Formation

ODF

Article réservé à nos abonnés La communication en orthodontie : du transistor aux réseaux sociaux

Lorsqu’on interroge les Français sur les mots ou expressions qui leur viennent à l’esprit lorsqu’ils pensent à l’orthodontie, outre les...

Article réservé à nos abonnés Communiquer avec le patient lors de la phase préthérapeutique

L’entretien Les premiers échanges avec le patient ont lieu lors de la prise de rendez-vous où il est souvent utile...

Article réservé à nos abonnés Esthétique et fonction : apport de l’orthodontie dento-faciale

Soigner n’est donc plus un défi, il est maintenant impératif de conserver, préserver et pérenniser les dentures des patients. L’avenir...

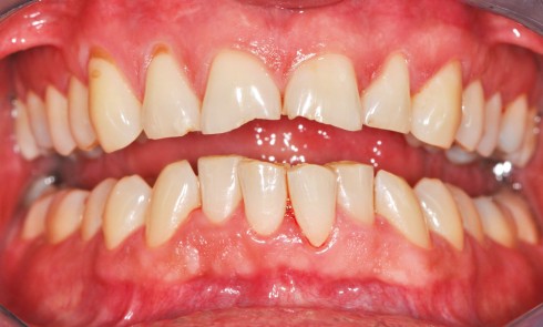
Article réservé à nos abonnés Place de l’état de santé général dans le plan de traitement odonto-stomatologique

Influence de l’état de santé général sur les tissus parodontaux La parodontite est actuellement définie comme la destruction progressive du...

Article réservé à nos abonnés Principes de la planification thérapeutique globale – Partie 1 – Diagnostic et pronostic

Historique des concepts de planification Historiquement, les critères de choix thérapeutiques en odontologie se sont basés sur la symptomatologie locale, se...

Article réservé à nos abonnés Dossier médical, consentement éclairé, aspects médico-légaux

Notre objet n’est pas ici de traiter de façon exhaustive de ces sujets, dont chacun pourrait faire l’objet d’une publication...
Odontologie restauratrice

Article réservé à nos abonnés Principes de la planification thérapeutique globale – Partie 2 – La prise de décision

Une approche scientifique et psychosociale Une fois le diagnostic posé, le plan de traitement devra intégrer les meilleures preuves scientifiques...
Implantologie prothétique

Article réservé à nos abonnés Planification des traitements implanto-prothétiques

Exercice limité à la parodontologie et l’implantologie, Paris Praticien attaché à la consultation d’implantologie du service de chirurgie maxillo-faciale (hôpital de Villeneuve-Saint-Georges)...
ODF

Article réservé à nos abonnés Le parcours numérique du patient au cabinet d’orthodontie

Premier contact avec le cabinet d’orthodontie Le premier contact d’un patient ou de son responsable légal se fait par différents...
Esthétique

Article réservé à nos abonnés Opération infiltration : les fêlures de l’émail

Contexte En 2008, l’American Association of Endodontists (AAE) publie une classification des fractures longitudinales dentaires appelée « cracked teeth » et en...
Dermatologie buccale

Article réservé à nos abonnés Glandes salivaires accessoires et lithiase

CAS 1 Motif de la consultation Patiente de 57 ans venue consulter pour une lésion jugale droite. Histoire de la maladie •...

Article réservé à nos abonnés La communication avec les parents, étape clé de la réussite des traitements chez l’enfant

1. La préparation au premier rendez-vous : Comment ? Par quels moyens ? La communication avec les parents commence avant...
CFAO

Article réservé à nos abonnés 30 ans de recul en CFAO

Information Dentaire : François Duret, aujourd’hui reconnu comme l’inventeur de la CFAO dentaire, a fait sa thèse sur l’empreinte optique en...
Parodontologie

Article réservé à nos abonnés Approches novatrices en chirurgie parodontale

La chirurgie parodontale est une phase importante du plan de traitement de prise en charge des formes sévères de parodontites...
Biomatériaux

Article réservé à nos abonnés Matériaux à empreinte élastiques : les silicones par addition

Appelés également vinylpolysiloxanes (VPS), les silicones par addition sont les matériaux les plus utilisés dans l’élaboration d’empreinte élastique pour prothèse...
Biomatériaux

Article réservé à nos abonnés What is ABRZ?

Definition of ABRZ The Acid Base Resistant Zone (ABRZ)1 is firstly reported [1] in 2004 as a part of the microstructure observed...