Formation

Implantologie

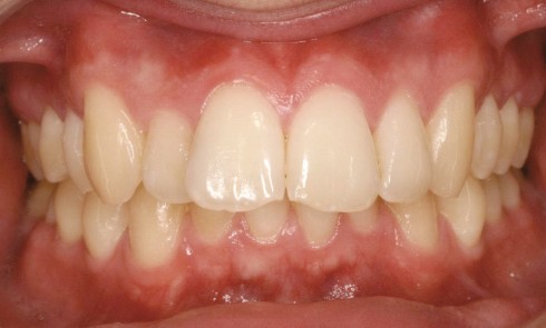
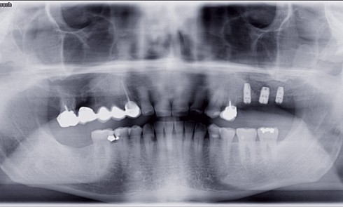
Article réservé à nos abonnés Comblements sinusiens. Analyse d’une situation de complication

Quelques semaines après la parution de cet article, nous recevions un message de l’unde nos confrères exposantune situation problématique consécutive...
Médecine

Article réservé à nos abonnés Migraine de l’adulte

Comment l’expliquer ? La crise de migraine résulterait d’une activation de certaines régions du cerveau, activation responsable d’une vasoconstriction de certaines...
Pathologie

Article réservé à nos abonnés Consommation de boissons non alcoolisées et érosion dentaire

Les objectifs de cet article sont : – de montrer que, parmi ces habitudes alimentaires, la consommation répétée de boissons rafraîchissantes...
Prothèse

Article réservé à nos abonnés La dent contreplaque : considérations fonctionnelles et esthétiques

Pour le patient, les objectifs d’une prothèse amovible partielle sont de rétablir ses différentes fonctions (mastication, phonation, déglutition, esthétique). À...
Odontologie restauratrice

Article réservé à nos abonnés Le coin et l’anneau

Si le facteur “opérateur” est décisif pour ces matériaux, notre protocole clinique doit nous aider à en tirer la quintessence....
Endodontie

Article réservé à nos abonnés Régénération en endodontie régénération ou réparation ?

Bien que le traitement endodontiqueconventionnel soit considérécomme une technique validée et au pronostic acceptable, il apparaît que la régénération de...
Odontologie restauratrice

Article réservé à nos abonnés Facettes en céramique et gingivectomies : une approche a minima

Le sourire harmonieux est le fruit d’un équilibre complexe impliquant le positionnement des dents, leur couleur, leur forme et leur...
Endodontie

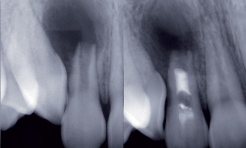
Article réservé à nos abonnés L’obturation endodontique

Les objectifs de l’obturation endodontique seront d’accomplir un remplissage tridimensionnel et stable du système canalaire par un ou plusieurs matériaux...
ODF

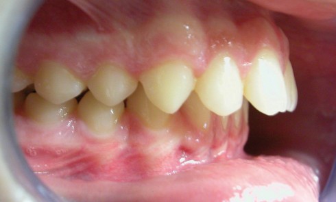
Article réservé à nos abonnés Traitement d’une malocclusion complète de classe II

Cet article présente le traitement d’une malocclusion complète de classe II chez un patient adulte présentant un sévère encombrement antérieur...
ODF

Article réservé à nos abonnés Concours de l’internat

Pour sa troisième édition qualifiante, le concours de l’internat en odontologie 2013 a proposé, dans le concours national réservé aux...
ODF

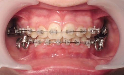
Article réservé à nos abonnés Traitement d’une classe II associant multibagues et Optimax Fix

Présentation Il s’agit d’un patient âgé de 13 ans qui présente une classe II-2 supraclusie associée à un encombrement mineur...
ODF

Article réservé à nos abonnés Traitement d’une classe II avec l’AdvanSync2

Préparation Charles G. âgé de presque 12 ans en début de traitement présente une grosse classe II squelettique par rétromandibulie...
Odontologie restauratrice

Article réservé à nos abonnés Gérer l’exposition pulpaire sur une dent permanente

De façon traditionnelle, lorsque survient une exposition pulpaire, la pulpectomie a longtemps été considérée comme le traitement de choix. Ce...
Odontologie restauratrice

Article réservé à nos abonnés Estimer l’état pulpaire

L’abandon des principes mécanistes de Black au profit d’une dentisterie a minima basée sur la préservation tissulaire couplée aux progrès...
ODF

Article réservé à nos abonnés Dents de sagesse : extraire ou conserver ?

Les taux de recours pour l’avulsion des 3es molaires en hospitalisation présentent des disparités entre les différentes régions françaises (1)...
Odontologie restauratrice

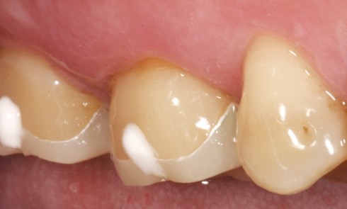
Article réservé à nos abonnés Inlays et onlays en céramique : critères de succès

Avant le développement des systèmes adhésifs il y a une trentaine d’années, les restaurations indirectes au niveau des secteurs latéraux...