Formation

Esthétique

Article réservé à nos abonnés Les « détails » de l’esthétique

Les critères anatomiques, au nombre de cinq sont : la forme de contour, le volume tridimensionnel, les lignes de transition,...
Esthétique

Article réservé à nos abonnés Les facettes dentaires, une thérapeutique minimalement invasive

Les praticiens sont de plus en plus confrontés à la demande esthétique de leurs patients, le sourire ayant une importance...
Esthétique

Article réservé à nos abonnés Esthétique et fonction : liaison numérique entre la clinique et le laboratoire

La complicité entre le laboratoire et le cabinet est aujourd’hui grandement améliorée par l’utilisation de nombreux outils numériques, qui modifient...
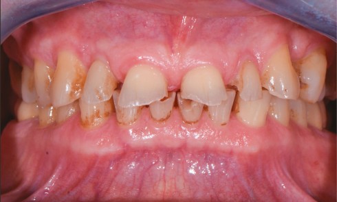
Esthétique

Article réservé à nos abonnés Restauration du sourire : “petits” moyens, grands résultats !

Lorsque des modifications sur des dents saines sont envisagées, le plus souvent chez de jeunes adultes demandeurs de traitements esthétiques...
Parodontologie

Article réservé à nos abonnés nouvelle classification et gingivite

Qu’est-ce que la gingivite induite par le biofilm selon Chicago 2017 ? Il s’agit d’une lésion inflammatoire résultant d’interactions entre le...
Parodontologie

Article réservé à nos abonnés La nouvelle classification des maladies parodontales et péri-implantaires

Qu’est-ce que la santé parodontale selon Chicago 2017 ? Cette nouvelle classification introduit pour la première fois la notion de santé...
Implantologie

Article réservé à nos abonnés L’implantoplastie pour le traitement des péri-implantites : revue systématique de la littérature. Partie 1

Résumé Objectifs > La péri-implantite, pathologie d’origine bactérienne, affecte 20 % des implants et 10 % des patients. Il n’existe pas de...
Parodontologie

Article réservé à nos abonnés Dépendance nicotinique et sévérité de la parodontite

Résumé Le tabagisme est considéré comme un facteur de risque pour la genèse et la progression de la parodontite. Parmi la pléiade...
Dermatologie buccale

Article réservé à nos abonnés Attention aux herpès récurrents atypiques

Situation clinique Anamnèse. Une patiente âgée de 38 ans a consulté en urgence pour une douleur gingivale et palatine, apparue...
Implantologie

Article réservé à nos abonnés Implantation immédiate unitaire et gestion d’un défaut osseux vestibulaire

Cet article décrit une technique combinant implantation immédiate, régénération osseuse guidée (ROG), greffe de conjonctif enfouie (GCE) par tunnel modifié...
Parodontologie

Article réservé à nos abonnés Thérapeutique orthodontique et chirurgie plastique : étapes d’une prise en charge

Les relations entre le parodonte et la thérapeutique ODF sont étroites, puisque, schématiquement, l’orthodontie repositionne la dent dans l’enveloppe osseuse,...
Odontologie restauratrice

Article réservé à nos abonnés Les restaurations partielles indirectes antérieures en céramique

La restauration partielle antérieure en céramique est un traitement prédictible et durable qui rétablit non seulement l’aspect esthétique de la dent...
Odontologie restauratrice

Article réservé à nos abonnés Résines injectées : les nouvelles approches pour réaliser des restaurations antérieures simples et durables

La réalisation des composites antérieurs est une technique de choix pour la restauration d’une dent fracturée dans sa partie coronaire...
Odontologie restauratrice

Article réservé à nos abonnés Éclaircissement dentaire avec du peroxyde de carbamide à 10 % : effets prophylactiques sur la dent cariée ou érodée

L’éclaircissement dentaire prend progressivement sa place dans l’arsenal thérapeutique des praticiens. En effet, en plus de l’indication physiologique liée au...
Odontologie restauratrice

Article réservé à nos abonnés Corriger un sourire gingival grâce au repositionnement de la lèvre supérieure ou « lip repositioning »

L’exposition excessive de la gencive lors du sourire, connue sous le nom de sourire gingival, est une préoccupation esthétique pour...
Odontologie pédiatrique

Article réservé à nos abonnés Bridge collé cantilever : pour une optimisation muco-gingivale de l’intégration esthétique

Le bridge collé cantilever représente une thérapeutique de choix dans le cadre de la prise en charge de l’édentement unitaire...