Formation

Prothèse

Article réservé à nos abonnés Aspects psychologiques de la demande esthétique en prothèse 

La demande esthétique des patients est surtout axée sur l’amélioration ou l’établissement de l’esthétique de leur corps et a fortiori...
Implantologie

Article réservé à nos abonnés Les thérapeutiques implantaires

Qu’est-ce qu’un implant ? Il s’agit d’une racine dentaire artificielle en matériau biocompatible (généralement du titane), qui va se lier à...
Esthétique

Article réservé à nos abonnés Le maquillage des éléments prothétiques

Mélanie (75) : j’ai vraiment pris plaisir à apprendre à maquiller les inlays et les couronnes. C’est une opportunité qui...

Article réservé à nos abonnés CCAM : Comment codifier ?

Madame R, 38 ans, se présente en consultation pour un sourire qu’elle trouve disgracieux, des sensibilités dentaires et une difficulté...

Article réservé à nos abonnés Comment évaluer la satisfaction du patient ?

Il existe trois formes d’attente : – les attentes obligatoires : ce sont les attentes évidentes, comme l’attente de soins. Elles ne...

Article réservé à nos abonnés Retrouver sa motivation au travail

Il nous arrive à tous de nous sentir démotivés, et d’avoir la sensation de ne plus avoir l’énergie, ni même...
Imagerie

Article réservé à nos abonnés La radiologie dentaire en 2014

Si en 1900, la pratique de la radiologie au cabinet dentaire était déjà possible, elle n’était ni généralisée, ni réglementée....
Implantologie

Article réservé à nos abonnés Intérêt des implants à col transgingival long dans les situations de profil de crête inclinée

Rappel sur la cicatrisation des tissus mous autour des implants en un temps Pendant la cicatrisation des tissus mous (4...
Odontologie restauratrice

Article réservé à nos abonnés La réduction amélaire interproximale ou stripping

Question 1 Il est communément admis que stripper jusqu’à 50 % de l’émail proximal est acceptable.a. Vraib. Faux Question 2 Le...
ODF

Article réservé à nos abonnés Traitement orthodontico-chirurgical d’une classe II hyperdivergente

Diagnostic (fig. 1) Cette patiente de 29 ans consulte pour des raisons principalement fonctionnelles mais également esthétiques. Elle présente :– une classe...
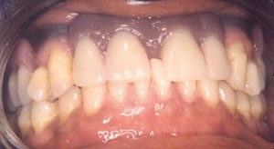
ODF

Article réservé à nos abonnés Cl II2 adulte avec fragilité dentaire

Motif de consultation et histoire de la maladie Cette patiente âgée de 39 ans, désireuse d’améliorer son sourire et son...
ODF

Article réservé à nos abonnés Syndrome d’apnées obstructives du sommeil de l’enfant : le rôle de l’orthodontiste

Si l’ablation chirurgicale des végétations et des amygdales est la première ligne de traitement, certains patients peuvent présenter une persistance...
Pathologie

Article réservé à nos abonnés Une lésion du plancher buccal ?

1. Quels examens complémentaires prescririez-vous en première intention ?a. Radiographie panoramiqueb. Cliché de Blondeauc. IRMd. Echographiee. Cliché occlusal 2. Quel diagnostic...
Anesthésie

Article réservé à nos abonnés Anesthésie ostéo-centrale versus locorégionale du bloc du nerf dentaire inférieur

Dans une situation d’urgence, la réalisation du soin qui soulagerait le patient est extrêmement difficile voire impossible et le patient,...

Article réservé à nos abonnés Rendez-vous Tendances

SOMMAIRE Consulter l’ensemble du dossier en cliquant dans « Visualiser le document » ci-dessous.
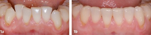
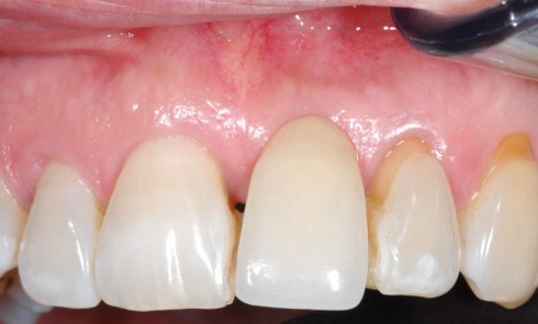
Parodontologie

Article réservé à nos abonnés Parodontie et prothèse

Les relations qui unissent prothèse et parodonte sont souvent conflictuelles et complexes. Afin d’éviter ces conflits entre impératifs prothétiques et...