Formation

Parodontologie

Article réservé à nos abonnés De l’harmonie et de la sérénité dans nos traitements

Le thème général de ce numéro spécial sur l’optimisation des traitements grâce à la parodontie soulève trois questions complémentaires.Dans l’optimisation...
Parodontologie

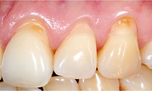
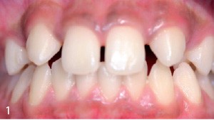
Article réservé à nos abonnés Critères de risque influençant le traitement chirurgical des récessions radiculaires multiples

Préalablement à la décision chirurgicale, il est essentiel d’apprécier les critères anatomiques et cliniques susceptibles d’influencer les résultats du recouvrement...
Parodontologie

Article réservé à nos abonnés Lichen plan gingival : optimiser le diagnostic et la prise en charge

Le lichen plan est une dermatose inflammatoire, dysimmunitaire, d’évolution chronique atteignant la peau, les muqueuses malpighiennes, kératinisées ou non et...
Parodontologie

Article réservé à nos abonnés Savoir favoriser la cicatrisation d’une chirurgie d’assainissement

La chirurgie parodontale de pleine épaisseur est une phase possible du traitement des parodontites modérées à sévères. Elle peut-être associée...
Parodontologie

Article réservé à nos abonnés Parodontie et orthodontie : le traitement idéal des maladies parodontales

Les parodontites touchent environ 50 % de la population adulte (1) et provoquent la perte des tissus de soutien des dents...
Parodontologie

Article réservé à nos abonnés Comment la parodontie peut-elle limiter les échecs en implantologie ?

Les traitements implantaires sont très prisés par les patients. De fait les implants apparaissent comme le “graal” de la dentisterie,...
Médecine

Article réservé à nos abonnés Troubles anxieux

Quelques chiffresDans la population générale âgée de 18 à 65 ans, l’ensemble de ces troubles anxieux (dont la fréquence est...
Pathologie

Article réservé à nos abonnés Le risque infectieux et sa prophylaxie avant chirurgie dentaire

Le dépistage et le traitement des foyers infectieux bucco-dentaires ont toujours été une préoccupation chez les patients présentant une cardiopathie...
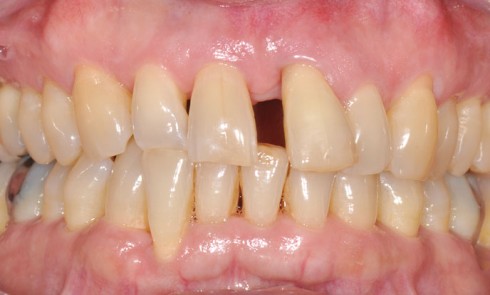
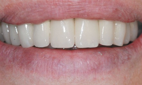
Implantologie

Article réservé à nos abonnés Du bridge collé à l’implant 3.0 dix ans de traitement

Parmi les critères décisionnels, outre les aspects fonctionnels, la morphologie des canines devant être modifiée pour se rapprocher de celle...

Article réservé à nos abonnés Nouvelles approches cliniques

Introduction Marie-Violaine Berteretche Chirurgie d’élévation de la membrane sinusienne par voie latérale. Planification anatomique et radiographique Aleksandar Dakic, Frédéric Rouche...
Implantologie

Article réservé à nos abonnés Nouveau protocole de planification 3D

Jusqu’à présent, le traitement informatique intégrait les bases osseuses et prothétiques dans la planification de l’édenté total de manière indirecte...
Odontologie restauratrice

Article réservé à nos abonnés Le polissage des céramiques en bouche

Question 1Quels peuvent être les matériaux constitutifs des restaurations monobloc ?a. Céramique feldspathiqueb. Disilicate de lithiumc. Silicate de lithiumd. Dioxyde de...

Article réservé à nos abonnés Papillomes multiples !

CAS 1Motif de la consultation. Patient de 65 ans, venu consulter pour l’apparition de multiples lésions blanchâtres de la muqueuse...
Odontologie restauratrice

Article réservé à nos abonnés Erosions et usures sévères

Certaines situations d’usure dentaire laissent souvent le praticien désemparé, partagé entre les solutions traditionnelles invasives et les solutions les plus...
Pathologie

Article réservé à nos abonnés Déglutition atypique prévalence et conséquences chez l’adulte

Matériels et méthodes Critères d’inclusion des patients L’échantillon sur lequel porte notre étude est composé de patients : – qui consultent...
Prothèse

Article réservé à nos abonnés Adaptation et réhabilitation des prothèses amovibles complètes

À court et moyen termeLe suivi du patient permet d’adapter, de corriger les imprécisions intéressant la base prothétique et plus...