Formation

Pathologie

Article réservé à nos abonnés Dysplasie ectodermique anhidrotique

Les dysplasies ectodermiques sont des maladies génétiques rares caractérisées par une anomalie du développement des structures ectodermiques. Près de deux...
Pathologie

Article réservé à nos abonnés Erosions d’origine extrinsèque

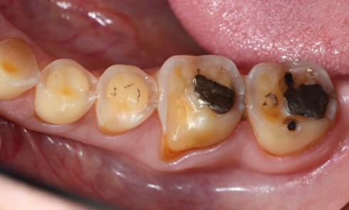
Les érosions dentaires se développent sous l’influence d’une attaque acide non bactérienne et se caractérisent par une déminéralisation puis une...
Pathologie

Article réservé à nos abonnés Errance diagnostique en pathologie de la muqueuse buccale

Il n’existe – a priori – aucune définition officielle de l’errance diagnostique. Nous pouvons néanmoins tenter de la définir comme...
Occlusodontologie

Article réservé à nos abonnés Comment évaluer les contacts occlusaux en 2014 ?

Pour objectiver les contacts occlusaux, le praticien peut avoir recours à l’inspection visuelle directe en vue vestibulaire ou sur moulages...
Occlusodontologie

Article réservé à nos abonnés Apnées du sommeil chez l’enfant et orthopédie transversale du maxillaire

Chez l’enfant, la prévalence estimée du SAOS est de 2 % chez les 2-5 ans [2], due, dans les trois quarts...
Médecine

Article réservé à nos abonnés A propos d’une lésion de la muqueuse du plancher buccal

1. À quels diagnostics vous font penser ces clichés ? a. Une blessure prothétique traumatique.b. Un botryomycome.c. Un aphte géant.d. Un...
Médecine

Article réservé à nos abonnés Rhinite allergique

De quoi s’agit-il ?Sous le terme de rhinite allergique, on désigne l’ensemble des manifestations cliniques engendrées par le développement d’une inflammation...
Pathologie

Article réservé à nos abonnés Fistule cutanée

Les fistules cutanées d’origine dentaire représentent des séquelles particulières faisant suite à des poussées infectieuses successives non ou insuffisamment traitées...
Esthétique

Article réservé à nos abonnés Toute la lumière sur l’éclaircissement

Depuis le 31 octobre 2012, une nouvelle réglementation vient chambouler nos habitudes et nos protocoles d’éclaircissement.L’orientation thérapeutique de la prise...
ODF

Article réservé à nos abonnés La photographie en orthopédie dento-faciale quelques règles essentielles

Historiquement, la photo médicale n’est pas un phénomène de mode ; les premières photos médicales datent de 1839, le Professeur Alfred...
ODF

Article réservé à nos abonnés Cas complexe

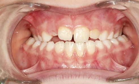
Rappel de la problématique. Mademoiselle O. âgée de 13 ans en classe I squelettique mésodivergente présente la persistance de 63....
ODF

Article réservé à nos abonnés Anomalies transversales

ExamenAu niveau squelettique, elle présente une classe I associée à une endognathie maxillaire et une hyperdivergence mandibulaire majeure liée à...
Prothèse

Article réservé à nos abonnés La personnalisation des dents artificielles en résine

Des outils, comme les cartes de formes et les nuanciers des marques, aident le praticien dans le choix des dents,...
Imagerie

Article réservé à nos abonnés Rôle du cone beam dans le diagnostic des pathologies des articulations temporo-mandibulaires

Comparée aux techniques radiographiques conventionnelles, comme la radiographie panoramique, la transcrânienne et les coupes Scanora, le cone beam permet une...
Médecine

Article réservé à nos abonnés Spécial Médecine & bucco-dentaire

Déjà 6 ans d’édition et de partage à vos côtés !Après avoir favorisé des échanges entre la médecine spécialisée et l’Odontologie...
Odontologie pédiatrique

Article réservé à nos abonnés Restaurations esthétiques de défauts de structure sévères chez l’enfant et l’adolescent

Une anomalie de structure localisée sur une dent antérieure peut, à elle seule, altérer l’esthétique et l’harmonie d’un sourire. Lorsqu’un...