Formation

Article réservé à nos abonnés Gérer mes commandes

Heureusement, nos fournisseurs sont très réactifs parce que sinon… Désormais, la plupart des logiciels utilisés dans les cabinets dentaires sont...

Article réservé à nos abonnés La procrastination

Remettre au lendemain ce que l’on aurait pu faire le jour même arrive à tout le monde, à un moment...
Hygiène et Asepsie

Article réservé à nos abonnés Infection bactérienne

L’infection est un des principaux motifs de consultation d’urgence dans les services d’odontologie avec la douleur et la traumatologie (Boucher,...
Prothèse

Article réservé à nos abonnés Wash-technic et double mélange : quelle différence ?

En prothèse conjointe, après la préparation des dents pour des couronnes, bridges, inlay, inlay-core, vient la phase d’empreinte, étape clef...
Hygiène et Asepsie

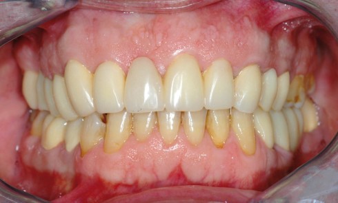
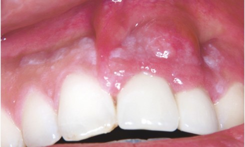
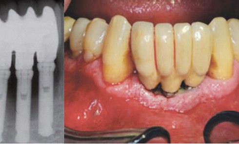
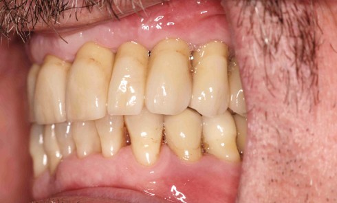
Article réservé à nos abonnés L’ABC de l’entretien des implants

La pose d’implants dentaires est un traitement de plus en plus populaire. Mais pour garantir la bonne santé des tissus...

Article réservé à nos abonnés Oxygène médicinal

La détresse respiratoire d’un patient ou d’un membre du cabinet dentaire est une urgence vitale dont les conséquences peuvent être...

Article réservé à nos abonnés Edentements et optimisation des espaces

Retrouvez le numéro edentements et optimisation des espaces du 9 octobre 2013.

Article réservé à nos abonnés Réhabilitation prothétique d’un cas d’oligodontie

L’oligodontie est définie comme l’absence congénitale d’au moins six dents sur l’arcade. Sa prévalence est faible et diminue avec le...
Esthétique

Article réservé à nos abonnés Taches de fluorose : l’érosion-infiltration

Face à des demandes esthétiques croissantes, il est nécessaire de proposer aux patients les thérapeutiques les plus performantes. Les taches...

Article réservé à nos abonnés Les boîtes à dentifrice du XIXe siècle

À la fin du XVIIIe et au début du XIXe siècle, il ne suffisait pas de préconiser l’usage de la brosse...
Esthétique

Article réservé à nos abonnés Esthétique du sourire : combinaison de thérapeutiques du sourire

Quelle est la méthode de diagnostic esthétique ? Comment appréhender le plan de traitement ? Quelles sont les étapes cliniques...
Esthétique

Article réservé à nos abonnés Réhabilitation esthétique globale : analyse esthétique et réalisation temps par temps

Comment élaborer un diagnostic et un plan de traitement esthétique ? Comment utiliser la technique des masques ? Comment gérer...
Esthétique

Article réservé à nos abonnés Réhabilitation biomimétique d’un cas d’érosion dentaire chez une jeune patiente

Quelles sont les diverses lésions dentaires d’origine non carieuse ? Comment classifier les érosions dentaires ? Comment gérer un cas...
Esthétique

Article réservé à nos abonnés Comment allier économie tissulaire et grande réhabilitation ?

Pourquoi rechercher un traitement économe en tissus dentaires ? Comment gérer une augmentation de la dimension verticale d’occlusion ? Quelles...
Esthétique

Article réservé à nos abonnés Réhabilitation du sourire : une démarche esthétique guidée

Comment réaliser l’analyse esthétique d’un cas clinique ? Quels sont les éléments à considérer dans l’analyse endobuccale ? Comment mettre...

Article réservé à nos abonnés Donnons-nous les moyens de rendre le sourire à nos patients édentés totaux

Quel type de restauration choisir? Quel est l’intérêt du « Backward planning » pour la reconstruction dentaire du maxillaire édenté...