Formation

Occlusodontologie

Article réservé à nos abonnés Les DDA et proposition thérapeutique du composite-up

Les dyskinésies dento-articulaires (DDA) sont des troubles du cycle de mastication, majoritairement liés à des anomalies morphologiques des tables occlusales...
Occlusodontologie

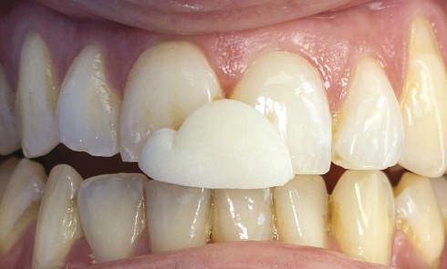
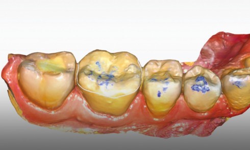
Article réservé à nos abonnés Système CEREC et occlusodontie fonctionnelle : gestion des cas de faible étendue

Le système CEREC, depuis les années 1980 [1], s’est démarqué par sa particularité de permettre au patient de recevoir une...
Implantologie, Occlusodontologie

Article réservé à nos abonnés Implantologie et principes de l’occlusion fonctionnelle

L’implantologie domine au sein de l’arsenal prothétique moderne, le nombre de patients éligibles s’étend et, dès lors que la mobilité...
Occlusodontologie, ODF

Article réservé à nos abonnés Orthodontie et occlusodontie fonctionnelle

Nous déplaçons des dents quotidiennement, développons les mâchoires, créons de beaux sourires. Mais nous interrogeons-nous suffisamment sur la finalité de...
Occlusodontologie

Article réservé à nos abonnés Réhabilitation occlusale temporaire selon les critères occlusaux fonctionnels

Une réhabilitation occlusale fonctionnelle est indiquée en cas de défaillances des guidages d’entrée et de sortie de cycles de mastication...
Implantologie prothétique

Article réservé à nos abonnés Prophylaxie implanto-prothétique : la part du patient

Selon Lee et coll. [1], la prévalence de la péri-implantite est décrite comme touchant plus de 9 % des implants posés,...
Implantologie prothétique

Article réservé à nos abonnés Échec de l’ostéointégration et vitamine D : état actuel des connaissances

D’après Manzano et al [1], l’utilisation d’implants courts ou la consommation de tabac seraient des facteurs de risque à l’origine de...
Implantologie prothétique

Article réservé à nos abonnés Maintenance de l’environnement gingival péri-implantaire en pratique quotidienne

De nombreuses publications scientifiques traitant des complications biologiques qui accompagnent les thérapeutiques implanto-prothétiques signalent la nécessité d’une maintenance régulière assurée...
Implantologie prothétique

Article réservé à nos abonnés L’angulation du puits d’accès de vissage, une solution prothétique fiable à l’angulation implantaire ?

À propos d’un cas clinique en secteur postérieur L’angulation du puits de vissage a surtout été décrit dans les réhabilitations...
Implantologie prothétique

Article réservé à nos abonnés Empreinte optique et protocole d’enregistrement transgingival en prothèse supra-implantaire

La littérature a montré qu’une gestion pertinente de la situation des tissus gingivaux péri-implantaires en adéquation avec le profil d’émergence...
Implantologie prothétique

Article réservé à nos abonnés Risque hémorragique et prise en charge chirurgicale d’un patient sous nouvel anticoagulant oral (NACO)

La cascade de coagulation représente un équilibre entre les voies procoagulantes qui conduisent à la formation des caillots sanguins et...
Implantologie prothétique

Article réservé à nos abonnés Planification implanto-prothétique : évolution des protocoles

Le projet prothétique correspond à la synthèse des éléments issus de l’examen clinique et des examens complémentaires, ceci en adéquation...
Implantologie chirurgicale

Article réservé à nos abonnés La logique implantaire revisitée : le concept de muco-intégration

Historiquement, une attention limitée était prêtée au pilier intermédiaire. Son rôle se résumait à l’assemblage de la prothèse et de...
Parodontologie

Article réservé à nos abonnés Nouvelle classification #6… parodontite stade 2 grade B

Qu’est-ce qu’une parodontite stade II grade B selon la classification de Chicago 2017 ? Il s’agit d’une parodontite modérée à progression moyenne [1]. Les outils...
Implantologie, Prothèse

Article réservé à nos abonnés Les conséquences du non-remplacement des dents extraites ou absentes

Causes de l’absence dentaire [3, 4] Il existe plusieurs explications à l’absence d’une ou plusieurs dents sur l’arcade : l’agénésie...
Occlusodontologie

Article réservé à nos abonnés Occlusion fonctionnelle et mastication

Articulation temporo-mandibulaire (ATM), muscles, faces occlusales, système nerveux central (SNC) : la mastication met en relation dynamique 4 éléments principaux,...