Formation

ODF

Article réservé à nos abonnés Double inclusion canine associée aux résorptions radiculaires des incisives latérales

Grand Prix l’orthodontiste – Orthoplus Premier lauréat Catégorie enfants/adolescents de moins de 16 ans Marie Lailheugue, Spécialiste qualifiée en orthopédie dento-faciale, la...
ODF

Article réservé à nos abonnés Traitement home made combiné en orthodontie linguale et aligneurs

Grand Prix l’orthodontiste – Orthoplus Premier lauréat ex aequo Catégorie adultes Guillaume Lecocq Spécialiste qualifié en orthopédie dento-faciale, Valenciennes Diagnostic...
ODF

Article réservé à nos abonnés Gestion d’un cas d’extraction d’incisive mandibulaire par technique linguale individualisée

Grand Prix l’orthodontiste – Orthoplus Premier lauréat ex aequo Catégorie adultes Capucine Luca, Spécialiste qualifiée en orthopédie dento-faciale, Rennes La prise...
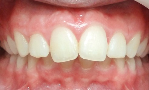
ODF

Article réservé à nos abonnés Insuffisance transversale maxillaire et classe II squelettique : comment les gérer en un temps clinique chez l’enfant

La classe II squelettique est fréquemment associée à une insuffisance transversale maxillaire. Classiquement, la prise en charge de la classe...
ODF

Article réservé à nos abonnés Traitement d’une classe II division 1 par aligneurs à fonction d’avancement mandibulaire

Le succès des thérapeutiques des classes II repose le plus souvent sur la réponse de croissance mandibulaire à notre traitement. De...
ODF

Article réservé à nos abonnés Comment corriger les classes II sans collaboration en technique multi-attaches chez l’adolescent ?

Y a-t-il plus grave échec que de terminer un traitement à l’adolescence en classe II molaire et canine ? La sanction...
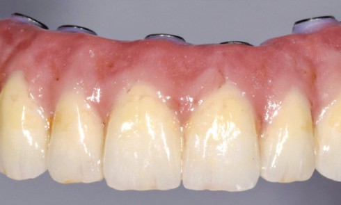
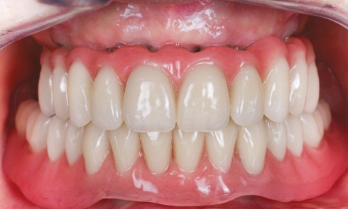
Implantologie

Article réservé à nos abonnés Restaurations implantaires complètes fixées : empreinte et conception

Les protocoles cliniques de réhabilitation implantaire complète transvissée sur implants sont aujourd’hui bien établis lorsqu’il s’agit d’utiliser les techniques conventionnelles d’empreintes...
CFAO

Article réservé à nos abonnés Approche esthétique et fonctionnelle numérique d’un traitement complet bimaxillaire

Le traitement de l’édentement complet par restaurations implantaires représente pour nos patients un réel changement de vie. Au-delà de l’amélioration...
Implantologie

Article réservé à nos abonnés Extraction implantation avec ou sans mise en charge immédiate ?

L’amélioration de nos connaissances ainsi que l’évolution de l’offre concernant le matériel implantaire (design et état de surface notamment) ont...
Implantologie

Article réservé à nos abonnés Planification implantaire : de la conception à l’exécution

Réhabiliter le patient édenté complet ou celui qui va le devenir par une prothèse implanto-portée nécessite, en premier, la mise...
Prothèse

Article réservé à nos abonnés Intérêt de la prévisualisation esthétique virtuelle en prothèse amovible complète immédiate maxillaire

Malgré les progrès très importants de la prévention et des traitements conservateurs, l’avulsion d’une dent reste un acte très fréquent...
Prothèse

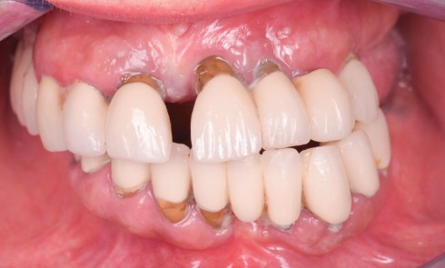
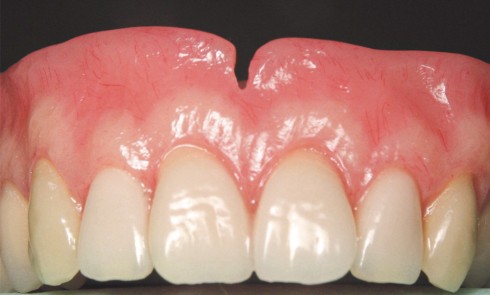
Article réservé à nos abonnés Approche esthétique conventionnelle et gestion du point interincisif

La détermination tridimensionnelle du point interincisif (PI) chez l’édenté complet est un facteur primordial pour la restauration de son esthétique. Elle...
Prothèse

Article réservé à nos abonnés Prothèse transitoire ou immédiate d’usage : quand, comment ?

Préalable Peut-on se prévaloir d’un enseignement des connaissances exclusivement fondées sur une expérience clinique personnelle ? C’est le terme exclusivement...
Prothèse fixée

Article réservé à nos abonnés Réhabilitation totale fixée maxillaire en contexte crestal très déficient

Les patients totalement édentés au maxillaire peuvent souhaiter une prothèse fixe plutôt qu’une prothèse amovible. Malheureusement, le volume osseux peut...
Prothèse

Article réservé à nos abonnés La prothèse complète implantaire sur coiffes télescopes : ça vous parle ?

Le traitement implantaire de l’édenté total a beaucoup évolué durant ces quarante dernières années. N’oublions pas que le concept d’ostéointégration...
Prothèse fixée

Article réservé à nos abonnés Prothèse fixée plurale ou implantaire : j’extrais, je comble ?

Après extraction d’une dent, il se met en place trois types de phénomènes. Tout d’abord, à court terme se déclenche...