Formation

Prothèse

Article réservé à nos abonnés Les prothèses dentaires
Garanties et responsabilité du laboratoire

La prothèse dentaire, dispositif médical sur-mesure (DMSM) de type IIa, est un produit au sens de l’article 1 386-3 du...
Prothèse, Prothèse amovible

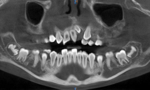
Article réservé à nos abonnés Le flux numérique, un atout pour la prise en charge des patients aux agénésies multiples

Cet article a pour objectif de mettre en avant le traitement d’un patient aux agénésies multiples à l’aide d’outils numériques...
Prothèse amovible

Article réservé à nos abonnés PAC et CFAO : Innovations thérapeutiques et analyse médico-économique

La conception et la fabrication assistées par ordinateur (CFAO) font partie intégrante de l’odontologie prothétique moderne, que ce soit en...
Prothèse

Article réservé à nos abonnés L’infrastructure de la prothèse implanto-portée
Choix du matériau, du mode d’assemblage et validation clinique

Les problématiques : fiabilité de l’empreinte, précision d’adaptation et passivité de l’infrastructure En prothèse implanto-portée plus encore qu’en prothèse conventionnelle, la précision tridimensionnelle...
Implantologie

Article réservé à nos abonnés Le bridge collé cantilever postérieur en céramique

Résumé Ce rapport de cas pose la question des possibilités et des limites des bridges collés cantilevers postérieurs en céramique...
Dermatologie buccale

Article réservé à nos abonnés Kératoses dues à la chique

CAS 1 Motif de la consultation Patient de 46 ans, d’origine érythréenne, vivant en situation irrégulière à Genève, venu consulter à la...

Article réservé à nos abonnés Retour sur la Journée d’Information des Praticiens 2023

Sommaire 1/ Parodontologie – Séance plénière Comment rendre le patient plus observant ? Conférencière : Michèle Reners Par Barbara Renaud 2/ Endodontie – Séance...
CFAO

Article réservé à nos abonnés L’apport des dispositifs électroniques d’enregistrement de la cinématique mandibulaire dans le flux de travail numérique

Ayons à l’esprit quelques fondamentaux. La simulation de la dynamique mandibulaire d’un patient et la position de son axe charnière...
CFAO

Article réservé à nos abonnés La gestion fonctionnelle occlusale en numérique. Comment ça mâche ? Comment ça « match » ?

Mon histoire Cet article porte sur l’utilisation des nouvelles technologies dans notre profession et j’aimerais, afin d’illustrer mon propos, vous...
CFAO

Article réservé à nos abonnés Le numérique à tout prix ?

Peut-être faudrait-il commencer par s’intéresser de près aux diverses formations existantes et s’attarder sur les protocoles déjà établis. Nos professions...
CFAO

Article réservé à nos abonnés La digitalisation des teintes. Pourquoi ? Comment ? Pour quels résultats ?

La prise de teinte au cabinet dentaire n’est qu’une première étape pour la réussite de l’intégration de nos céramiques. Le...
ODF

Article réservé à nos abonnés Comment intégrer l’orthodontie factuelle dans son exercice

Introduite dans notre spécialité au début des années 2000, l’orthodontie factuelle a pour objectif l’amélioration de notre pratique quotidienne, en...
ODF

Article réservé à nos abonnés Distalisation maxillo-mandibulaire en technique linguale dans le cas d’une classe I DDM

Actuellement, les traitements orthodontiques sont de plus en plus répandus chez les patients adultes. Des moyens thérapeutiques répondant à leurs...
ODF

Article réservé à nos abonnés Recul maxillaire sur mini-vis d’ancrage mandibulaire après réévaluation thérapeutique

Conventionnellement, la stratégie thérapeutique est élaborée à partir du diagnostic réalisé à l’issue des examens cliniques, fonctionnels et complémentaires. Cependant,...
Parodontologie

Article réservé à nos abonnés Synergie ortho-parodontale dans le traitement d’une lésion infra-osseuse associée à une migration dentaire secondaire

La parodontite de stade IV entraîne fréquemment le déplacement des dents antérieures maxillaires et elle est souvent associée à des...
Dermatologie buccale

Article réservé à nos abonnés Érythème linéaire gingival : ce n’est pas toujours une gingivite due à la plaque !

Cas 1 Motif de la consultation Patiente adressée par son chirurgien-dentiste pour avis et prise en charge d’un érythème de...