Formation

ODF

Article réservé à nos abonnés Gestion orthodontico-chirurgicale d’un cas de béance et importance de la prise en charge fonctionnelle

Les béances dentaires sont des malocclusions difficiles à traiter. Les troubles fonctionnels sont souvent à l’origine du problème, et leur...
Dermatologie buccale

Article réservé à nos abonnés Des papillomes atypiques

CAS 1 Motif de la consultation Patient de 51 ans consultant pour une tumeur labiale supérieure. Histoire de la maladie Le...
Implantologie chirurgicale

Article réservé à nos abonnés ROG péri-implantaire : données actuelles et évolutions récentes

L’avulsion d’une dent est une procédure délicate et invasive ayant pour conséquence la rupture vasculaire et ligamentaire du desmodonte [1]....
Chirurgie orale

Article réservé à nos abonnés À propos d’une image radioclaire mandibulaire

1. Que révèle le Cone Beam ? a. Des corticales osseuses lysées b. L’extension de la lésion au niveau du canal dentaire...
Parodontologie

Article réservé à nos abonnés Nouvelle classification… et parodontite – stade III grade B #8

Qu’est-ce qu’une parodontite stade III grade A selon la classification de Chicago 2017 ? Il s’agit d’une parodontite sévère à...
Implantologie chirurgicale

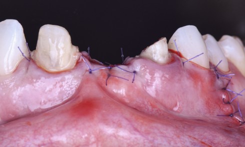
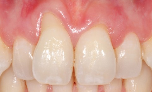
Article réservé à nos abonnés Résultats cliniques de 23 reconstructions osseuses conduites avec des plaquettes xénogènes déminéralisées

Nous avons mené une étude pour tester l’intérêt de l’utilisation des lames osseuses déminéralisées dans le cadre de reconstructions alvéolaires pré- ou per-implantaires,...
ODF

Article réservé à nos abonnés Intérêt de l’avulsion précoce des canines temporaires maxillaires pour une évolution optimisée des canines permanentes

Orthopédie dento-faciale Le service d’Orthopédie dento-faciale est composé actuellement de 10 enseignants qui constituent une équipe dynamique et polyvalente (1 PU-PH,...
Prothèse

Article réservé à nos abonnés La CFAO en prothèse maxillo‑faciale. Vers une simplification des protocoles ?

Réhabilitations orales L’équipe enseignante de Réhabilitations orales de l’École de Médecine Dentaire d’Aix Marseille Université regroupe actuellement 1 PU-PH, 1...
Santé publique

Article réservé à nos abonnés Effets des politiques de santé publique sur l’intérêt porté aux cancers oraux par la population européenne

Santé Publique Orale Bien que sa désignation soit entrée de façon aussi soudaine et intense qu’inattendue dans le langage usuel...
Odontologie pédiatrique

Article réservé à nos abonnés Pourquoi soigner les dents temporaires cariées des enfants ?

Quelles sont les indications de soin d’une dent temporaire ? Dès l’atteinte d’une face de l’émail de la couronne dentaire, un traitement...
Odontologie pédiatrique

Article réservé à nos abonnés Et si les dents n’étaient pas celles que l’on attendait ? Parcours d’un enfant présentant des anomalies du développement dentaire à Marseille

Odontologie pédiatrique et Maladies orales rares L’équipe enseignante d’Odontologie pédiatrique de l’École de Médecine Dentaire d’Aix Marseille Université est constituée...
Chirurgie orale

Article réservé à nos abonnés Gestion de la douleur postopératoire en chirurgie orale : mise en place d’un audit clinique ciblé

Chirurgie orale L’équipe de chirurgie orale de l’École de Médecine Dentaire d’Aix Marseille Université se compose actuellement de 6 MCU-PH,...
Occlusodontologie

Article réservé à nos abonnés Prise en charge des SAHOS chez l’enfant et l’adulte. À propos de deux cas cliniques

Physiopathologie du SAHOS Le SAHOS est décrit, selon la Haute Autorité de Santé (HAS), « par la survenue, pendant le sommeil,...
Parodontologie

Article réservé à nos abonnés Relation ortho-parodontale. Réflexion autour d’un cas clinique

Parodontologie La parodontologie Hospitalo-Universitaire à l’École de médecine dentaire de Marseille est dirigée par le Pr Virginie Monnet-Corti. Elle s’appuie...
Prothèse

Article réservé à nos abonnés Maintenance prothétique liée au vieillissement d’une PACSI à l’arcade maxillaire

En 2019, di Francesco et al. [5] ont réalisé une revue systématique et méta-analyse concernant le nombre d’implants requis au...
Endodontie, Odontologie restauratrice

Article réservé à nos abonnés Retraitements endodontiques complexes. Réflexion, prise de décision, mise en œuvre technique et suivi

Dentisterie restauratrice / Endodontie L’équipe enseignante de Dentisterie Restauratrice et Endodontie de l’École de Médecine Dentaire d’Aix Marseille Université regroupe...