuré, perdu, curieux).Lors...

Article réservé à nos abonnés Tu t’es vu quand tu travailles ?

Tout d’abord prenez le temps de vous installer. Très souvent vous ne prenez pas le temps de prendre soin de...

Article réservé à nos abonnés Le traitement parodontal

Le traitement parodontal s’inscrit souvent dans un plan de traitement pluridisciplinaire. En effet, en présence de facteurs de risque locaux...

Article réservé à nos abonnés Qu’est-ce que la maladie parodontale ?

Depuis 1999, l’Académie Américaine de Parodontologie a classé les différentes formes de maladies parodontales afin d’universaliser et formuler nos diagnostics,...

Article réservé à nos abonnés Début de printemps à Cologne

Des résultats qui témoignent du dynamisme du secteur et permettent de relativiser face aux bouleversements qui attendent la profession, en...

Article réservé à nos abonnés Douleur palatine chronique sans lésion muqueuse évidente !

CAS 1 Motif de la consultation. Femme de 66 ans, adressée pour le diagnostic et le traitement de douleurs palatines...
Endodontie

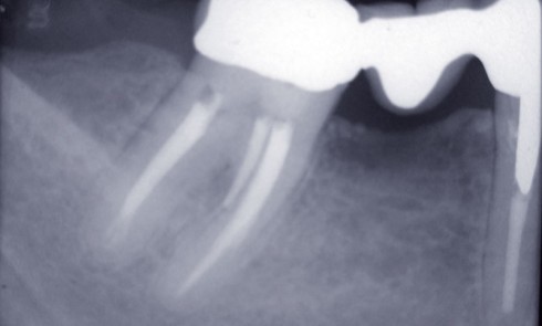
Article réservé à nos abonnés Us et abus des antibiotiques en endodontie (3/3)

Indications prophylactiques (antibioprophylaxie) L’antibiothérapie prophylactique consiste en l’administration d’un antibiotique dans l’objectif de prévenir le développement d’une infection locale, générale...
Chirurgie orale

Article réservé à nos abonnés Intérêt de l’imagerie pour les greffes d’apposition allogéniques par tunnelisation

Problématique des greffes d’appositionLes greffes d’apposition consistent à augmenter en largeur – et dans une moindre mesure en hauteur –...
Odontologie restauratrice

Article réservé à nos abonnés Edentement unitaire postérieur et abstention thérapeutique : mythes et réalités

Malgré l’amélioration de la santé orale observée dans les pays industrialisés ces dernières années, l’extraction dentaire reste un acte fréquent....
Odontologie restauratrice

Article réservé à nos abonnés Connectique implantaire vissée

Dans les débuts de ce qui n’était pas encore l’implantologie, les implants (sous des formes diverses) comprenaient à la fois...
Odontologie restauratrice

Article réservé à nos abonnés Prothèse implantoportée unitaire et édentement unitaire postérieur : facteurs de succès prothétiques

La mise en place de restaurations prothétiques unitaires sur des implants situés dans les secteurs postérieurs (zone des prémolaires et...
Odontologie restauratrice

Article réservé à nos abonnés Les bridges collés cantilever en vitrocéramique renforcée au disilicate de lithium

L’édentement unitaire antérieur pose le difficile challenge de l’intégration esthétique au niveau prothétique. Les situations de trauma et celles d’agénésie...
Odontologie restauratrice

Article réservé à nos abonnés Le cantilever : une nouvelle géométrie pour les bridges collés

Avec l’avènement de l’implantologie et son développement rapide, il peut sembler difficile de laisser une place aux bridges collés lorsqu’il...