Formation

Implantologie chirurgicale

Article réservé à nos abonnés L’extraction implantation immédiate en secteur postérieur associée à la mise en œuvre du pilier SSA

Depuis plusieurs années, l’extraction implantation immédiate apparaît comme une stratégie de traitement arborant un nombre fleurissant de publications scientifiques [1,...
Dermatologie buccale

Article réservé à nos abonnés Deux autres lésions linguales rares

CAS 1 Motif de la consultation Patiente de 61 ans venue consulter spontanément pour une lésion linguale. Histoire de la maladie...
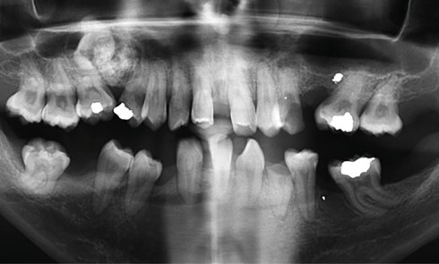
Médecine

Article réservé à nos abonnés À propos d’une image radio-opaque maxillaire

1. Quels sont les diagnostics à évoquer ? a. Odontome complexe et dent incluse b. Dysplasie péri-apicale c. Tumeur odontogénique...
Occlusodontologie

Article réservé à nos abonnés Les papiers marqueurs de l’occlusion (Partie 2)

Bien positionner la tête et le corps du patient Un patient allongé avec la tête en hyperextension n’aura probablement pas...

Article réservé à nos abonnés Fentes labio-palatines – Annexes

Annexe de l’ouvrage Fentes labio-palatines Approches thérapeutiques chirurgicales, orthodontiques et prothétiques Bruno GROLLEMUND, Olivier Etienne, Georges Herzog, christian Molé Consultez le...
Dermatologie buccale

Article réservé à nos abonnés Tumeur et pseudo-tumeur gingivales

Déjà plusieurs fois évoquées dans cette rubrique, le chapitre des tumeurs gingivales est dominé par les épulis qui sont les lésions dont...
Esthétique

Article réservé à nos abonnés Le polissage des restaurations temporaires : provisoires, mais fondamentales !

1 / Il existe deux types de résines temporaires. 2 / La couche d’inhibition à l’oxygène améliore l’état de surface....
Endodontie

Article réservé à nos abonnés Une lime mécanisée électro-érodée pour obtenir une perméabilité canalaire

La perméabilisation, qui fait l’objet de cette étude, est l’une des phases essentielles de la préparation canalaire. Elle survient après...
Biomatériaux

Article réservé à nos abonnés Usure abrasive à deux corps ou « attrition »

L’usure est la détérioration que produit l’usage. C’est une manifestation physiologique qui revêt parfois un caractère pathologique. Elle est alors susceptible...
Biomatériaux

Article réservé à nos abonnés les basiques de la prothèse implanto-portée – Partie 3

Les problématiques : fiabilité de l’empreinte, précision d’adaptation et passivité de l’infrastructure En prothèse implanto-portée plus encore qu’en prothèse conventionnelle, la précision...
Biomatériaux

Article réservé à nos abonnés L’évidence du bridge collé à une ailette pour le remplacement d’une incisive (partie 1)

Depuis l’avènement, au milieu des années 1990, des bridges collés à une ailette, des situations d’édentement antérieur avec une contre-indication...
Biomatériaux

Article réservé à nos abonnés L’intérêt de la digue

La Haute Autorité en Santé (HAS) a publié un texte en 2009 sur la reconstitution des dents par inlay/onlay [1]. Il...
Biomatériaux

Article réservé à nos abonnés L’obturation canalaire avec une nouvelle famille de biomatériaux… en toute simplicité (partie 1)

Les objectifs du traitement endodontique sont souvent restreints à des notions mécaniques. Pourtant, l’objectif principal reste de prévenir toute agression...
Biomatériaux

Article réservé à nos abonnés Gestion contemporaine des lésions carieuses profondes : le curetage sélectif

La pérennité de la dent sur l’arcade est au centre de toutes les priorités lorsqu’un traitement restaurateur est entrepris [1]....
Esthétique

Article réservé à nos abonnés Le scellement dentinaire immédiat

Scellement dentinaire immédiat : concept Historique Les protocoles de mise en œuvre des restaurations indirectes nécessitent classiquement (hors CFAO directe...
Esthétique

Article réservé à nos abonnés L’occlusion, un paramètre essentiel à la pérennité d´une restauration

Pour un résultat pérenne, il est important de diagnostiquer et de corriger d’éventuelles mal-occlusions ou prématurités avant d’envisager les restaurations...