Formation

Prothèse

Article réservé à nos abonnés Quelle prothèse pour quel patient…

Editorial Stratégie prothétique 2.0 Jean-Paul Louis Zoom Les modèles de travail en prothèse fixée. Dispositifs et conception François KANNENGIESSER, Pascal...
Prothèse

Article réservé à nos abonnés Incidence du support labial sur la décision thérapeutique en prothèse complète supraimplantaire

Le projet prothétique et l’analyse préimplantaire ont longtemps été focalisés sur la connaissance du volume osseux disponible. Aujourd’hui, l’amélioration des...
Prothèse

Article réservé à nos abonnés Identification des prothèses amovibles

Les anecdotes concernant les pertes de prothèses amovibles en résidences spécialisées ou en milieu hospitalier sont légion. En milieu hospitalier,...
Odontologie pédiatrique

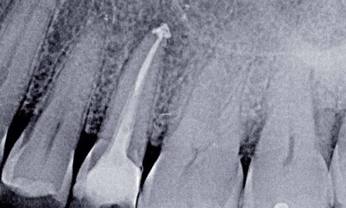
Article réservé à nos abonnés Les fractures radiculaires des dents permanentes

Les fractures radiculaires représentent 0,5 à 7 % des traumatismes en denture permanente. On les observe surtout chez les sujets...
Endodontie

Article réservé à nos abonnés Primum non nocere

La douleur nociceptive La plupart des douleurs affectant nos patients sont d’origine inflammatoire avec une étiologie infectieuse, essentiellement pulpaires ou...
Odontologie restauratrice

Article réservé à nos abonnés Approche ultraconservatrice du traitement des lésions érosives et abrasives

Cet article, publié dans Réalités Cliniques (septembre 2012),a reçu le 1er Prix SPEPS 2013 du meilleur article de formation paru dans les...
Matériels

Article réservé à nos abonnés Les nouveaux équipements

Akidata de W&H Avec ce genre de solution, plus aucune excuse recevable pour ne pas avoir une stérilisation irréprochable ! W&H offre,...

Article réservé à nos abonnés Dossier Spécial Tendances

Sommaire  • DESIGN Sélection d’objets et matériaux  Courrier des lecteurs : vos questions, nos solutions  Salle d’attente ultrachic  • Espace...
Médecine

Article réservé à nos abonnés Insomnie

Quelques chiffres Les travaux réalisés en population générale révèlent qu’environ un tiers des individus manifestent au moins l’un des symptômes...
Matériels

Article réservé à nos abonnés Les innovations en endodontie et restauratrice

BT-Race de FKG Challenger talentueux depuis des années dans le domaine de l’endodontie mécanisée, la société suisse présente sa solution pour...

Article réservé à nos abonnés Deux expositions osseuses rares

Motif de la consultation.  Femme de 26 ans venue consulter en urgence, en septembre 2013, pour de vives douleurs dans la...
Esthétique

Article réservé à nos abonnés L’infiltration en profondeur – Partie II

D’autres équipes ont confirmé récemment nos premiers résultats [5, 3]. Toutefois, certaines taches n’étaient pas masquées par cette infiltration superficielle,...
Odontologie restauratrice

Article réservé à nos abonnés Restauration d’une dent dépulpée dans le secteur postérieur

La préservation tissulaire est l’une des préoccupations majeures de la dentisterie actuelle [1]. Mais cette préservation n’est pas limitée à...

Article réservé à nos abonnés Dossier Orthodontie prothèse

Au cours des trente dernières années, les avancées dans le domaine de la recherche ont permis une meilleure connaissance des...
ODF

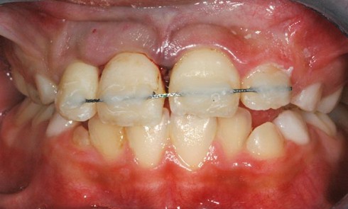
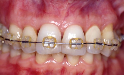
Article réservé à nos abonnés La demande orthodontique du patient adulte

L’une des clés de la prise en charge des adultes est « le motif de consultation ». Il existe dans...
Pathologie

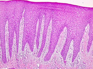
Article réservé à nos abonnés Aide au diagnostic – Partie II – LÉSIONS BLANCHES NON DÉTACHABLES

Les lésions blanches non détachables kératosiques sont provoquées par l’anomalie du processus normal de kératinisation. Pour leur part, les lésions...