Formation

ODF

Article réservé à nos abonnés Les enjeux de la prévention en orthodontie, de l’approche personnalisée à la recherche clinique

Une demande croissante, des risques majorés Comme pour tout traitement médical, la balance entre les bénéfices attendus et les risques...
Prothèse

Article réservé à nos abonnés Importance du plan d’occlusion prothétique dans la réhabilitation du patient totalement édenté : à propos d’un cas

La détermination d’un positionnement correct du maxillaire dans le massif cranio-facial est essentielle lors d’une réhabilitation prothétique étendue. Plans et...
Odontologie restauratrice

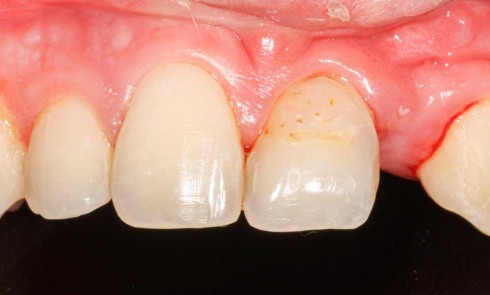
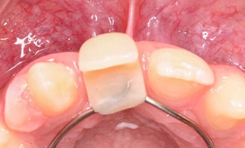
Article réservé à nos abonnés Agénésie d’incisive latérale, le bridge cantilever périphérique : une indication encore valable ? À propos d’un cas

Ces traitements doivent être menés en concertation avec l’orthodontiste. Il est possible, dans certaines situations, de fermer l’espace [2] et...
Implantologie

Article réservé à nos abonnés Réimplantation des dents expulsées chez l’enfant et l’adolescent Et après ? (partie II – Cas cliniques)

La réimplantation d’une dent permanente expulsée doit se faire le plus rapidement possible [1]. L’ankylose, l’infection, les résorptions radiculaires sont...
Odontologie restauratrice

Article réservé à nos abonnés L’auto-transplantation dentaire : une solution idéale pour le patient adolescent ?

Quelques faits L’auto-transplantation est une méthode chirurgicale dans laquelle une dent est repositionnée chez le même patient, dans un autre...
Implantologie

Article réservé à nos abonnés Réimplantation des dents expulsées chez l’enfant et l’adolescent (Partie I)

Les expulsions de dents permanentes représenteraient entre 0,5 et 16 % des traumatismes [1] et sont une véritable urgence qui demande...

Article réservé à nos abonnés UFR d’odontologie Rennes

Le pôle odontologie, un pôle numérique en quête d’excellence en matière de soins, de formation et de recherche cliniques Le pôle odontologie...
Dermatologie buccale

Article réservé à nos abonnés Pemphigus vulgaire : où est la bulle ?

Le pemphigus vulgaire (PV) appartient au groupe des maladies bulleuses auto-immunes intra-épithéliales qui comprend également le p. végétant, le p....
Parodontologie

Article réservé à nos abonnés L’éruption passive incomplète : à propos d’un cas clinique

Selon l’académie américaine de parodontologie, l’éruption passive est définie comme une exposition dentaire secondaire à la migration de la gencive...
Santé publique

Article réservé à nos abonnés Apport de l’approche médicale globale dans la réhabilitation orale d’une patiente bipolaire

Alors que l’impact des pathologies systémiques sur la sphère oro-faciale est un fait reconnu de façon unanime, il a désormais...
Prothèse

Article réservé à nos abonnés La prothèse maxillo-faciale en omnipratique

La pratique de la prothèse maxillo-­faciale (PMF) ne correspond pas seulement aux seules réhabilitations pour les « gueules cassées » de la Première Guerre mondiale,...
Prothèse

Article réservé à nos abonnés Empreinte primaire optique versus empreinte conventionnelle en prothèse amovible complète

La Conception et la Fabrication Assistées par Ordinateur (CFAO) est utilisée de façon quotidienne dans des champs d’application allant de...
Prothèse

Article réservé à nos abonnés Place de la gouttière occlusale dans la prise en charge globale des dysfonctionnements temporo-mandibulaires

Les dysfonctionnements temporo-­mandibulaires (DTM) affectent, en fonction des études, de 30 à 50 % de la population adulte à un moment...
Prothèse

Article réservé à nos abonnés Suivi 3D et 4D dans le traitement de l’usure

L’usure dentaire est un phénomène complexe, sous la dépendance de nombreux facteurs étiologiques qui lui donnent des formes cliniques variées...
Prothèse

Article réservé à nos abonnés Optimisation des designs des préparations des restaurations partielles collées indirectes

L’avènement des procédés d’assemblage adhésif en prothèses ainsi que le développement de biomatériaux compatibles avec le collage a considérablement bouleversé...
Prothèse

Article réservé à nos abonnés Réhabilitation esthétique et fonctionnelle de la microdontie

Les anomalies dentaires peuvent être congénitales, de développement ou acquises, et peuvent inclure des altérations du nombre de dents, de...