Formation

Parodontologie

Article réservé à nos abonnés Reconstitution de la papille interdentaire à l’aide d’acide hyaluronique : revue systématique

RÉSUMÉ Contexte : La perte des papilles interdentaires est devenue, dans la dentisterie moderne, l’un des problèmes esthétiques les plus...
Médecine

Article réservé à nos abonnés Capnocytophaga spp.

RÉSUMÉ Le genre Capnocytophaga a été isolé à l’origine dans des poches parodontales humaines et découvert plus tard dans la bouche...
Implantologie

Article réservé à nos abonnés Aménagement pré-implantaire et réhabilitation implantaire d’un patient parodontal fumeur

RÉSUMÉ La parodontite est une pathologie chronique inflammatoire multifactorielle associée à un biofilm dysbiotique et caractérisée par une destruction progressive des...
Parodontologie

Article réservé à nos abonnés Amélioration de l’esthétique d’un sourire gingival asymétrique grâce à la chirurgie plastique parodontale

  RÉSUMÉ Une patiente de 19 ans atteinte de pathologie cardiovasculaire, en bonne santé parodontale, nous a consultés pour corriger...
Dermatologie buccale

Article réservé à nos abonnés L’examen des muqueuses orales fait aussi partie de l’examen clinique parodontal !

Anamnèse/Histoire de la maladie Une patiente âgée de 57 ans est adressée par son dentiste traitant pour une prise en...
CFAO

Article réservé à nos abonnés L’impression 3D dans le quotidien du chirurgien-dentiste et du laboratoire de prothèse

Aujourd’hui, s’équiper en numérique n’est plus une option, c’est une question de survie. Dans un contexte où la liberté tarifaire...
CFAO

Article réservé à nos abonnés Le jumeau numérique : portail vers la personnalisation prothétique augmentée

À l’instar de ce qu’il se passe dans nos vies personnelles, les nouvelles technologies numériques se démocratisent et se généralisent,...
CFAO

Article réservé à nos abonnés La place de la CFAO directe et l’organisation du cabinet en 2023

L a Conception et Fabrication Assistées par Ordinateur (CFAO) dentaire est née dans l’esprit du Pr François Duret au début...
CFAO

Article réservé à nos abonnés Apport du numérique dans le suivi du patient dans le temps Application aux cas d’usure dentaire

En quelques années, les flux de travail se sont numérisés, modernisés, réinventés grâce aux avancées technologiques (matérielles et logicielles), mais...
CFAO

Article réservé à nos abonnés Réhabilitations complètes implanto-portées et flux numérique

La prise en charge de patients nécessitant des réhabilitations complètes implanto-portées selon des flux de travail entièrement numériques relevait il...
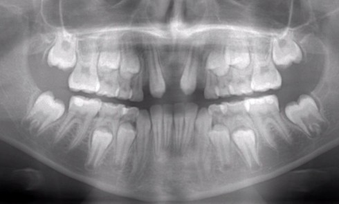
ODF

Article réservé à nos abonnés L’autotransplantation et le flux numérique

L’âge de survenue de ces traumatismes se situe entre 8 et 12 ans. À cet âge, les incisives permanentes ont...
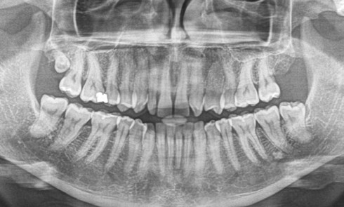
ODF

Article réservé à nos abonnés Intérêt du CBCT dans la réhabilitation orthodontico-prothétique des espaces d’agénésies d’incisives latérales maxillaires

Les agénésies sont un motif de consultation fréquent des patients avec une prévalence de 4,6 % pour les hommes et...
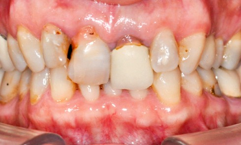
ODF

Article réservé à nos abonnés À propos d’un cas clinique multidisciplinaire en zone esthétique

Cet article présente la gestion multidisciplinaire d’une situation clinique complexe qui, après analyse, offre plusieurs options de traitement et différentes...
ODF

Article réservé à nos abonnés Utilisation d’un implant à des fins orthodontiques avant sa dépose : à propos d’un cas clinique

À la suite d’un accident de la voie publique il y a plusieurs années, le secteur antérieur maxillaire a été...
ODF

Article réservé à nos abonnés La gouttière d’hydratation : une solution contre l’hyposialie induite par la radiothérapie cervico-faciale

La radiothérapie a un rôle primordial dans la thérapeutique des cancers des voies aériennes supérieures. La prise en charge de...
Parodontologie

Article réservé à nos abonnés Recommandations cliniques de traitement parodontal chez le patient à risque cardiovasculaire : fiche pratique

Au cabinet dentaire, à partir de l’âge de 40 ans, près d’un patient sur deux présente une parodontite et un sur dix,...