Formation

Biomatériaux

Article réservé à nos abonnés Consultation hospitalière pour les patients allergiques aux biomatériaux dentaires : diagnostiquer pour mieux orienter la prise en charge

La survenue des réactions allergiques dans la population mondiale est en constante augmentation et semble associée à une aggravation de...
Biomatériaux

Article réservé à nos abonnés Protéomique et biomatériaux – Partie 1 : Les outils de la protéomique et l’étude des protéines adsorbées sur les surfaces

Les avancées dans le domaine du séquençage du génome humain ont indéniablement étendu les possibilités d’étudier les processus biologiques au...
Biomatériaux

Article réservé à nos abonnés Effet des concentrés plaquettaires riches en fibrine (L-PRF) dans le traitement des lésions parodontales infra-osseuses : revue systématique

Les parodontites se traduisent par des pertes d’attaches irréversibles et une destruction progressive des tissus de soutien de la dent...
Dermatologie buccale

Article réservé à nos abonnés Des carcinomes épidermoïdes qui se cachent !

CAS 1 Motif de la consultation Patiente de 90 ans, toujours très alerte physiquement et mentalement, adressée par un chirurgien-dentiste pour une lésion...

Article réservé à nos abonnés Planification et gestion de la phase provisoire d’une patiente atteinte d’usure érosive

Coordination : Kinz Bayet Situation clinique initiale et synthèse diagnostique Une patiente, âgée de 30 ans, se présente en consultation pour...
ODF

Article réservé à nos abonnés Le logiciel Dolphin permet-il de donner une prédiction du profil aux patients dans le cadre de traitements orthodontico-chirurgicaux ?

Marie Pavelic > DES ODF3 > Bordeaux > Soutenance le 19 octobre 2020 Dans le cadre de traitements orthodontico-­chirurgicaux, la...
ODF

Article réservé à nos abonnés Relations ortho-paro : optimiser et faciliter le flux des données

Les courriers et/ ou courriels Que ce soit l’orthodontiste qui adresse le patient au parodontiste ou l’inverse, il est évidemment essentiel...
ODF

Article réservé à nos abonnés Traitement par aligneurs in office

Le paradigme actuel Les biais de communication La communication entre les différentes parties, praticien et laboratoire, est un élément clé...
ODF

Article réservé à nos abonnés Prise en charge parodontalede récessions gingivales iatrogènes

Les facteurs anatomiques prédisposant sont le biotype parodontal et la hauteur de gencive attachée. Ainsi, plus le parodonte sera fin...
ODF

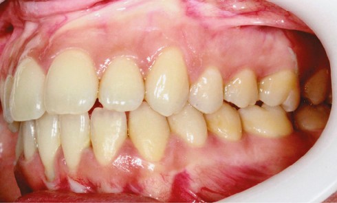
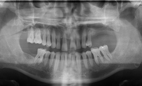
Article réservé à nos abonnés Prise en charge orthodontique et parodontale de migrations secondaires

Situation clinique Une femme âgée de 33 ans, sans antécédents médico-chirurgicaux notables, consulte pour la correction de l’égression de son...
Odontologie restauratrice

Article réservé à nos abonnés Technique d’injection de composite dans le secteur antérieur

Restaurations adhésives directes Il existe aujourd’hui sur le marché des résines composites fluides chargées, résistantes mécaniquement et qui présentent de...
Occlusodontologie

Article réservé à nos abonnés Coronoplasties occlusales préprothétiques

La problématique de l’équilibration préprothétique n’est pas nouvelle : elle a été décrite par Pline l’Ancien 23 ans après J-C....
Implantologie

Article réservé à nos abonnés Extraction implantation immédiate et choix raisonné du matériau de comblement

Lorsqu’un patient est atteint d’une fracture radiculaire ou d’une infection endodontique, parodontale ou endo-parodontale, ou qu’il présente une rhizalyse terminale...

Article réservé à nos abonnés Restauration directe au composite : permettre de garder le naturel en l’harmonisant

3es lauréats du grand prix Id : Utilisation des techniques de collage en omnipratique 2020 avec le soutien institutionnel de...

Article réservé à nos abonnés Overlay et MIH, aux frontières du réel

2es lauréats du grand prix Id : Utilisation des techniques de collage en omnipratique 2020 avec le soutien institutionnel de...