Formation

Anesthésie

Article réservé à nos abonnés Anesthésie électronique au Quicksleeper 5® et MIH : la clé de la réussite ?

3e lauréat 2020 : Caroline Leverd, Thomas Marquillier, Caroline Delfosse, Thomas Trentesaux Grand Prix : Comment garantir une anesthésie de qualité en 2020 ? Une première...
Anesthésie

Article réservé à nos abonnés Comment aborder l’anesthésie lors de la première consultation en odontologie pédiatrique ?

2e lauréat 2020 : Etienne Boulbin Grand Prix : Comment garantir une anesthésie de qualité en 2020 ? Une première ! Organisé...
Anesthésie

Article réservé à nos abonnés Le maximum de soins dans le minimum de séance : c’est possible, grâce à l’anesthésie ostéocentrale

1er lauréat 2020 : Linda Martin Grand Prix : Comment garantir une anesthésie de qualité en 2020 ? Une première ! Organisé...
Odontologie restauratrice

Article réservé à nos abonnés Enregistrement des limites prothétiques et empreinte optique : précision, prédictibilité et reproductibilité

Principe de fonctionnement d’un scanner intraoral En simplifiant quelque peu, on peut dire que le principe de fonctionnement d’un scanner intraoral...
Odontologie restauratrice

Article réservé à nos abonnés Techniques de stratification histo-anatomique des résines composites : le concept biomimétique

La dentisterie adhésive moderne apporte des solutions pour soigner en préservant l’organe dentaire. En revanche, cela implique souvent des systèmes...

Article réservé à nos abonnés Intérêt de la nouvelle classification des maladies parodontales dans le traitement des parodontites

Définition clinique de la parodontite [5] Nous continuons à nous intéresser aux parodontites sans développer les maladies parodontales nécrosantes et/ou...
Parodontologie

Article réservé à nos abonnés Prendre en charge la maladie parodontale d’un patient présentant une pathologie générale : Exemple du diabète de type 2

La population française vieillit et cela conduit à une augmentation continue des personnes traitées pour une ou plusieurs maladies chroniques....
Endodontie

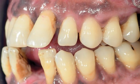
Article réservé à nos abonnés Reprise de traitements prothétiques

1 – Quelle est la pérennité des couronnes prothétiques unitaires ? 2 – Quelle technique adopter pour déposer une couronne...
Implantologie prothétique

Article réservé à nos abonnés Vulnérabilité occlusale en prothèse implantaire : pourquoi tout ce qui aurait pu mal tourner n’est pas arrivé ?

L’implantologie est une discipline prothétique à composante chirurgicale. Positionner un implant puis une prothèse unitaire supra-implantaire, c’est considérer l’ensemble des...
Implantologie chirurgicale

Article réservé à nos abonnés Gestion des complications en prothèse implantaire

L’analyse rapide de la littérature [1-6] nous montre que (tableau 1) : les complications mécaniques sont plus importantes avec la prothèse...
Implantologie prothétique

Article réservé à nos abonnés L’usure des attachements en PACSI est-elle évitable ?

Dans le traitement de l’édentement complet mandibulaire, l’utilisation de deux attachements axiaux supra-implantaires permet d’améliorer l’équilibre prothétique pendant la fonction....
Implantologie prothétique

Article réservé à nos abonnés Prothèse Amovible Complète Télescopique Implanto-Retenue (PACTIR) : Quand PEEK rime avec numérique

Dans cet article, nous allons tenter de préciser les étapes fondamentales de la conception et de la réalisation d’une PACTIR....
Implantologie prothétique

Article réservé à nos abonnés Prothèses « pilotis » chez l’édenté total

Enregistrements cliniques Empreinte physico-chimique L’option empreinte « à ciel ouvert » est préférable. Cette technique dite directe ou « pick-up » permet d’emporter les...
Implantologie prothétique

Article réservé à nos abonnés Embase titane et couronne céramique : un duo gagnant en prothèse fixée sur implant ?

Évolutions des prothèses implanto-portées Pendant de nombreuses années, la majorité des prothèses fixées sur implants étaient conçues avec un pilier...
Implantologie prothétique

Article réservé à nos abonnés Implantologie et biologie : Comment gérer le profil d’émergence et la prothèse pour préserver les tissus ?

Les dents naturelles : différences entre implants et dents La dent naturelle est notre guide. Son étude approfondie doit nous apporter...
Implantologie prothétique

Article réservé à nos abonnés La mise en esthétique et en fonction immédiate en implantologie : Quel protocole, quel matériau ?

Avec la pression des patients, toujours mieux renseignés par les différents médias, l’intérêt des procédures de temporisation immédiate est évident...