Formation

ODF

Article réservé à nos abonnés Les caméras optiques

La conception d’un scanner à empreinte intra-oral nécessite beaucoup de temps et d’investissement aux industriels pour obtenir un outil qui...
ODF

Article réservé à nos abonnés Traitement par Insignia

Le projet thérapeutique Il a été décidé de mettre en œuvre une thérapeutique avec brackets vestibulaires Damon afin d’optimiser l’expansion...
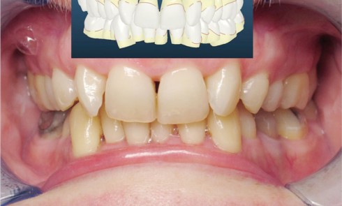
ODF

Article réservé à nos abonnés Traitement par Insignia

Nous lui avons donc proposé un traitement d’alignement avec maintien des 14 et 24 en position de 13 et 23...
Occlusodontologie

Article réservé à nos abonnés Dossier ATM

Pour les fiches cliniques ATM, cliquez ci-dessous sur
Matériels

Article réservé à nos abonnés Nouveautés Produits ADF 2014

Cassettes Modulis Nichrominox Efficacité et rentabilité obligent, l’utilisation des cassettes et autres séquenceurs d’instruments se répand, laborieusement certes, dans les...
Parodontologie

Article réservé à nos abonnés La gingivite “simple”, c’est simple à traiter

L’année dernière, l’Académie Américaine de Parodontologie (AAP) a fêté son centenaire. Dans l’un des numéros du Journal of Periodontology, la...
Chirurgie orale

Article réservé à nos abonnés Chirurgie maxillo-faciale guidée

Les réhabilitations orales à l’aide de bridges implanto-portés chez les patients atteints d’édentement complet maxillaire avec atrophie squelettique peuvent nécessiter...
Prothèse

Article réservé à nos abonnés Polissage d’éléments prothétiques métalliques en bouche

Instrumentation mise en œuvre En bouche Fraise carbure de tungstène H379E.314.023 Pierre Arkansas 661.204.420 Polissoir 9608.204.30 Au fauteuil Fraise en...
Implantologie

Article réservé à nos abonnés Lambeau de reconstruction papillaire 
pour deuxième temps de chirurgie implantaire


Le but de ce rapport de cas est de décrire une technique de deuxième temps chirurgical qui va aménager les...
Prothèse

Article réservé à nos abonnés Modelage de l’espace prothétique dans les édentements mandibulaires partiels à crêtes résorbées

En présence d’un édentement postérieur bilatéral de grande étendue associé à une résorption osseuse sévère, la piézographie au niveau mandibulaire...
ODF

Article réservé à nos abonnés Refermer un diastème inter-incisif

Vous est-il déjà arrivé qu’un patient revienne durant la période de contention et qu’il vous dise : « j’ai perdu mon fil...
ODF

Article réservé à nos abonnés Assistante dentaire en orthodontie : quelles spécificités ? Quel avenir ?

Quelles sont les spécificités de la profession d’assistante dentaire en orthodontie ?J’ai posé la question aux assistantes du groupe présent sur...
ODF

Article réservé à nos abonnés Aide à l’information des patients

Une communication efficace garantit la qualité et la sérénité des relations du patient avec l’équipe soignante. En effet, nous considérons...
ODF

Article réservé à nos abonnés La chirurgie au service de l’orthodontie : la corticotomie

En quoi cela consiste ?En plus du traitement orthodontique conventionnel, un geste chirurgical est réalisé en début de traitement. Il consiste...
ODF

Article réservé à nos abonnés L’accueil téléphonique

Répondre à l’appel L’acte quotidien le plus courant de l’assistante qui en a la charge.Le ton général des conversations téléphoniques...

Article réservé à nos abonnés L’assistante face à un contrôle de l’Autorité de Sûreté Nucléaire

Lorsque le praticien a installé ou modifié son matériel radiologique, avec l’aide et les conseils de la personne compétente en...