Formation

Occlusodontologie

Article réservé à nos abonnés Les DTM : comment ne pas passer à côté ?

Les dysfonctionnements temporo-mandibulaires (DTM) peuvent être définis comme des myo-arthro-pathies du système stomatognathique, parmi lesquels on distingue les DTM algiques...
Odontologie pédiatrique

Article réservé à nos abonnés Première consultation en odontologie pédiatrique et dépistage orthodontique

Si la première consultation permet de dépister les pathologies dentaires éventuelles, elle est également l’occasion de connaître l’environnement de l’enfant...

Article réservé à nos abonnés Les modèles de première consultation

En parcourant la littérature odontologique, on constate tout d’abord qu’il n’existe pas de modèles théoriques spécifiquement conçus pour orienter les...

Article réservé à nos abonnés Les enjeux de la première consultation

Au sein de notre exercice, les recommandations de bonne pratique sont liées à l’Evidence Based Dentistry (EBD). Dans un but...
Parodontologie

Article réservé à nos abonnés Les complications en implantologie, ça existe, mais ça se gère !

PRÉSIDENTE DE SÉANCE : Marjolaine Gosset Conférenciers : Philippe Bousquet, Olivier Huck Rapporteuse de conférence : Caroline Gignoux Croissance et...
Odontologie restauratrice

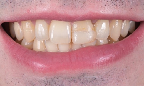
Article réservé à nos abonnés En images : le challenge de l’incisive centrale, optimisation du résultat

Situation initiale Un patient consulte afin d’améliorer son sourire. Il présente une dent 21 dyschromiée et traitée endodontiquement avec un...
Santé publique

Article réservé à nos abonnés Prise en charge d’un enfant porteur de troubles du spectre autistique au cabinet dentaire

La prise en charge des patients en situation de handicap au cabinet dentaire peut se révéler complexe. Bienveillance, maîtrise technique...
Prothèse

Article réservé à nos abonnés Le bridge collé cantilever postérieur en céramique #5

Introduction Même si les bridges collés cantilevers postérieurs en céramique présentent de premières évaluations cliniques très prometteuses [1, 2] et...
Santé publique

Article réservé à nos abonnés Quatre questions pour améliorer la prise en charge des patients en situation de handicap au cabinet dentaire

Malgré le droit, près d’un demi-million de personnes en situation de handicap n’auraient pas suffisamment, voire pas du tout accès...
Prothèse

Article réservé à nos abonnés Gestion prothétique d’une adolescente traitée par radiothérapie et chimiothérapie durant l’enfance. À propos d’un cas

Cet article présente la prise en charge d’une jeune patiente ayant un antécédent de sarcome d’Ewing traité par chimiothérapie, chirurgie...
Dermatologie buccale

Article réservé à nos abonnés Ulcérations palatines profondes !

CAS 1 Motif de la consultation Patient adressé par son médecin généraliste pour avis et prise en charge d’ulcérations palatines...
CFAO

Article réservé à nos abonnés Flux numérique et restauration imprimée en dentisterie restauratrice

Cas clinique Une patiente de 42 ans, sans antécédents généraux, consulte pour une douleur en bas à droite lorsqu’elle mange...
Médecine

Article réservé à nos abonnés Selenomonas spp.

L’objectif de cette rubrique est de rédiger la carte d’identité d’un habitant du parodonte. La rubrique comportera l’identité de l’habitant...
Santé publique

Article réservé à nos abonnés Obésité et santé bucco-dentaire, un défi d’actualité

MOTS-CLÉS : Obésité, santé orale, parodontite, lésion carieuse L’obésité, définie par un indice de masse corporelle (IMC) ≥ 30 kg/m2, est...
Parodontologie

Article réservé à nos abonnés Quelles interactions entre parodontites et santé digestive ?

L’axe oro-intestinal est un domaine émergent en médecine parodontale et l’interaction entre la parodontite et les maladies inflammatoires chroniques de...
Parodontologie

Article réservé à nos abonnés Impact du diabète dans la prise en charge des parodontites

Adopter une alimentation saine au quotidien apporte à notre organisme tous les nutriments dont il a besoin pour fonctionner et...