Formation

Santé publique

Article réservé à nos abonnés Focus covid – Abécédaire des questions-réponses les plus fréquentes sur la vaccination Covid-19

Pourtant, l’émergence de nouveaux variants plus contagieux en Angleterre et en Afrique du Sud, la situation en France (avec la probabilité...
Santé publique

Article réservé à nos abonnés Focus covid – Les variants « plus transmissibles ». Pourquoi de nouvelles émergences et comment s’adapter ?

De nombreux virus, notamment respiratoires, mutent en permanence : les SARS-CoV-2 n’échappent pas à la règle. Ils semblent cependant muter moins fréquemment que les virus...
Santé publique

Article réservé à nos abonnés Focus covid – Physiopathologie de l’infection à SARS-CoV-2 et de la Covid-19

On doit concevoir le spectre clinique des infections à SARS-CoV-2 comme une pyramide ayant les formes asymptomatiques pour base et...
Implantologie

Article réservé à nos abonnés « Patient management » et contrôle de la douleur postopératoire en implantologie orale. Proposition d’ordonnances antalgiques optimisées

Ainsi, les chirurgiens cherchent à contrôler la douleur postopératoire inhérente à leurs soins, car elle signe leur notoriété professionnelle, fonde...
Santé publique

Article réservé à nos abonnés Focus covid – Diagnostic biologique des infections à SARS-CoV-2

Depuis le début de la pandémie, des commentaires multiples, souvent négatifs, ont été émis sur les outils de diagnostic biologique de...
Santé publique

Article réservé à nos abonnés Focus covid – Comprendre les mesures de prévention de la Covid-19

Les gestes barrières et les mesures de distanciation physique restent des mesures incontournables, à même de ralentir l’évolution de l’épidémie en...
Implantologie

Article réservé à nos abonnés État des lieux de l’information préopératoire et du contrôle de la douleur postopératoire en implantologie

Méthode Forme de l’enquête Il s’agit d’une enquête épidémiologique transversale sur les pratiques des chirurgiens-dentistes exerçants l’implantologie orale. Le champ...
Santé publique

Article réservé à nos abonnés Focus covid – Épidémie, contagiosité, R0, mesures barrières

La pandémie Covid-19 s’est étendue sur l’ensemble des continents. Les pays les plus touchés au départ étaient ceux de l’hémisphère Nord, peut-être...
Implantologie

Article réservé à nos abonnés Évaluation de la douleur postopératoire en implantologie orale : étude clinique prospective

La prothèse implanto-portée est aujourd’hui considérée comme le traitement préférentiel de l’édentement. À la différence de la prothèse dento-portée, elle...
Endodontie

Article réservé à nos abonnés Le rôle de l’assistant(e) dentaire en endodontie

Principes de bases et place au cabinet dentaire Le traitement endodontique a pour objectif de traiter les maladies de la...
Hygiène et Asepsie

Article réservé à nos abonnés La tenue de l’assistant(e) dentaire

Une tenue complète Selon l’esprit du cabinet dentaire, la même tenue est portée par toute l’équipe, ou chacun peut l’adapter...
Prothèse

Article réservé à nos abonnés Simplifier la réalisation de la prothèse complète implanto-portée

La définition de la santé, par l’Organisation Mondiale de la Santé, est un état de confort total physique, psychique et...
Parodontologie

Article réservé à nos abonnés Nouvelle classification… parodontite stade 1 grade B #4

Qu’est-ce qu’une parodontite stade I grade B selon Chicago 2017 ? Il s’agit d’une parodontite débutante à progression modérée [1]....
Santé publique

Article réservé à nos abonnés Prise en charge de la santé orale des résidents en Ehpad

De nombreuses études attestent, depuis près de vingt ans, que la santé buccale des résidents est mal prise en charge...
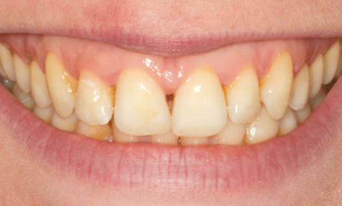
Esthétique

Article réservé à nos abonnés Intérêt de la démarche diagnostique dans le traitement de la fluorose

Description de la fluorose dentaire Elle se traduit cliniquement par des opacités au niveau de l’émail. Ces opacités peuvent atteindre...
Dermatologie buccale

Article réservé à nos abonnés Des hyperplasies gingivales peu ordinaires

L’hyperplasie gingivale correspond le plus souvent à une augmentation de volume du tissu conjonctif. Elle peut être localisée (épulis, tumeur maligne…) ou...