Formation

ODF

Article réservé à nos abonnés Fermeture de béance antérieure : quand la psychologie réoriente le protocole ortho-chirurgical initialement prévu

Fermeture de béance antérieure : quand la psychologie réoriente le protocole ortho-chirurgical initialement prévu Cas clinique En 2008, la patiente, âgée de 34 ans,...
Dermatologie buccale

Article réservé à nos abonnés Carcinomes épidermoïdes sans facteurs carcinogènes ?

CAS 1 Motif de la consultation Patient de 57 ans ayant consulté sur les conseils de son chirurgien-dentiste pour une ulcération...
Occlusodontologie

Article réservé à nos abonnés Reconstruction en antéposition

Les chirurgiens-dentistes sont parfois confrontés à des réhabilitations orales complexes. Les difficultés peuvent être dues à des délabrements ou des...
ODF

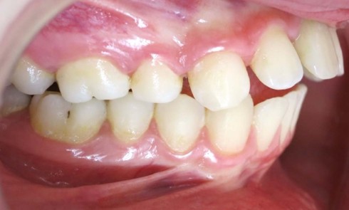
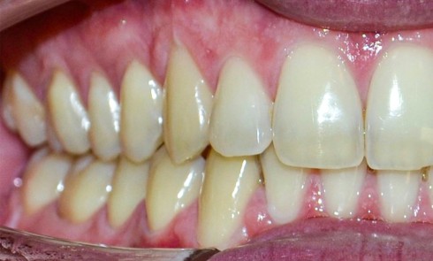
Article réservé à nos abonnés Traitement orthodontique de l’infraclusie : que pouvons-nous attendre des ancrages osseux ?

Les infraclusies antérieures chez l’hyperdivergent constituent un challenge pour l’orthodontiste (fig. 1 a-c) [1]. Les approches thérapeutiques conventionnelles s’avèrent actuellement peu efficaces chez...
ODF

Article réservé à nos abonnés Gestion orthodontique des infraclusions antérieures

Les anomalies de la dimension verticale sont une des composantes essentielles des dysmorphies faciales et sont étroitement liées aux phénomènes...
ODF

Article réservé à nos abonnés L’infraclusion : point de vue du kinésithérapeute, Hélène Gil

Quelles sont les difficultés de traitement par kinésithérapie de l’infraclusion ou béance antérieure ? Hélène Gil : De nombreux articles [1-2] relatent le rapport...

Article réservé à nos abonnés Le chirurgien-dentiste face au syndrome de fragilité chez les personnes âgées

En raison de l’augmentation de l’espérance de vie, la France, comme tous les pays industrialisés, doit faire face à un...
Odontologie restauratrice

Article réservé à nos abonnés La temporisation des restaurations adhésives en céramique collées dans le secteur antérieur. Utilisation du mock-up comme prothèse provisoire

Rubrique coordonnée par Mathilde Jalladaud et Marin Pomperski Le recours à une analyse esthétique est devenu un préalable indispensable à...
Odontologie pédiatrique

Article réservé à nos abonnés Les couronnes pédiatriques préformées esthétiques sur molaires temporaires : quelles sont les nouveautés ?

Les couronnes pédiatriques préformées métalliques (CPPm) sont indiquées sur les molaires temporaires dont le délabrement intéresse au moins deux faces,...
Santé publique

Article réservé à nos abonnés Effets du sel sur la santé : évidences et controverses

Les relations entre le sel et la santé sont ambivalentes, comme souvent en nutrition. Le sodium, cation du chlorure de...
Médecine

Article réservé à nos abonnés Le patient blessé au cabinet dentaire de l’examen à la rédaction du certificat médical initial

L’exercice de la médecine bucco-dentaire impose aux chirurgiens-dentistes des devoirs légaux et déontologiques. Parmi ces obligations, on retrouve l’établissement de...
Odontologie pédiatrique

Article réservé à nos abonnés Les traumatismes des dents permanentes de l’enfant en questions

Quelles questions poser lors d’un échange téléphonique dans un cas de traumatisme dentaire ? À la suite d’un traumatisme dentaire,...
Odontologie pédiatrique

Article réservé à nos abonnés Négligence, maltraitance. Comment agir ?

Cas clinique Salomé – 4 ans ► Salomé (fig. 1) se présente avec sa maman à la consultation d’urgence pour...
Médecine

Article réservé à nos abonnés Le chirurgien-dentiste face à une situation d’urgence médicale

Cas clinique Monsieur X est un grand-père très attentionné. Il passe beaucoup de temps avec ses petits-enfants. Sa femme lui dit...
Parodontologie

Article réservé à nos abonnés Hypoesthésie postopératoire, histoire d’une complication d’une chirurgie plastique parodontale

Cas clinique ► Il était une fois une amie, médecin, qui présentait des récessions gingivales de 34 à 36. La...
ODF

Article réservé à nos abonnés Apparition d’une béance unilatérale chez l’adulte

Cas clinique ► Un patient âgé de 23 ans est adressé à l’unité d’Occlusodontologie et de Réhabilitation de l’appareil manducateur...