Formation

Article réservé à nos abonnés Mettre en place le travail à 4 mains en omnipratique ?

Si vous êtes seule assistante, vous ne pouvez travailler sur tous les actes à 4 mains car se lever de...
ODF

Article réservé à nos abonnés Empreintes et moulages en ODF

1. Les empreintesLa prise d’empreinte est le premier maillon de la chaîne qui permettra d’obtenir le moulage. Elle est conventionnellement...
Imagerie

Article réservé à nos abonnés Radiographier des dents de souris ?

En effet, depuis de nombreuses années, bien avant l’autorisation de mise sur le marché de nouveaux médicaments ou l’agrément de...

Article réservé à nos abonnés Le projet de démarche qualité : identifier les résistances

a démarche qualité se conduit selon un principe de base : PRÉVOIR, AGIR, MESURER, AMÉLIORER. Cette méthode de réflexion et de...

Article réservé à nos abonnés Tout ce qui est blanc n’est pas toujours du muguet !

CAS 1 Motif de la consultation.Patient de 60 ans qui est venu consulter pour l’apparition de lésions diffuses sur la...
Médecine

Article réservé à nos abonnés Asthme de l’adulte

Quelle en est l’origine ?Le risque de développer un asthme chez l’enfant est inférieur à 10 % en l’absence d’antécédents familiaux, de...
Implantologie

Article réservé à nos abonnés L’expansion crestale une alternative aux greffes osseuses

En pratique quotidienne, l’observation des crêtes osseuses sur les coupes coronales des cone-beam ou scanners nous révèle souvent des crêtes...
Esthétique

Article réservé à nos abonnés L’infiltration en profondeur – Partie III

Les deux cas cliniques proposés dans les parties I et II de cet article illustraient le nouveau concept d’infiltration en...
Occlusodontologie

Article réservé à nos abonnés Exemple de prise en charge préprothétique d’un patient “bruxeur”

Définition du bruxismeLe bruxisme est une activité manducatrice répétitive, caractérisée par le serrement ou le grincement des dents et/ou des...
Endodontie

Article réservé à nos abonnés Diagnostic et prise en charge des urgences douloureuses d’origine endodontique

Comprendre, évaluer, prendre en charge une personne douloureuse est non seulement un devoir éthique, mais également une priorité de santé...
Endodontie

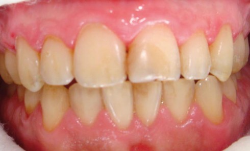
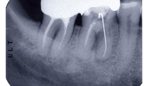
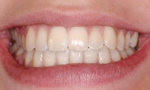
Article réservé à nos abonnés Facteurs prédictifs du succès des thérapeutiques endodontiques

Autrefois, les choix du praticien étaient orientés par l’impression qu’il avait des résultats de sa pratique quotidienne. Les décisions étaient...
Endodontie

Article réservé à nos abonnés Ergonomie et organisation du cabinet en endodontie

L’ergonomie, selon la définition du Petit Larousse, consiste en « l’étude quantitative et qualitative du travail dans l’entreprise, visant à améliorer...
Endodontie

Article réservé à nos abonnés Le continuum endo-restaurateur

La dentisterie contemporaine privilégie les modes de restauration conservateurs avec pour objectif de préserver la vitalité pulpaire. Cependant, des échecs...
Endodontie

Article réservé à nos abonnés Ethique et soins endodontiques

Les enjeux induits par l’évolution des pratiques médicales imposent désormais une réflexion sur la finalité de nos actes. Cette réflexion...
Endodontie

Article réservé à nos abonnés Mise en forme canalaire et irrigation

Le traitement endodontique a pour but de prévenir ou traiter l’apparition de pathologies pulpaires inflammatoires ou périapicales. Il est clairement...
Endodontie

Article réservé à nos abonnés Endodontie et patients à risques

Les progrès réalisés dans le domaine médical (meilleure connaissance des pathologies et de la prise en charge des patients) ainsi...