Formation

Odontologie restauratrice

Article réservé à nos abonnés Collage des restaurations adhésives. Quels traitements de surface des pièces prothétiques ?

La restauration de l’organe dentaire par une restauration adhésive indirecte nécessite le conditionnement de deux surfaces : dentaire et prothétique....
Odontologie restauratrice

Article réservé à nos abonnés Approche clinique moderne d’une patiente atteinte d’usure érosive

Le diagnostic préalable de l’étiologie des phénomènes d’érosion-usure, qui peut être chimique, abrasive ou encore attritive, est essentiel pour permettre...
Odontologie restauratrice

Article réservé à nos abonnés La micro dentisterie, une réalité clinique

De la prévention au traitement, la micro dentisterie permet une prise en charge optimale des lésions carieuses. Elle est aujourd’hui...
Médecine

Article réservé à nos abonnés Place des bisphosphonates dans le traitement des parodontites : revue de littérature

Destruction osseuse induite par la parodontite La dernière classification des maladies parodontales définit la parodontite comme une pathologie inflammatoire chronique multifactorielle associée...
Médecine

Article réservé à nos abonnés Comment prévenir les ostéonécroses des maxillaires imputables aux antirésorptifs osseux ?

Il n’est pas question ici de remettre en cause le bien-fondé des prescriptions des IRO, dont les modalités ont été...
Médecine

Article réservé à nos abonnés Pharmacologie pratique des antirésorptifs osseux

Les antirésorptifs sont incontournables car ils ont fait la preuve de leur efficacité thérapeutique et que leur balance bénéfice/risque individuel...
Médecine

Article réservé à nos abonnés Les bisphosphonates et le dénosumab sont-ils vraiment utiles en cancérologie ?

Indications des antirésorbeurs en oncologie Les métastases osseuses Les métastases osseuses sont une complication fréquente des tumeurs malignes (tableau 1). Aux États-Unis,...
Médecine

Article réservé à nos abonnés Comment traiter les ostéonécroses des mâchoires ? Traitement médical ou chirurgical ?

En 2014, l’American Association of Oral and Maxillofacial Surgeons (AAOMS) [1] a défini les critères de diagnostic de l’ostéonécrose (tableau 1), les...
Médecine

Article réservé à nos abonnés Les bisphosphonates et le dénosumab sont-ils vraiment utiles en rhumatologie ?

Qu’est-ce que l’ostéoporose ? En rhumatologie, les ostéopathies fragilisantes (ostéoporose post-ménopausique ou cortico-induite, atteintes osseuses d’origine génétique, dans le cadre de...
Médecine

Article réservé à nos abonnés Ostéopétrose et pycnodysostose, un modèle physiopathologique d’ostéonécrose des mâchoires induite par les antirésorptifs osseux

Physiopathologie des OCN et similitudes avec certaines maladies ostéocondensantes Il existe différentes maladies osseuses d’origine génétique caractérisées par une ostéosclérose (c’est-à-dire...

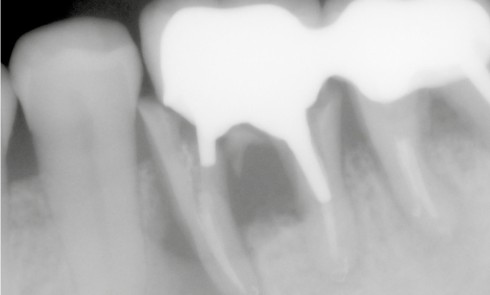
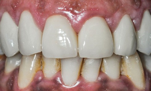
Article réservé à nos abonnés Reconstitutions corono-radiculaires : vers un changement de paradigme ?

Les différentes reconstitutions corono-radiculaires (RCR) sont représentées par des techniques directes (dites par matériaux insérés en phase plastique ou RMIPP)...
Parodontologie

Article réservé à nos abonnés La prise en charge de l’accroissement gingival chez l’adolescent

Le diagnostic La démarche diagnostique se déroule en trois étapes [2]. Anamnèse et recherche des facteurs de risques généraux :...
Hygiène et Asepsie

Article réservé à nos abonnés La qualité microbiologique de l’eau des units dentaires

Vrai/Faux L’alimentation de l’unit dentaire par de l’eau du réseau sans mesure particulière de traitement est sans risque. Un traitement...
Dermatologie buccale

Article réservé à nos abonnés Quand c’est noir, ça inquiète !

CAS 1 Motif de la consultation Patiente de 44 ans venue consulter sur les conseils de son dentiste traitant après la découverte,...
Esthétique

Article réservé à nos abonnés Approche thérapeutique graduée du sourire étroit chez l’adulte : de l’orthodontie à la chirurgie

Le corridor buccal exerce une influence sur l’esthétique du sourire et constitue l’un des aspects les plus controversés. L’objectif est...
ODF

Article réservé à nos abonnés Biomécanique des mini-implants : analyse des effets parasites de quatre situations cliniques et propositions de résolutions

Baptiste Turrel > Interne DES3 ODF > Lyon – Soutenance le 27/06/2019 > Directrices de mémoire : Drs Vanessa Valran et Sarah Chauty Qui...