Formation

Parodontologie

Article réservé à nos abonnés Traitement d’une parodontite stade 3 : application des recommandations S3 de l’EFP en pratique clinique

La Fédération Européenne de Parodontologie (EFP) a organisé en 2019 un European Workshop of Periodontology (EWP) dédié à formaliser des...
Chirurgie orale

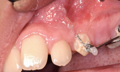
Article réservé à nos abonnés Cicatrisation de la muqueuse orale : études cliniques et expérimentales

La muqueuse orale revêt l’ensemble de la cavité buccale ; elle est délimitée par la partie cutanée de la lèvre...
Implantologie prothétique

Article réservé à nos abonnés Le guide à étage : nouvel atout thérapeutique après reconstruction osseuse pré-implantaire

Grâce aux progrès technologiques et à l’avènement des flux de travail numérique continu, l’implantologie assistée par ordinateur (CFAO) devient pratique...
Dermatologie buccale

Article réservé à nos abonnés Lésions palatines d’allure tumorale

CAS 1 Motif de la consultation Patient adressé par son chirurgien-dentiste pour avis et prise en charge d’une lésion palatine présente...
Pathologie

Article réservé à nos abonnés Lésions orales à potentiel malin : enquête sur les pratiques professionnelles des chirurgiens-dentistes du réseau ReCOL

En France, la majorité des cancers oraux sont diagnostiqués à un stade avancé, et rarement à un stade asymptomatique [1]....
Implantologie prothétique

Article réservé à nos abonnés Gestion d’un échec dans la prise en charge implanto-prothétique d’un maxillaire totalement édenté

Situation thérapeutique Un patient consulte pour une prise en charge implantaire, il n’a pas de problème de santé particulier et...
Implantologie

Article réservé à nos abonnés Proposition d’un protocole de dépollution des pièces implantaires transgingivales

Les facteurs influençant l’espace biologique sont nombreux (la position de l’implant et le type de matériaux par exemple). Parmi eux,...
Occlusodontologie

Article réservé à nos abonnés Reconstruction en antéposition

Les chirurgiens-dentistes sont parfois confrontés à des réhabilitations orales complexes. Les difficultés peuvent être dues à des délabrements ou des...
Occlusodontologie

Article réservé à nos abonnés Les infraclusions des molaires temporaires et la gestion du volume osseux résiduel

Quand un traitement orthodontique est indiqué dans le cadre de la persistance d’une molaire temporaire, l’orthodontiste doit toujours choisir entre...
Chirurgie orale

Article réservé à nos abonnés Greffe osseuse chez l’enfant porteur de fente labio-palatine

Les fentes labiales et palatines sont les malformations congénitales de la face les plus fréquentes, avec une incidence moyenne de...
Odontologie pédiatrique

Article réservé à nos abonnés La prescription médicamenteuse sédative et antalgique chez l’enfant

L’enseignement de la douleur de l’enfant dans les facultés, la validation de protocoles, la mise sur le marché de formes...
Chirurgie orale

Article réservé à nos abonnés Prise en charge des kystes et tumeurs osseuses chez l’enfant

Quels sont les signes qui doivent nous alerter ? Les kystes et tumeurs bénignes osseuses maxillaires ou mandibulaires chez l’enfant...
ODF, Parodontologie

Article réservé à nos abonnés Gestion parodontale lors des traitements orthodontico-chirurgicaux des canines incluses maxillaires

Les étiologies des inclusions sont nombreuses et variées. L’inclusion de la canine peut apparaître au cours d’une mutation génétique isolée,...
Dermatologie buccale

Article réservé à nos abonnés À propos de quelques pathologies tumorales et pseudo-tumorales de la muqueuse buccale chez l’enfant

La connaissance des principales lésions pseudo-tumorales et tumorales de la muqueuse buccale de l’enfant constitue un enjeu important en odontologie...
Odontologie pédiatrique

Article réservé à nos abonnés Frénectomie labiale au laser diode chez l’adolescent

Dans notre pratique orthodontique, le frein interincisif peut représenter une anomalie anatomique de la gencive et/ou de la muqueuse alvéolaire....
ODF

Article réservé à nos abonnés La Matrice linguale active (MLA) : traitement fonctionnel de la posture et de la fonction linguales

Rôle de la langue dans la croissance La langue, par ses appuis au repos et en fonction, a un rôle...