Formation

Prothèse

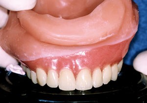
Article réservé à nos abonnés Fausse gencive Nexco sur bridge céramométallique

Dans les cas cliniques où la résorption osseuse importante entraîne un affaissement de la crête résiduelle, les artifices prothétiques nécessitent...

Article réservé à nos abonnés Dossier: ENDO IMPLANTO PARO

Coordination du numéro: Sommaire Ce numéro reflète non seulement la spécificité de chaque discipline, mais également les enrichissements théoriqueset cliniques...

Article réservé à nos abonnés Dossier: Made in France

Jouer la proximité, la qualité, maintenir un savoir-faire, soutenir l’économie locale… Dans un contexte économique difficile où la France a...
Pathologie

Article réservé à nos abonnés Les glossodynies

La glossodynie, du grec ancien « glôssa », la langue, et « odúnê » la douleur, peut revêtir deux sens :– l’un, très général, où...
ODF

Article réservé à nos abonnés Répercussions de l’orthodontie sur la santé pulpaire

Effets directs supposés La force orthodontique constitue-t-elle une agression physique pour la pulpe ?Les derniers travaux réalisés dans le domaine de...
ODF

Article réservé à nos abonnés Classe III en fin de croissance

Guillaume, 14 ans, se présente pour la première fois en consultation d’orthodontie, adressé par son dentiste. Il se plaint de...
ODF

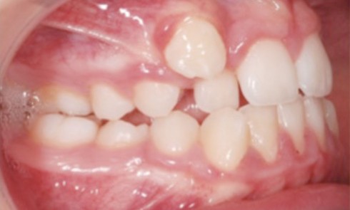
Article réservé à nos abonnés Traitement d’une malocclusion de classe II

Camille âgée de 12 ans et 7 mois se présente à la consultation adressée par son chirurgien-dentiste. Son profil convexe...
ODF

Article réservé à nos abonnés Présentation d’un cas traité en attaches passives et forces légères

Le cas d’Anthony âgé de 11 ans et 7 mois qui présente une endomaxillie bilatérale associée à un léger encombrement...
Endodontie

Article réservé à nos abonnés Résorption cervicale invasive

A l’image de l’ensemble des résorptions, un processus d’activation des cellules ostéoclastiques [2] est initié dans la région cervicale, entraînant...
Pathologie

Article réservé à nos abonnés La flore bactérienne chez l’édenté total

À la naissanceLe nouveau-né possède une cavité buccale aseptique indemne de toute présence bactérienne, fongique et sans aucune défense immunitaire....
Parodontologie

Article réservé à nos abonnés Bouche, stress et parodonte

Que ce soit au travail, au sein de la famille ou bien en nous-mêmes, les sources de stress sont multiples....
Prothèse

Article réservé à nos abonnés Prise en charge palliative d’un carcinome épidermoïde de la pyramide nasale : à propos d’un cas

La face forme un massif osseux situé à la partie antéro-inférieure du crâne. Elle est constituée de quatorze os, dont...
Prothèse

Article réservé à nos abonnés Traitement prothétique d’une maxillectomie totale

La maxillectomie consiste à faire l’exérèse chirurgicale des deux maxillaires (1).Dans le cadre d’une exérèse carcinologique, elle représente parmi les...
Prothèse

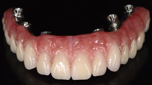
Article réservé à nos abonnés Traitement de l’édenté complet maxillaire par prothèse fixe implantaire sans greffe : aspects chirurgicaux et prothétiques

L’édentement complet représente une pathologie quotidienne de nos cabinets, même si dans les pays dits favorisés, une diminution de la...
Prothèse

Article réservé à nos abonnés Tracé des armatures et usage du paralléliseur en prothèse amovible partielle : le point de vue des praticiens et des prothésistes

En dépit des progrès de la prothèse fixée et de la prothèse implantaire, la prothèse partielle amovible métallique (PPAM) demeure...
Prothèse

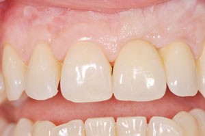
Article réservé à nos abonnés Restauration du sourire chez l’édenté partiel : à propos d’un cas clinique

L’édentement partiel antérieur constitue fréquemment un challenge pour le praticien et le laboratoire tant les implications esthétiques et fonctionnelles sont...