Formation

Chirurgie orale

Article réservé à nos abonnés Perforation du plancher buccal d’origine iatrogène : conduite à tenir

Le plancher buccal est une région anatomique familière du chirurgien-dentiste, et paradoxalement redoutée. Cette ambivalence vient certainement du fait de...
Esthétique

Article réservé à nos abonnés Les recommandations pré- et postopératoires en chirurgie orale : prescriptions et protocoles cliniques

La prise en charge des patients dont l’état de santé est altéré représente un défi pour le chirurgien-dentiste, en raison des conséquences...
Esthétique

Article réservé à nos abonnés Les avulsions en omnipratique, techniques chirurgicales

La conservation des dents sur l’arcade est un objectif majeur en odontologie. Néanmoins, l’avulsion dentaire reste parfois nécessaire et cet...
Esthétique

Article réservé à nos abonnés Préservation alvéolaire post- extractionnelle : biomatériaux, indications et techniques chirurgicales

Lorsque le pronostic d’une dent est engagé et que l’avulsion de celle-ci est inévitable, il se produit une résorption alvéolaire post-extractionnelle. Ce...
Esthétique

Article réservé à nos abonnés L’élongation coronaire : de l’analyse à l’intervention chirurgicale

Réaliser une restauration prothétique dans de bonnes conditions implique d’être vigilant au respect de l’environnement parodontal. S’affranchir de ces considérations...
Esthétique

Article réservé à nos abonnés Conserver ou extraire les dents de sagesse : le point sur les indications et les techniques chirurgicales

L’extraction des troisièmes molaires est une intervention fréquente en chirurgie orale qui représente environ 36 % des actes d’extraction. Prendre la...
Esthétique

Article réservé à nos abonnés Les frénectomies : indications et techniques chirurgicales

La frénectomie est un geste de chirurgie orale simple dont l’indication doit être judicieusement posée. L’omnipraticien est tout à fait...
Dermatologie buccale

Article réservé à nos abonnés Biopsie de la muqueuse orale au cabinet dentaire

La biopsie est un geste peu pratiqué dans les cabinets dentaires. Pourtant, le chirurgien-dentiste est en première ligne diagnostique des...
Esthétique

Article réservé à nos abonnés Les complications des chirurgies du quotidien

Difficile de prévoir une complication. Pourtant, force est de constater qu’il se dégage des situations à risque : un cas...
Prothèse

Article réservé à nos abonnés Modélisation des contraintes au sein de deux châssis métalliques maxillaire

Les fractures des Prothèses Amovibles Partielles à Châssis Métalliques (PAPCM) ne surviennent pas de façon aléatoire mais à des sites...
Prothèse

Article réservé à nos abonnés La Bridge Rescue Procedure (BRP) : remplacement d’implants perdus à l’aide d’implants zygomatiques et réadaptation du bridge d’usage

Malgré un taux de survie dépassant les 95 %, la réhabilitation fixe implantoportée de l’arcade totalement édentée peut être remise en...
Prothèse

Article réservé à nos abonnés De la prothèse complète immédiate à la prothèse d’usage : apport du numérique

Le virage du numérique est largement amorcé et ses technologies transforment progressivement notre pratique. Ces outils permettent dorénavant la réalisation...
Prothèse

Article réservé à nos abonnés Surfaces polies stabilisatrices : profils et rôles

Les surfaces polies stabilisatrices, appelées aussi « extrados prothétiques », sont les surfaces prothétiques en rapport direct avec la langue, les joues...
Médecine

Article réservé à nos abonnés À propos de lésions buccales chroniques généralisées en période de pandémie Covid-19

À l’interrogatoire, le patient affirme qu’il a des difficultés à maintenir une hygiène bucco-dentaire satisfaisante du fait des douleurs, et...
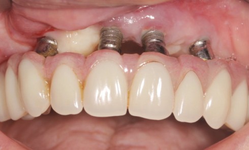
Implantologie prothétique

Article réservé à nos abonnés Échec d’une réhabilitation implanto-prothétique complexe

Présentation de cas Une patiente âgée de 78 ans se présente en consultation, pour des douleurs et des infections à...
Chirurgie orale

Article réservé à nos abonnés Comment préserver l’alvéole dentaire en chirurgie parodontale ?

La cicatrisation osseuse post-extractionnelle induit inévitablement une perte osseuse verticale et horizontale qui augmente dans le temps, et plus particulièrement...