Formation

CFAO

Article réservé à nos abonnés L’impression 3D chairside  : applications et perspectives

En 1985, apparaît le CEREC (CEramic REConstruction), premier système de CFAO directe (ou chairside) destiné au cabinet dentaire, permettant de...
CFAO

Article réservé à nos abonnés Prise en charge esthétique d’anomalies de forme par restaurations composites bilaminaires associant impression 3D et technique d’injection

L’incisive latérale riziforme ou conoïde est une anomalie de forme fréquente présente chez environ 2 % de la population [1]. Cette...
Prothèse amovible

Article réservé à nos abonnés À propos d’un cas de prothèse complète unimaxillaire : apports du titane en prothèse amovible

Le traitement d’un édentement complet uni-maxillaire est une situation thérapeutique délicate. En effet, la présence d’une arcade édentée opposée à...
Odontologie restauratrice

Article réservé à nos abonnés Les vinyles polysiloxanes transparents : applications en odontologie conservatrice

Au cours de ces dernières décennies, de nombreux matériaux ont été élaborés et mis à la disposition des praticiens afin...
Prothèse

Article réservé à nos abonnés Réhabilitation prothétique à l’aide d’une technique « one-step, no-prep modifiée »

L’usure dentaire, au sens large, est le nouveau défi de ces dernières années dans la prise en charge des patients....
Prothèse

Article réservé à nos abonnés Prothèse complète : un travail d’équipe

La réalisation d’une prothèse fait concourir trois acteurs de soins, à savoir le patient, le prothésiste et le praticien. Il...
Prothèse amovible

Article réservé à nos abonnés Techniques de réparation des prothèses amovibles partielles en résine

Les prothèses amovibles partielles en résine subissent régulièrement des fractures qui intéressent tous les constituants. En cas de fractures, les...
Prothèse

Article réservé à nos abonnés La prothèse supra-radiculaire au service des édentements de longue étendue

En prothèse amovible partielle métallique (PAPM), les doléances des patients concernent essentiellement l’instabilité de leur prothèse lors de la mastication ;...
Prothèse

Article réservé à nos abonnés L’empreinte piézographique en trois temps cliniques

Pour certains cas complexes, la stabilité et la rétention de la prothèse complète mandibulaire sont des objectifs de traitement potentiellement...
Parodontologie

Article réservé à nos abonnés L’éducation thérapeutique en parodontologie

«Du désir au plaisir de changer. » Voici comment Françoise Kourilsky titrait l’un de ses ouvrages, mais pourrions-nous appliquer cette formule...
Parodontologie

Article réservé à nos abonnés Le profil du risque en parodontologie

Les parodontites sont caractérisées par une inflammation associée à la présence de microbes qui engendre une perte d’attache parodontale [1]....
Parodontologie

Article réservé à nos abonnés L’harmonie du rose et du blanc, de la réflexion à la réalisation !

Le complexe dento-parodontal L’attache supra crestale La gencive est attachée à la dent pour assurer une barrière étanche et imperméable...
Parodontologie

Article réservé à nos abonnés La chirurgie muco-gingivale du dépistage aux soins postopératoires

Les récessions gingivales Les récessions gingivales sont définies comme « le déplacement de la gencive marginale apicalement à la jonction amélo-cémentaire »...
Parodontologie

Article réservé à nos abonnés Données probantes et recommandations pour l’étape 2 de la thérapie parodontale

Qu’est-ce que la parodontite ? La parodontite est une maladie inflammatoire chronique déclenchée par l’accumulation de biofilm ; elle est d’étiologie multifactorielle...
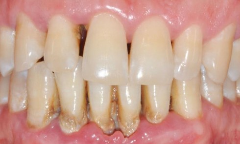
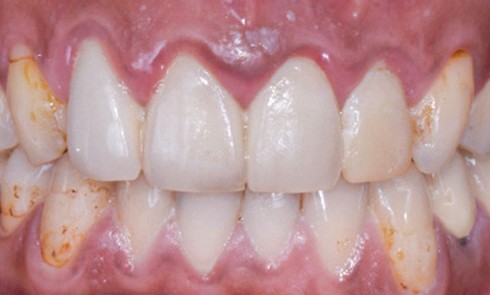
Parodontologie

Article réservé à nos abonnés Traitement chirurgical des poches parodontales résiduelles Pourquoi ? Quand ? Comment ?

La place de la chirurgie dans le plan de traitement parodontal La thérapeutique non chirurgicale bien exécutée suffit à elle seule...
Parodontologie

Article réservé à nos abonnés Traitement des défauts intra-osseux à l’aide d’une thérapie non chirurgicale peu invasive

Justification et contexte La thérapie parodontale non chirurgicale (non-surgical periodontal therapy, NSPT), associée à des conseils d’hygiène bucco-dentaire, est la...