Formation

Imagerie

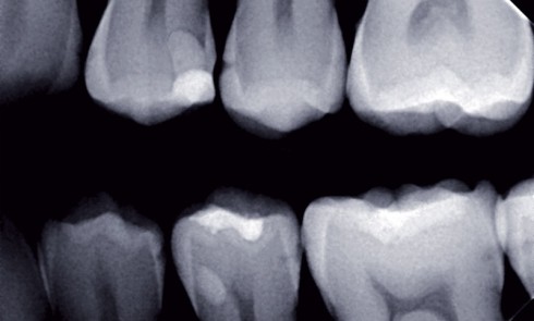
Article réservé à nos abonnés Méthodologie du diagnostic en cariologie

L’approche médicale des lésions carieuses dentaires requiert une détection de ces lésions à un stade le plus précoce possible. La...
Imagerie

Article réservé à nos abonnés Apport de l’imagerie cone beam en endodontie

L’exploration radiographique du réseau canalaire radiculaire est une nécessité en endodontie. La visualisation de l’endodonte et de son environnement osseux...

Article réservé à nos abonnés Les assistantes en accord avec la sagesse des toltèques

Les quatre accords toltèques est un livre publié au États-Unis en 1997, qui s’est vendu à plus de 4 millions d’exemplaires...

Article réservé à nos abonnés Les porte-empreintes

Porte-empreinte du commerceOn les trouve avec des tailles et/ou formes différentes, ils sont le plus souvent en métal, mais parfois...

Article réservé à nos abonnés Papier ou clavier ? Au cabinet ou externalisé ?

L’agenda papier Les avantages :• facile à mettre à œuvre et à utiliser ;• pas de technologie particulière : juste les grands classiques...

Article réservé à nos abonnés La radiologie dentaire en 1900

Le 8 novembre 1895 alors qu’il travaille tard le soir à l’étude des effets du courant électrique sur un gaz qu’il...

Article réservé à nos abonnés L’élévation de sinus (sinus lift)

L’anatomie des secteurs postérieurs au maxillaire n’est pas toujours favorable à une solution implantaire en raison des cavités aériennes qui...
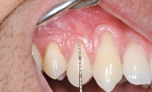
Parodontologie

Article réservé à nos abonnés Reconstruire le parodonte marginal chez le sujet jeune

Nous décrirons ici des techniques de recouvrement et de renforcement du parodonte sans aucune incision de décharge, avec des tracés...
Implantologie

Article réservé à nos abonnés Organisation pour la chirurgie implantaire : plateau technique, traçabilité

L’organisation impliquant toute l’équipe chirurgicale doit être réfléchie à deux niveaux :– le premier concerne la chaîne de stérilisation et la...
Prothèse amovible

Article réservé à nos abonnés Pose et entretien des prothèses amovibles

Je trouve ma prothèse encombrante, est-ce normal ?La prothèse est un corps étranger dans votre bouche ; il est normal de réagir...

Article réservé à nos abonnés Spécial Tendances

Sommaire Consulter l’ensemble du dossier en cliquant dans « Visualiser le document » ci-dessous.
Parodontologie

Article réservé à nos abonnés Limites cervicales 

Question 1 La jonction entre épaulement et préparation axiale pour couronne céramo-céramique est :a. Arrondieb. À angle droitc. Concave oblong d....
Imagerie

Article réservé à nos abonnés L’imagerie diagnostique dento-maxillaire 2D et 3D

L’imagerie conventionnelle (2D) Argentique ou numérique, ses deux versions ne diffèrent que par la nature du capteur (film ou récepteur...
Médecine

Article réservé à nos abonnés Cancers des voies aérodigestives supérieures VADS

Quelles en sont les causes ?Plus de 90 % des cancers qui intéressent la cavité buccale, l’oropharynx, l’hypopharynx et le larynx sont...
Parodontologie

Article réservé à nos abonnés Greffe épithélio-conjonctive ou greffe conjonctive enfouie ?

Un complexe muco-gingival pathologique est celui où les tissus gingivaux ne maintiennent plus une attache durable à la dent et...
ODF

Article réservé à nos abonnés Geste clinique

Après avoir observé des mouvements dentaires anormaux sur des dents supportant un fil collé depuis une période allant de quelques...