Formation

Implantologie

Article réservé à nos abonnés Gestion implantaire de l’édentement unitaire dans le secteur esthétique : une approche visant à optimiser les tissus Partie II : aspects prothétiques

La « pink esthetic », c’est-à-dire l’aspect esthétique des tissus gingivaux, se distingue de la « white esthetic », qui est relative à la...
Odontologie restauratrice

Article réservé à nos abonnés Gestion implantaire de l’édentement unitaire dans le secteur esthétique : une approche visant à optimiser les tissus. Partie I : Aspect chirurgical

Le résultat esthétique d’un traitement implantaire dentaire (chirurgical + prothétique) dépend fortement de l’harmonie entre la couronne prothétique et les tissus...
Parodontologie

Article réservé à nos abonnés Athérosclérose et inflammation parodontale

Bastien ProuvostDépartement de parodontologieUFR d’odontologie, Université Paris DiderotService d’odontologie, Hôpital Rothschild AP-HP Adrian BrunUniversité Paris Descartes, Sorbonne Paris CitéINSERM UMR1148,...
Endodontie

Article réservé à nos abonnés Us et abus des anti­biotiques en endodontie (2/3)

Agir « localement » pour un bénéfice « global »Il est important d’agir « localement » pour un bénéfice « global » de santé publique, en évitant l’utilisation...

Article réservé à nos abonnés Proposition d’une nouvelle grille de classification des altérations dentaires volontaires en anthropologie

Notre classification morpho-descriptive est fondée sur une répartition en types et sous-types, selon l’aspect de la dent après traitement mutilatoire....
Parodontologie

Article réservé à nos abonnés LE PARODONTE au cœur de la santé

À la fin du XXe siècle, une série d’études a interpellé les parodontologues de la planète. On connaissait depuis très longtemps...
Prothèse

Article réservé à nos abonnés La photographie dentaire 
au quotidien, 
que faut-il faire et ne pas faire ?

La photographie est devenue, avec l’avènement du numérique et la démocratisation des matériels photographiques, un outil essentiel dans l’aide au...
Prothèse

Article réservé à nos abonnés Photographie des modèles 
et des petites pièces. 
Comment mettre en valeur nos travaux ?

Les objets de petite taille occupent une place essentielle en odontologie. Parmi eux, on peut citer, l’instrumentation dentaire, les dents,...
Prothèse

Article réservé à nos abonnés La photo dentaire en bref

La photographie dentaire… Vaste sujet en théorie puisque ses fondements relèvent de la photographie « générale ». Il n’existe évidemment pas de...
Prothèse

Article réservé à nos abonnés Et si l’image avait une âme ?

Il est des personnes qui ne font partie d’aucun monde. Certains les considèrent « border line », d’autres comme des génies, d’autres...
Prothèse

Article réservé à nos abonnés Juste un peu de technique

Un appareil photographique est composé de différents éléments qui concourent à la réalisation d’une photo. Il peut être utile de...
Parodontologie

Article réservé à nos abonnés Recouvrement de récessions gingivales de classe III de Miller avec lésions cervicales d’usure – Partie I

Examen cliniqueNotre patiente de 44 ans, soucieuse de son sourire, se plaint d’hypersensibilités dentinaires et désire recouvrir ses racines dénudées....
Parodontologie

Article réservé à nos abonnés La papille entre deux implants

Nous savons que la position des implants va influencer la qualité et la quantité des tissus inter-implantaires. Lorsque la distance...
Endodontie

Article réservé à nos abonnés Us et abus des antibiotiques en endodontie (1/3)

En endodontie, les antibiotiques sont utiles quand il est nécessaire d’aider les défenses de l’hôte à éliminer les micro-organismes résiduels...
Odontologie restauratrice

Article réservé à nos abonnés Restauration postérieure définitive à l’aide d’une résine «bulk»

Le remplacement d’une obturation ancienne, en particulier à l’amalgame, même sur une dent asymptomatique, est une préoccupation quotidienne du praticien....
ODF

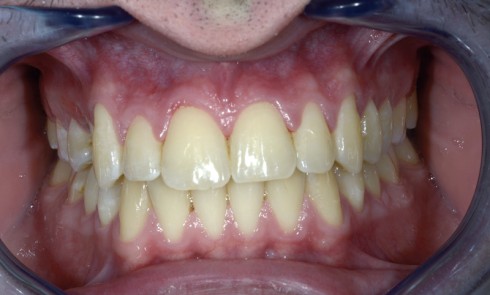
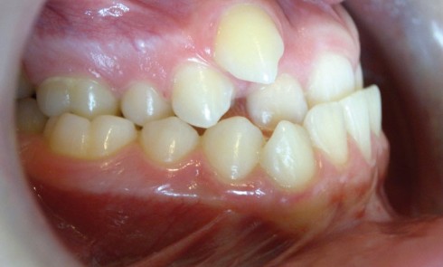
Article réservé à nos abonnés Classe III en fin de croissance

Rappel de la problématiqueGuillaume, 14 ans, se présente pour la première fois en consultation d’orthodontie, adressé par son dentiste. Il...