Formation

Esthétique

Article réservé à nos abonnés Le scellement dentinaire immédiat

Scellement dentinaire immédiat : concept Historique Les protocoles de mise en œuvre des restaurations indirectes nécessitent classiquement (hors CFAO directe...
Esthétique

Article réservé à nos abonnés L’occlusion, un paramètre essentiel à la pérennité d´une restauration

Pour un résultat pérenne, il est important de diagnostiquer et de corriger d’éventuelles mal-occlusions ou prématurités avant d’envisager les restaurations...
Esthétique

Article réservé à nos abonnés Les restaurations directes et indirectes postérieures

La perte de substance intéresse deux types de tissus, l’émail et la dentine, ayant des caractéristiques et des propriétés différentes....
Esthétique

Article réservé à nos abonnés Nature des pertes de substances dentaires – Partie 2 : nature des pertes de substances dentaires

Étiopathologies Les érosions dentaires sont une atteinte des tissus dentaires sans implication bactérienne et se caractérisent, comme dans le cas...
Esthétique

Article réservé à nos abonnés Formes de préparation pour les restaurations indirectes postérieures

Après étude de la littérature, nous constatons qu’il n’existe pas aujourd’hui de design de préparation recommandé pour les restaurations indirectes...
Esthétique

Article réservé à nos abonnés Biomimétisme : la dent naturelle, une source d’inspiration

Les concepts du biomimétisme sont adaptés en dentisterie depuis déjà plusieurs années et sont au cœur de la dentisterie contemporaine....
Esthétique

Article réservé à nos abonnés Nature des pertes de substances dentaires – Partie 3: fêlures et fractures : « Cracked tooth syndrom »

Définitions et classifications Le « cracked tooth syndrom » couvre un large panel de situations cliniques, et peut s’étendre de la formation...
Esthétique

Article réservé à nos abonnés Nature des pertes de substances dentaires – Partie 1 : La lésion carieuse

Caractéristiques cliniques et diagnostic Cliniquement, deux types de lésions carieuses peuvent être observés : des caries actives et des caries chroniques...
Biomatériaux

Article réservé à nos abonnés Les couronnes tout céramique – Partie 2 – Quel choix dans le secteur postérieur ?

Cet article s’intègre dans une série d’articles dont le but est de guider le praticien dans la réalisation d’une couronne...
Biomatériaux

Article réservé à nos abonnés Mieux connaître les biomatériaux qui relarguent des ions : proposition d’illustrations et de classification (partie 2)

Alors que dans la première partie de cet article, nous avons décrit la chimie et les propriétés des matériaux bien...
Biomatériaux

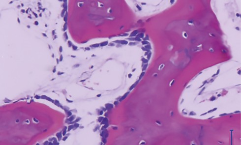
Article réservé à nos abonnés Les ciments tricalciques – Spécificités du matériau Biodentine™ – Partie 4

Partie 4 – Gestion des complications endodontiques Traitement des résorptions La majorité des résorptions inflammatoires sont des complications survenant à...
Biomatériaux

Article réservé à nos abonnés L’ostéoblaste : tout ce que vous avez toujours voulu savoir sans jamais oser le demander

La science des biomatériaux est très largement pluridisciplinaire. Parmi ces disciplines, on trouve notamment les sciences des matériaux, de l’ingénierie,...
Endodontie

Article réservé à nos abonnés Le point sur l’éviction du tissu carieux : une approche contemporaine

QUESTIONS 1/ Quels paramètres faut-il prendre en compte pour l’élaboration d’une stratégie thérapeutique efficace ? 2/ L’éviction totale des tissus carieux est-elle...
ODF

Article réservé à nos abonnés Le sens du geste : Les gouttières d’éclaircissement dentaire

Il faut souvent bien des mots pour expliquer une technique, un tour de main ou un geste clinique. Pourtant, l’observation...
Parodontologie

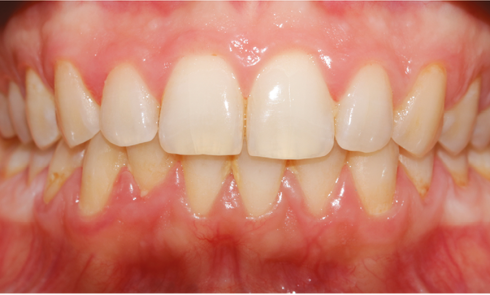
Article réservé à nos abonnés Nouvelle classification… parodontite stade 1 grade A

Qu’est-ce qu’une parodontite stade I grade A selon Chicago 2017 ? Il s’agit d’une parodontite débutante à progression lente [1]....
Occlusodontologie

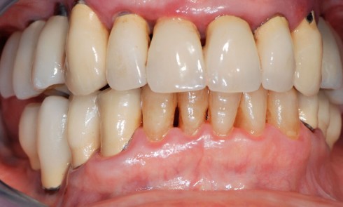
Article réservé à nos abonnés Équilibration occlusale raisonnée de la prothèse sur implant

Dans notre pratique quotidienne, il est habituel de remarquer des prothèses sur implant(s), unitaires (fig. 1) ou de petite étendue (fig. 2),...