Formation

Article réservé à nos abonnés Spécial Tendances

Pour consulter le dossier « Spécial Tendances « cliquer  sur 
Chirurgie orale

Article réservé à nos abonnés Évaluation de la difficulté d’extraction des dents de sagesse mandibulaires

Les dents évoluées sur l’arcade présentent généralement peu de problèmes lors de l’extraction. Les difficultés rencontrées alors sont essentiellement en...
Endodontie

Article réservé à nos abonnés Les lésions inflammatoires périradiculaires d’origine endodontique : données actuelles

La présence de bactéries dans le canal, puis au sein du périapex, active les mécanismes de défense de l’hôte [18]....
Prothèse

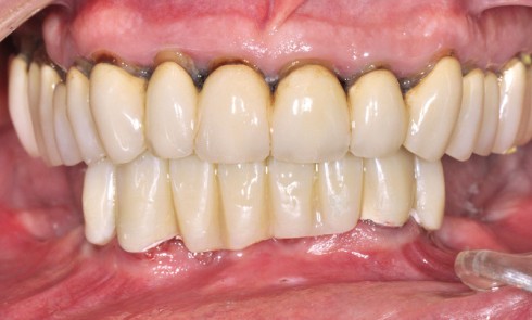
Article réservé à nos abonnés 5 étapes clés pour réussir la prothèse complète implanto-portée

Les nouvelles technologies facilitent considérablement le travail du chirurgien et permettent de faire face à d’éventuels échecs [6, 7]. Associées...
Prothèse

Article réservé à nos abonnés Utilisation des inserts ultrasonores Perfect Margin® dans les préparations coronaires partielles

Voici quelques années, nous avions développé, en collaboration avec la société Satelec/Actéon, une série d’inserts ultrasonores diamantés (IUD), les Perfect...

Article réservé à nos abonnés Panorama clinique : les incontournables

A l’initiative scientifique deJean-Jacques LasfarguesMichel PompignoliMichèle RenersMichel BartalaFrédéric Bohin Sommaire : Pronostic et maintenance en implantologie chez l’édenté totalMaxime Helfer,...
Médecine

Article réservé à nos abonnés Une lésion linguale

1. Que faites-vous en première intentionlors de cette consultation ?a. Prescription de bains de boucheb. Abstention et réévaluationc. NFSd. Frottis de...
CFAO

Article réservé à nos abonnés Réalisation d’une barre fraisée personnalisée en titane dans la réhabilitation d’un maxillaire atrophié

Présentation du cas Il s’agit d’une patiente âgée de 75 ans, non fumeuse, traitée depuis sept ans par méthotrexate pour...
Pharmacologie

Article réservé à nos abonnés Recommandations et prescription en implantologie orale

Article remarquable permettant des applications cliniques immédiates dans la gestion médicamenteuse des patients bénéficiant d’un traitement implantaire.Michel BartalaRédacteur en chef...

Article réservé à nos abonnés Agitation au palais !

CAS 1 Motif de la consultationPatiente de 52 ans, infirmière, venue consulter pour la découverte d’une lésion palatine sensible lors...
Prothèse

Article réservé à nos abonnés Adapter pour faire adopter

La composante psychologiqueLe patient peut considérer cet outil comme un corps étranger, surtout lorsqu’il s’agit de ses premières prothèses, mises...
Parodontologie

Article réservé à nos abonnés Paro/implanto : quand les dogmes sont remis en cause…

Si le thème général de la journée était « Expérience à long terme des traitements implantaires », le Professeur Jemt a consacré...
Prothèse

Article réservé à nos abonnés Le projet esthétique virtuel

Il existe différentes descriptions de ce type de projet (CAD-CAM, Digital Smile Design, Custom Smile Design) [1, 2, 3]. Ce...
Endodontie

Article réservé à nos abonnés L’endodontie chirurgicale

Les taux de succès des traitements endodontiques ne sont malheureusement pas toujours favorables et plusieurs études internationales ont montré des...
Hygiène et Asepsie

Article réservé à nos abonnés Le lavage des mains

La clairvoyance du savant :Louis Pasteur « Si j’avais l’honneur d’être chirurgien, pénétré comme je le suis des dangers auxquels...
Imagerie

Article réservé à nos abonnés Examens cone beam et panoramiques

Récemment mise au point, l’imagerie volumique ou cone beam CT se répand, elle devient plus courante en radiologie dentaire et...