Formation

Anesthésie

Article réservé à nos abonnés Le meopa au cabinet dentaire les réponses à mes interrogations

Indications Il est indiqué pour des analgésies de courte durée pour des actes douloureux, ou en cas de douleur légère...
CFAO

Article réservé à nos abonnés Rôle de l’assistant(e) dentaire dans la pratique de l’empreinte optique

Présentation du matériel Le matériel actuellement disponible se présente sous différents aspects : soit comme un petit chariot (kart) intégrant...
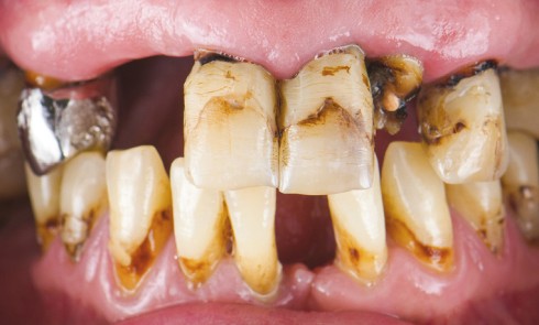
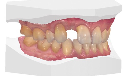
Prothèse

Article réservé à nos abonnés Maîtriser les facteurs d’échec en prothèse amovible complète supra-radiculaire

La prothèse amovible complète supra-­radiculaire désigne une restauration prothétique qui utilise en complément de rétention et/ou de sustentation les racines...
Prothèse

Article réservé à nos abonnés Réhabilitation prothétique en cas d’hypertrophie crestale : la chirurgie est-elle systématique ?

L’examen clinique des structures d’appui chez l’édenté total revêt une importance capitale et ce, quel que soit le type de...
Prothèse

Article réservé à nos abonnés Visagisme : une aide à la création d’un sourire personnalisé

Le digital représente une avancée révolutionnaire lors de la réhabilitation d’un sourire. La réalisation d’un projet esthétique virtuel permet d’élaborer...
Prothèse

Article réservé à nos abonnés Édentement antérieur : gestion numérique d’un bridge collé cantilever en zircone

Le bridge collé cantilever fait aujourd’hui partie intégrante de l’arsenal thérapeutique du praticien, et particulièrement lors de la réhabilitation des...
Prothèse

Article réservé à nos abonnés Importance du design de la prothèse implantaire et de l’hygiène orale dans le succès implantaire

Malgré les progrès dans la prévention bucco-dentaire et le développement de thérapeutiques très conservatrices pour l’organe dentaire, l’extraction dentaire reste...
Prothèse

Article réservé à nos abonnés Apport d’une technique d’empreinte spécifique dans la gestion des crêtes flottantes en prothèse complète : rapport de cas clinique

Protocole La rétention et la sustentation sont les deux clés de réussite d’une prothèse amovible complète [1]. Elles sont essentiellement...
Prothèse

Article réservé à nos abonnés Mise en charge immédiate peropératoire, importance de la collaboration prothésistes-cliniciens

3es lauréat du grand prix Stratégie Prothétique 2020 avec le soutien institutionnel de Bredent M. Declercq, Chirurgien-dentiste B. Detrez Prothésiste...
Prothèse

Article réservé à nos abonnés L’atout numérique dans la mise en charge immédiate d’un pilotis d’usage

2es lauréat du grand prix Stratégie Prothétique 2020 avec le soutien institutionnel de Bredent Y. Gastard, Prothésiste dentaire W. Goubin,...
Prothèse

Article réservé à nos abonnés Flux numérique complet au service de la mise en charge immédiate dans le cadre de réhabilitations globales

1ers lauréat du grand prix Stratégie Prothétique 2020 avec le soutien institutionnel de Bredent A. Rabiey, F. Chamieh, Chirurgiens-dentistes A....
Esthétique

Article réservé à nos abonnés Usure érosive localisée : le principe de Dahl optimisé

Dans certaines situations cliniques d’usure dentaire essentiellement localisée au secteur antérieur, c’est-à-dire sans aucune, ou avec de faibles atteintes postérieures,...
Médecine

Article réservé à nos abonnés Ne pas se fier aux apparences

1. Quel(s) diagnostic(s) doit-on évoquer en première intention ? a. Epulis b. Abcès parodontal c. Fibrome d. Abcès d’origine endodontique 2....
Dermatologie buccale

Article réservé à nos abonnés Amyotrophie et déviation linguale

Cas 1 Motif de la consultation Patiente de 75 ans, hypertendue, consultant pour des brûlures para-pharyngées et mandibulaires postérieures gauches. Histoire de la maladie...
Santé publique

Article réservé à nos abonnés Focus covid – Abécédaire des questions-réponses les plus fréquentes sur la vaccination Covid-19

Pourtant, l’émergence de nouveaux variants plus contagieux en Angleterre et en Afrique du Sud, la situation en France (avec la probabilité...
Santé publique

Article réservé à nos abonnés Focus covid – Les variants « plus transmissibles ». Pourquoi de nouvelles émergences et comment s’adapter ?

De nombreux virus, notamment respiratoires, mutent en permanence : les SARS-CoV-2 n’échappent pas à la règle. Ils semblent cependant muter moins fréquemment que les virus...