Formation

Implantologie

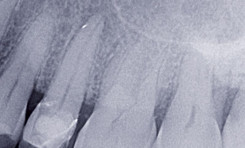
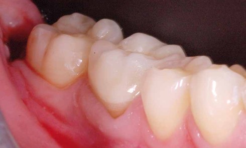
Article réservé à nos abonnés Intérêt des implants biseautés Osseospeed™ TX Profile®* dans la gestion des crêtes édentées

L’extraction d’une dent entraîne une modification importante des parois alvéolaires [1]. Ce remodelage est dissymétrique, bien souvent centripète, et aboutit...

Article réservé à nos abonnés Deux lésions violacées de la lèvre inférieure

CAS 1 Motif de la consultation.Patient de 25 ans qui a consulté pour une lésion de la lèvre inférieure. Histoire...
Matériels

Article réservé à nos abonnés Nouveautés

Access Floss de Sunstar GumToujours à la pointe de l’innovation en matière de matériels pour l’hygiène bucco-dentaire, le groupe Gum...
CFAO

Article réservé à nos abonnés CFAO des DMSM

En route pour le numérique  Contrairement à ce que l’on peut lire souvent, la question ne se pose plus vraiment,...
Médecine

Article réservé à nos abonnés Acouphènes

De quoi s’agit-il ?D’une perception sonore élémentaire (sifflement, tintement, bourdonnement, grésillement…) ressentie dans l’oreille en l’absence de source extérieure et, contrairement...

Article réservé à nos abonnés Des ultrasons au cabinet dentaire : pour quoi faire ?

Ces ondes de pression font vibrer le tympan qui se déplace de quelques millièmes à quelques centièmes de microns. Ces...
Hygiène et Asepsie

Article réservé à nos abonnés La stérilisation en milieu hospitalier

Au niveau hospitalier, la stérilisation est une spécialisation de l’activité visant à la prévention des infections nosocomiales. Cent recommandations pour...

Article réservé à nos abonnés Établir la bonne distance à proximité du patient

Dans une salle de cinéma, par exemple, la plus grande partie des places se remplissent toujours selon le même schéma...
Odontologie pédiatrique

Article réservé à nos abonnés Exemple d’urgence La carie précoce de la petite enfance

Les dents sont affectées dans l’ordre chronologique de leur éruption, à l’exception des incisives mandibulaires qui, protégées par la langue...
Implantologie

Article réservé à nos abonnés Impression 3D et pédagogie

La chirurgie implantaire n’est plus limitée à des spécialistes ; les omnipraticiens réalisent souvent eux-mêmes la pose chirurgicale des implants. La...
Odontologie restauratrice

Article réservé à nos abonnés Restauration d’une dent dépulpée dans le secteur postérieur

La communication avec le laboratoire C’est une étape connue pour être importante dansla réussite d’une restauration prothétique. Ellea pour but...
Prothèse

Article réservé à nos abonnés Les mini-implants pour patients âgés fragiles et précaires : alternative de choix ?

Dès aujourd’hui, la France en plein « papy-boom » doit relever le défi d’une population qui ne cesse d’augmenter en...
Prothèse

Article réservé à nos abonnés Préservation du parodonte impacts innovants du tout céramique au numérique

Depuis de nombreuses années, les problèmes inhérents au couple parodonte-prothèse font débat et sont l’objet de multiples publications. In vitro...
Prothèse

Article réservé à nos abonnés Les modèles de travail en prothèse fixée : dispositifs et conception

L’adaptation marginale d’un élément de prothèse scellée sur sa préparation constitue un objectif majeur d’intégration et de pérennité prothétique. Depuis...
Prothèse

Article réservé à nos abonnés Les prothèses amovibles partielles métalliques sont-elles traumatisantes pour les dents supports ?

En raison de l’augmentation de l’espérance de vie, la proportion de la population partiellement édentée est plus importante (1). Plusieurs...
Prothèse

Article réservé à nos abonnés Problématique du risque infectieux en prothèse : à propos de la chaîne prothétique

La problématique de la contamination de la chaîne prothétique demeure une préoccupation de santé publique. En effet, le risque infectieux...