Formation

Parodontologie

Article réservé à nos abonnés Traitement chirurgical des poches parodontales résiduelles Pourquoi ? Quand ? Comment ?

La place de la chirurgie dans le plan de traitement parodontal La thérapeutique non chirurgicale bien exécutée suffit à elle seule...
Parodontologie

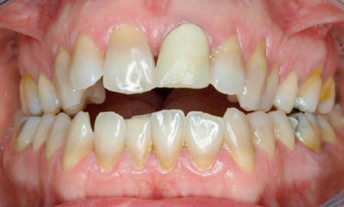
Article réservé à nos abonnés Traitement des défauts intra-osseux à l’aide d’une thérapie non chirurgicale peu invasive

Justification et contexte La thérapie parodontale non chirurgicale (non-surgical periodontal therapy, NSPT), associée à des conseils d’hygiène bucco-dentaire, est la...
Médecine

Article réservé à nos abonnés Soins de support en cancérologie : accompagnement et hygiène bucco-dentaire pendant tous les temps thérapeutiques

Les cancers de la tête et du cou représentent près de 5 % de toutes les tumeurs malignes. En 2018, ils...

Article réservé à nos abonnés Le consentement éclairé au cours des soins dentaires

Le patient n’est pas consentant par définition. La loi du 4 mars 2002, transposée dans l’article L. 1111-4 du Code de...
Endodontie

Article réservé à nos abonnés Les kystes radiculo-dentaires en questions

Qu’est-ce qu’un kyste radiculo-dentaire ? Le kyste radiculo-dentaire (fig. 1 et 2), également retrouvé sous le terme de kyste apico-dentaire, ou radiculaire, est...
Parodontologie

Article réservé à nos abonnés Nouvelle classification… Parodontite stade 3 grade C #8

Qu’est-ce qu’une parodontite stade III grade C selon Chicago 2017 ? Il s’agit d’une parodontite sévère à progression rapide avec...
Dermatologie buccale

Article réservé à nos abonnés Lésions lichénoïdes induites : syndromiques ou médicamenteuses ?

Cas 1 Motif de la consultation Patient adressé par son médecin interniste pour avis et prise en charge d’une lésion...
Implantologie chirurgicale, Parodontologie

Article réservé à nos abonnés La greffe épithélio-conjonctive : incisions et sutures pas à pas

Après une désinfection exobuccale et endobuccale à la povidone iodée, une anesthésie traçante para-apicale 1/100 000 d’articaïne est réalisée au niveau...
Implantologie chirurgicale, Parodontologie

Article réservé à nos abonnés Approches par tunnellisation dans le traitement des récessions gingivales

En 1985, Raetzke a décrit la fameuse « technique de l’enveloppe » pour le recouvrement de dénudations radiculaires localisées en utilisant des...
Implantologie chirurgicale, Parodontologie

Article réservé à nos abonnés Traitement d’une déhiscence vestibulaire péri‑implantaire : incisions et sutures de l’approche prothétique-chirurgicale

Les tissus péri-implantaires sont ceux qui entourent les implants dentaires ostéo-intégrés. Ils peuvent être divisés en tissus mous et tissus...
Implantologie chirurgicale, Parodontologie

Article réservé à nos abonnés Incisions, lambeaux et sutures pour la régénération osseuse alvéolaire pré‑implantaire

Le placement d’implants dentaires est souvent limité par l’absence d’un volume osseux adéquat faisant suite à une extraction dentaire, à...
Implantologie chirurgicale, Parodontologie

Article réservé à nos abonnés Chirurgie parodontale régénératrice : incisions et sutures des lambeaux de préservation papillaire

Au cours des trois dernières décennies, des progrès significatifs ont été réalisés en chirurgie parodontale régénératrice. L’évolution principale réside dans...
Implantologie chirurgicale, Parodontologie

Article réservé à nos abonnés Réussir les sutures de base en chirurgie parodontale

Les sutures interviennent en dernière phase du temps chirurgical et doivent faire l’objet d’une attention toute particulière lors des chirurgies...
Implantologie chirurgicale, Parodontologie

Article réservé à nos abonnés Nouvelle technique de greffe conjonctive pour la reconstruction papillaire

Le succès est un concept dynamique en parodontologie. Il peut être défini comme un effort dans la conservation de la...
ODF

Article réservé à nos abonnés Adapter sa stratégie thérapeutique aux caractéristiques de l’infraclusion antérieure

Comme le montrent les différents articles des deux numéros coordonnés par Sarah Chauty consacrés à l’infraclusion antérieure, les orthodontistes disposent...
ODF

Article réservé à nos abonnés Contention de l’infraclusion : vers de nouvelles approches

La stabilité de la correction de l’infraclusion est difficile : croissance résiduelle verticale qui s’exprime en fin d’adolescence, dysfonctions, voire persistance...