Formation

Odontologie restauratrice

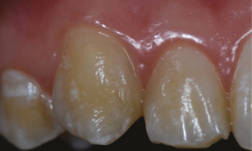
Article réservé à nos abonnés L’usure modérée : approche pragmatique d’un cas clinique

Sous l’impulsion de Francesca Vailati et d’Urs Belser en 2008 [1-3], plusieurs protocoles ont été proposés pour prendre en charge et...
Esthétique

Article réservé à nos abonnés Approche contemporaine de l’éclaircissement de la dent dépulpée

Étiologies des dyschromies de la dent dépulpée La discoloration de la dent dépulpée est due à trois causes principales :...
Esthétique

Article réservé à nos abonnés Le relevé de la couleur à visée restauratrice directe

Paramètre de la couleur dentaire et corrélation incrémentale Le succès colorimétrique dans les restaurations directes se révèle un véritable challenge au...
Esthétique

Article réservé à nos abonnés Rendre sa couleur à l’émail…

Initialement, l’érosion-infiltration résineuse était uniquement destinée au scellement des lésions carieuses en pénétrant au sein de la zone déminéralisée. Dans...
Esthétique

Article réservé à nos abonnés Apports de la spectrophotométrie pendant l’éclaircissement dentaire

Selon l’Organisation Mondiale de la Santé [1], la santé est « un état de complet bien-être physique, mental et social, et...
Esthétique

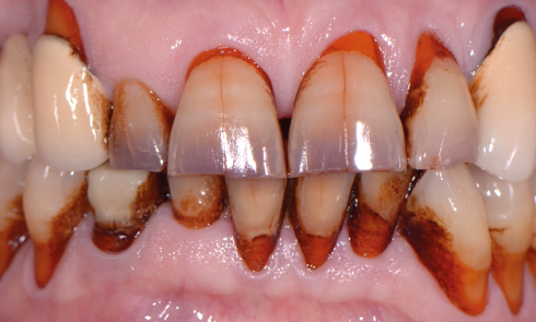
Article réservé à nos abonnés La dent dyschromiée : approche diagnostique

Les dyschromies s’expliquent par la perméabilité des tissus dentaires rendant possible des échanges de flux liquidiens (et donc l’incorporation de...
Esthétique

Article réservé à nos abonnés La couleur des dents naturelles : bases fondamentales

La perception de la couleur Pour comprendre la perception des couleurs, il faut d’abord comprendre les propriétés physiques et les...

Article réservé à nos abonnés Les coups de cœur de Michel Bartala

L’unité de notre profession Le 16 mars 2020 restera une date particulière dans nos exercices professionnels. La fermeture de nos cabinets,...

Article réservé à nos abonnés les Coups de cœur de Pascal De March

En 2020, avec la crise du coronavirus, les réseaux sociaux virtuels, déjà omniprésents dans nos sociétés, ont franchi un palier...
Prothèse

Article réservé à nos abonnés Les coups de cœur de Maxime Helfer

Si l’empreinte optique n’est pas nouvelle, force est de constater qu’elle devient prépondérante dans les publications. Et ce n’est pas...
Biomatériaux

Article réservé à nos abonnés Les coups de coeur de Jean-Pierre Attal

Philippe François, Vincent Fouquet, Stéphane Le Goff, Sarah Abdel-Gawad, Vincent Le Marteleur, Pierre-François Ceccaldi, Aurélie Benoît, Christophe Rignon-Bret, Elisabeth Dursun, Laurent Tapie pour...
Odontologie pédiatrique

Article réservé à nos abonnés Les coups de cœur de Frédérique d’Arbonneau & Camille Salou

« Un enfant une dent », un vieil adage « Un enfant, une dent » est une croyance qui repose sur l’idée que le...

Article réservé à nos abonnés Les coups de cœur de Vianney Descroix

L’autocompassion pour protéger du burn-out Du virus respiratoire au roman d’Emmanuel Carrère en passant par le destin funeste et tragique de...
Endodontie

Article réservé à nos abonnés Les coups de coeur de Stéphane Simon

Conserver coûte que coûte grâce à la tolérance de la biologie Une hirondelle ne fait pas le printemps. Néanmoins, quand elle...
Dermatologie buccale

Article réservé à nos abonnés Le coup de cœur de Jean-Christophe Fricain

Le lichen oral recouvre plusieurs entités. Il s’agit de la pathologie de la muqueuse buccale la plus fréquente que tout...
Parodontologie

Article réservé à nos abonnés Les Coups de cœur de Corinne Lallam

Quand la parodontie fait évoluer notre réflexion sur l’implantologie L’article de Heitz-Mayfield, Heitz et Lang (Implant Disease Risk Assessment IDRA-a tool...