Formation

Prothèse

Article réservé à nos abonnés Prothèse amovible et implants : quelles contraintes, quels objectifs, quelles solutions ?

Depuis plus de trente ans, la fin de la prothèse amovible est annoncée. Les améliorations des conditions de vie, les...
Prothèse

Article réservé à nos abonnés Chirurgien-dentiste/laboratoire de prothèse : une culture commune de sécurité ?

Dans l’industrie automobile entre autres, il existe des procédures qui fixent les règles des relations entre le donneur d’ordre (le...
Prothèse fixée

Article réservé à nos abonnés Prothèse fixée implantaire : scellement ou vissage ?

En odontologie, s’il existe certains sujets à discussion, nul doute que celui-ci en fait partie [1] ! Les habitudes de...
Implantologie chirurgicale

Article réservé à nos abonnés Chirurgie implantaire : technique guidée ou main libre ?

Les premiers pas en implantologie avaient comme objectif l’obtention de l’ostéo- intégration des implants et l’observation de leur taux de...
Implantologie prothétique

Article réservé à nos abonnés Restaurations implanto-portées compensant un édentement bi-maxillaire encastré : la prise d’empreinte

Un patient se présente en consultation d’implantologie pour compenser ses édentements maxillaire et mandibulaire. Lors de cette première consultation, une...

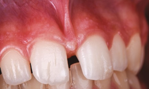
Article réservé à nos abonnés Les frénectomies en questions

Qu’est-ce qu’une frénectomie ? La frénectomie est un acte phare en chirurgie muco-gingivale. Elle peut concerner l’enfant, l’adolescent, l’adulte, et...
Matériels

Article réservé à nos abonnés Système d’aspiration de l’unit dentaire comment bien l’entretenir ?

Importance du système d’aspiration et de son entretien Le système d’aspiration et d’évacuation des eaux usées est indispensable lors des...
Implantologie

Article réservé à nos abonnés L’implantoplastie pour le traitement des péri-implantites : revue systématique de la littérature. Partie 2

RÉSUMÉ Objectifs La fréquence globale des péri-implantites, pathologie d’origine bactérienne, affecte 20 % des implants et 10 % des patients. Il n’existe...
Parodontologie

Article réservé à nos abonnés Nouveau regard sur l’infertilité féminine : des relations avec la santé parodontale

Résumé La fertilité des femmes et la parodontite sont-elles liées ? Un nombre croissant de preuves épidémiologiques et cliniques au...
Dermatologie buccale

Article réservé à nos abonnés Les biofilms buccaux, de véritables couffins pour les habitants du parodonte

L’objectif de cette rubrique est de rédiger la carte d’identité d’un habitant du parodonte. Elle présente l’identité de l’habitant (procaryote...
Dermatologie buccale

Article réservé à nos abonnés Découverte fortuite d’une coloration palatine

Situation clinique Anamnèse. Un patient adulte est adressé par son chirurgien-dentiste traitant après la découverte fortuite d’une lésion palatine. Il...
Implantologie

Article réservé à nos abonnés Prise en charge multidisciplinaire d’un cas complexe concernant la zone esthétique antérieure maxillaire

Résumé La zone antérieure maxillaire est une zone esthétique carrefour des différentes spécialités odontologiques. Sa réhabilitation doit toujours passer par...
ODF

Article réservé à nos abonnés Distalisation maxillo-mandibulaire en technique linguale dans le cas d’une classe 1

Rubrique coordonnée par Kinz Bayet Présentation du cas Une patiente de 20 ans se présente en consultation pour réaliser un...
Parodontologie

Article réservé à nos abonnés Le syndrome du fil : complication inattendue de la contention : Ne passez pas à côté de ce diagnostic !

Définitions Les contentions postorthodontiques fixes ont pour but de stabiliser à long terme la nouvelle position dentaire obtenue. Cependant, des...
Implantologie chirurgicale

Article réservé à nos abonnés Régénération d’une lésion intra-osseuse par approche chirurgicale minimalement invasive

Résumé La prise en charge des maladies parodontales débute par le contrôle des facteurs de risques systémiques et locaux modifiables. À...
ODF

Article réservé à nos abonnés Aspects juridiques de la communication professionnelle

L’évolution de la jurisprudence, en accord avec l’évolution des technologies, a vu modifier, par le décret n° 2020-1658 du 22 décembre...