Formation

Article réservé à nos abonnés Effets de la consommation de Lactobacillus reuteri sur l’écologie de la cavité buccale

Des études cliniques ont validé l’utilisation des probiotiques dans divers domaines de la médecine, notamment en gastro-entérologie [7]. Les recherches...
Parodontologie

Article réservé à nos abonnés Un traitement parodontal simple mais efficace

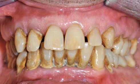
Il arrive que des affections parodontales restent ignorées par l’omnipraticien, souvent parce que les signes d’appel sont mal appréhendés, voire...
Odontologie restauratrice

Article réservé à nos abonnés Gestion thérapeutique de lésions carieuses proximales sur dents adjacentes

La gestion thérapeutique des lésions carieuses proximales postérieures se heurte à plusieurs complexités tant diagnostiques que techniques. La multiplicité des...
Odontologie restauratrice

Article réservé à nos abonnés Remplacement d’une restauration à l’amalgame par onlay en matériau esthétique

Le remplacement des amalgames fait partie de notre quotidien. L’amélioration des connaissances sur l’adhésion et des propriétés des biomatériaux esthétiques,...
Esthétique

Article réservé à nos abonnés Restauration esthétique directe d’un angle incisif fracturé

Les restaurations antérieures en composite font partie de nos plans de traitement au quotidien. Cependant, leur apparente complexité et leur...
Esthétique

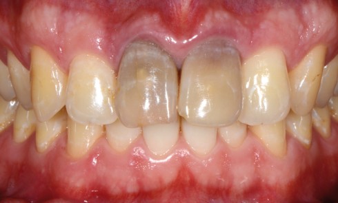
Article réservé à nos abonnés Eclaircissement et consolidation d’une dent dépulpée antérieure dyschromiée

L’éclaircissement interne est une technique simple qui permet de résoudre le problème de la couleur dans un grand nombre de...
Endodontie

Article réservé à nos abonnés Traitement endodontique d’une première molaire maxillaire

L’endodontie a connu de formidables bouleversements techniques au cours de ces dernières années, soit par l’amélioration et l’intégration de technologies...
Prothèse

Article réservé à nos abonnés Reconstitution coronoradiculaire adhésive et couronne céramocéramique

Le traitement d’une dent du secteur antérieur nécessite la prise en compte de paramètres biologiques et esthétiques dans les techniques...
Implantologie

Article réservé à nos abonnés Extraction d’une dent délabrée non conservable et aménagement d’un site implantaire

Lors de l’extraction d’une dent, il est important de préserver les tissus muqueux et osseux environnants, tout d’abord pour limiter...
Prothèse

Article réservé à nos abonnés Réalisation d’un élément prothétique unitaire sur pilier implantaire

La réalisation d’une prothèse unitaire sur implant est aujourd’hui devenue un acte courant de dentisterie. A partir d’éléments diagnostique, clinique...
Prothèse amovible

Article réservé à nos abonnés Réalisation d’une prothèse amovible avec couronnes fraisées

Lorsqu’une réalisation prothétique associe la prothèse fixée à la prothèse amovible partielle (prothèse composite), la conduite du traitement présente des...
Implantologie

Article réservé à nos abonnés Le point sur l’implantation immédiate post-extractionnelle des secteurs prémolaires et molaires

Les avancées des dernières années, au niveau tant des biomatériaux que des techniques opératoires, ont conduit à la révolution implantaire....

Article réservé à nos abonnés Hypertrophies gingivales

Motif de la consultation. Homme de 56 ans adressé par le service de néphrologie pour le traitement d’une gingivite. Histoire...

Article réservé à nos abonnés Un examen bucco-dentaire pour la femme enceinte de 4 mois

La Haute Autorité de Santé (HAS) a fait paraître, en mars 2010, des recommandations sur les stratégies de prévention de...
Médecine

Article réservé à nos abonnés Médecine : troubles musculo-squelettiques

En France, les troubles musculo-squelettiques(TMS) constituent la première causede maladie professionnelle reconnue : prèsde 40 000 cas ! Depuis dix...

Article réservé à nos abonnés Dossier ID TENDANCES

Dossier ID TENDANCES, numéro 35 du 16 Octobre 2013