Formation

Matériels

Article réservé à nos abonnés La photographie au cabinet dentaire : matériel, réglages et méthodes de prises de vues

Le bon déroulement des prises de vues au cabinet dentaire passe par l’acquisition de compétences. Le choix du matériel, son...
Parodontologie

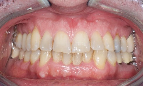
Article réservé à nos abonnés Gestion d’une complication parodontale dans un contexte de fermeture orthodontique d’un diastème interincisif maxillaire

Classification des freins interincisifs Bien qu’ancienne, la classification de Placek [Mirko et al. 1974, 1] reste d’actualité, car elle est...
Parodontologie

Article réservé à nos abonnés Nouvelle classification… #9 – Parodontite stade IV grade B

Depuis les débuts de la rubrique, les auteurs ont illustré chaque stade et grade de la classification des maladies parodontales de Chicago...
Endodontie

Article réservé à nos abonnés Anatomie endodontique : savoir identifier les pièges et les prendre en charge

La connaissance des morphologies externe et interne des dents est indispensable pour déjouer les pièges de l’anatomie endodontique, facteurs d’échec...
Endodontie

Article réservé à nos abonnés Préservation de la vitalité pulpaire : peut-on être sûr de sa décision ?

Le coût biologique et économique des défauts dans la prise en charge des lésions carieuses profondes est aujourd’hui établi. Il...
Implantologie chirurgicale

Article réservé à nos abonnés Implantation et profil d’émergence : évolution des concepts

Depuis la découverte de l’ostéointégration, le monde scientifique de l’implantologie a successivement porté son attention sur la compréhension du processus...
Implantologie

Article réservé à nos abonnés Réhabilitation implantaire de l’édenté complet : une affaire d’expert ?

Ce qu’il faut savoir – La chirurgie implantaire est basée sur un projet prothétique en adéquation avec les principes de...
Implantologie

Article réservé à nos abonnés Responsabilité médico-légale en implantologie pour l’omnipraticien

Capacité et compétence La capacité est une notion juridique La capacité [1-3] est définie par l’article L4141-2 du Code de...
Implantologie chirurgicale

Article réservé à nos abonnés L’extraction avec implantation immédiate en secteur antérieur est-elle plus accessible à l’omnipraticien en 2022 ?

Objectifs de la thérapeutique L’objectif principal de la thérapeutique implantaire dans la zone esthétique est d’obtenir un résultat avec une...
Implantologie

Article réservé à nos abonnés Quand implanter ?

Tels qu’ils étaient initialement décrits, les protocoles d’implantation proposaient de placer les implants dans des crêtes alvéolaires complètement cicatrisées, préconisant...
Implantologie

Article réservé à nos abonnés Prise en charge implantaire en secteur unitaire postérieur

Depuis quelques années, l’implantologie s’est largement répandue et démocratisée dans les cabinets d’omnipratique. Elle s’est imposée comme une discipline transverse,...
ODF

Article réservé à nos abonnés Le syndrome du fil, d’une détection précoce difficile au repérage aisé des cas sévères

Historique de la découverture du syndrome du fil (tableau 1) En 2007, Katsaros et al. [1] publient le rapport d’un cas...
Parodontologie

Article réservé à nos abonnés Évaluation du Risque Dento-Parodontal (RDP), un outil pour tous pour la santé orale

Contexte et objectifs de l’outil Les maladies orales sont très fréquentes tout au long de la vie et peuvent avoir...
Biomatériaux

Article réservé à nos abonnés Un article, une application clinique

La prise en charge de lésions cervicales d’origine non carieuse est fréquemment envisagée par la réalisation d’une restauration adhésive par...
Biomatériaux

Article réservé à nos abonnés Prétraitements de surface de la zircone : où en sommes-nous ?

Les prétraitements de surface de la zircone sont connus pour être indispensables dans l’amélioration de l’efficacité du collage de cette...
Biomatériaux

Article réservé à nos abonnés Éléments finis : application à la forme de préparation des facettes

Les facettes en céramique, initialement réservées aux traitements esthétiques, se sont progressivement positionnées comme option thérapeutique en prothèse fixée. Ces...