Formation

ODF

Article réservé à nos abonnés Traitement extractionnel accéléré par Piezocision™ d’une bi-proalvéolie chez l’adulte

PrésentationLa patiente âgée de 21 ans présente une classe I dentaire bilatérale associée à une bi-proalvéolie sévère et à une...
ODF

Article réservé à nos abonnés Traitement ortho-chirurgical accéléré par Piezocision™ d’une classe II chez l’adulte

PrésentationLa patiente âgée de 40 ans présente une classe II bilatérale associée à une dysharmonie dento-maxillaire modérée et à une...
ODF

Article réservé à nos abonnés Déplacements orthodontiques accélérés par technique de corticotomie osseuse mini-invasive de Piezocision

Les traitements orthodontiques accélérés par corticotomie osseuse permettent l’accélération des déplacements dentaires. Pourriez-vous nous donner une description des principes généraux...
ODF

Article réservé à nos abonnés Efficacité des traitements interceptifs de classe II

L’objectif de ce travail est d’évaluer, selon la littérature, l’efficacité des traitements interceptifs de classe II. Matériel et méthodeNous avons...
Pathologie

Article réservé à nos abonnés Diagnostic, traitement et reconstruction d’une ostéolyse importante du maxillaire édenté total

ObservationUn patient de 74 ans a été adressé dans le service de chirurgie maxillo-faciale du Centre Hospitalier Intercommunal de Villeneuve...
Endodontie

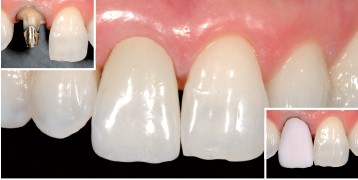
Article réservé à nos abonnés Surface et face de la céramique

Vrai ou faux…Question 1. Les techniques dites par CFAO directe sont, selon les indications, suffisantes pour réaliser une céramique antérieure....
Implantologie

Article réservé à nos abonnés Le rôle de l’omnipraticien dans la maintenance implantaire

Si les complications et la perte des implants peuvent être dues à une surcharge occlusale, associée ou non à un...
Endodontie

Article réservé à nos abonnés Sécuriser nos mises en forme canalaire

Sécuriser nos mises en forme canalaire, c’est tout simplement suivre, encore et toujours, les objectifs établis par Schilder depuis plusieurs...
Médecine

Article réservé à nos abonnés Troubles de l’humeur

En connait-on la cause ?Les troubles de l’humeur, unipolaires ou bipolaires, sont des affections à déterminisme complexe, qui résulteraient de l’interaction :–...
CFAO

Article réservé à nos abonnés Spécial CFAO

Sommaire La CFAO appliquée à notre profession est une “découverte” née en grande partie de l’esprit génial de François Duret,...
CFAO

Article réservé à nos abonnés De la stratégie prothétique à la stratégie numérique

Stratégie : art de diriger un ensemble de dispositions pour atteindre un but.Numérique : combinaison des possibilités théoriques et expérimentales où le...
CFAO

Article réservé à nos abonnés Étude du comportement des céramiques cristallines en simulateur de mastication

L’intégration d’un élément prothétique au sein de l’organisme est subordonnée à des critères de biocompatibilité (1, 2) que l’on peut...
CFAO

Article réservé à nos abonnés Biomécanique

En 2003 dans son livre intitulé, « Les restaurations antérieures collées », Pascal Magne (1) écrivait : « Les fascinantes propriétés de la jonction...
CFAO

Article réservé à nos abonnés Préparation assistée par guidage -pag-

La préparation dentaire est souvent considérée comme une étape banale de l’acte prothétique. Elle occupe pourtant une place centrale dans...
CFAO

Article réservé à nos abonnés L’empreinte optique : silence on tourne !

Dans sa thèse fondatrice de la CFAO Dentaire en 1973, (1) François Duret invente et décrit l’empreinte optique intrabuccale, posant...
CFAO

Article réservé à nos abonnés Assemblage des restaurations usinées en céramique : un choix raisonné

L’assemblage peut être décrit comme un ensemble de phénomènes physico-chimiques qui se produisent lorsque deux matériaux ou deux pièces sont...