Formation

Odontologie restauratrice

Article réservé à nos abonnés Corriger un sourire gingival grâce au repositionnement de la lèvre supérieure ou « lip repositioning »

L’exposition excessive de la gencive lors du sourire, connue sous le nom de sourire gingival, est une préoccupation esthétique pour...
Odontologie pédiatrique

Article réservé à nos abonnés Bridge collé cantilever : pour une optimisation muco-gingivale de l’intégration esthétique

Le bridge collé cantilever représente une thérapeutique de choix dans le cadre de la prise en charge de l’édentement unitaire...
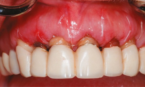
Odontologie restauratrice

Article réservé à nos abonnés Harmonisation des collets avec allongement de couronnes cliniques

L’esthétique du sourire impose la recherche d’un équilibre entre le parodonte et les dents, d’une harmonie entre le rose et...
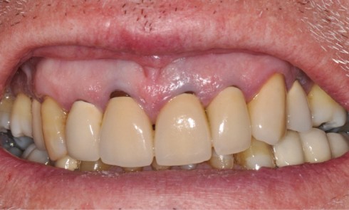
Odontologie restauratrice

Article réservé à nos abonnés Aligner les collets grâce à la chirurgie muco-gingivale

La ligne du sourire varie d’un patient à l’autre et pour un même patient en fonction de sa phase du...
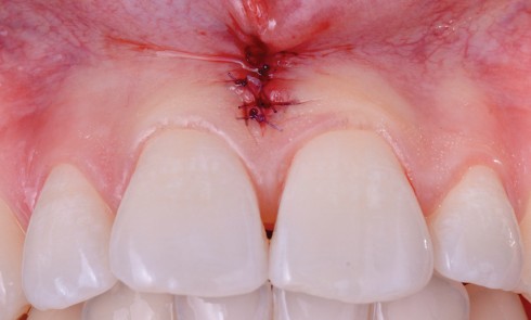
Odontologie restauratrice

Article réservé à nos abonnés De la préservation papillaire à la gestion des espaces noirs interdentaires

La papille joue un rôle important dans l’équilibre du sourire car elle occupe une place stratégique, là où le rose...
Parodontologie

Article réservé à nos abonnés Les élongations coronaires chirurgicales

Pourquoi l’attache supra-crestale doit-elle être rétablie ? Comment déterminer l’importance de l’éviction tissulaire à réaliser ? Quels sont les différents...
Dermatologie buccale

Article réservé à nos abonnés Kystes salivaires vrais ou faux ?

CAS 1 Motif de la consultation Patient de 44 ans venu consulter pour une lésion jugale postérieure gauche. Histoire de la maladie...
Parodontologie

Article réservé à nos abonnés Parodontite stade 2 grade A

Qu’est-ce qu’une parodontite stade II grade A selon la classification de Chicago 2017 ? Il s’agit d’une parodontite modérée à progression lente [1]. Les outils...
Implantologie

Article réservé à nos abonnés Ti-base : que coller dessus ? pour quelles indications ? Partie 2 – Technique de laboratoire

Conception prothétique sans Ti-base Deux configurations sont possibles en connexion direct implant en zircone. 1. Situation implantaire juxta-gingivale à connexion...
Odontologie restauratrice

Article réservé à nos abonnés Amélogenèse imparfaite prise en charge de l’enfance à l’âge adulte

L’amélogenèse imparfaite, nom donné à un groupe hétérogène de pathologies affectant le développement de l’émail des deux dentures, a pour...
Implantologie

Article réservé à nos abonnés Ti-base : que coller dessus ? pour quelles indications ? Partie 1 – Historique

Plusieurs points ont une importance majeure pour bien choisir le matériau à coller sur un élément Ti-base : la position...
Odontologie restauratrice

Article réservé à nos abonnés Amélogenèse imparfaite : une prise en charge médicale et psychologique pour aller au-delà des défis techniques et esthétiques

Définition L’amélogenèse imparfaite est le nom donné à un groupe hétérogène de pathologies caractérisées par un défaut inné du développement...
Dermatologie buccale

Article réservé à nos abonnés Des lésions verruqueuses et florides

CAS 1 Motif de la consultation Patient de 76 ans, insuffisant coronarien, traité par une endoprothèse (stent) et clopidogrel associé...
Hygiène et Asepsie

Article réservé à nos abonnés Les tests de l’autoclave

On distingue les tests de fonctionnement, comme les tests Bowie-Dick et Hélix, qui valident le bon fonctionnement du stérilisateur à...

Article réservé à nos abonnés Microbiote parodontal : description, moyens d’exploration et implications cliniques

Description du microbiote dans les maladies parodontales Contrairement au reste de la cavité orale, les micro-organismes qui se développent dans le sulcus...

Article réservé à nos abonnés Microbiote buccal : quelles avancées peuvent modifier les pratiques de soins du chirurgien-dentiste ?

L’étude des microbiotes en odontologie Le microbiote se développe sur toutes les surfaces orales. Le microbiote oral eubiotique (« eu » en grec...