Formation

Endodontie

Article réservé à nos abonnés La fin de la rotation continue ?

VRAI/FAUX 1 / Les instruments mécanisés de mise en forme en rotation continue comme en mouvements alternés sont conçus selon...
ODF

Article réservé à nos abonnés La normalisation des fonctions : condition de la stabilité des traitements orthodontiques

Les fonctions oro-faciales regroupent la mastication, la ventilation, la posture et la fonction linguale, les tics et parafonctions (comme la...
Prothèse amovible

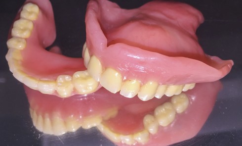
Article réservé à nos abonnés Les Adhésifs en prothèse amovible : contribution au bon usage par les assistant(e)s dentaires

Le vieillissement de la population et l’augmentation de l’espérance de vie entraînent inéluctablement un accroissement de la population édentée uni...
Esthétique

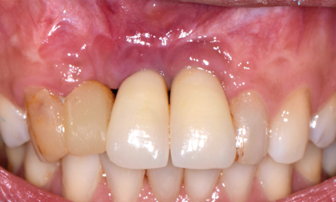
Article réservé à nos abonnés Gestion des tissus mous par adaptation prothétique selon le protocole BOPT : un cas clinique de réalignement des collets gingivaux

La technique de préparation du moignon prothétique est un sujet constamment débattu dans le domaine dentaire scientifique : tous les...
Esthétique

Article réservé à nos abonnés Restauration adhésive des dents postérieures dépulpées : intérêt de la vitrocéramique renforcée au disilicate de lithium et réflexions sur la restauration de la chambre pulpaire

La restauration des dents dépulpées soulève un certain nombre de problèmes spécifiques sur le plan biomécanique. Parallèlement, les soins dits...
Esthétique

Article réservé à nos abonnés Les céramiques hybrides : mythe ou réalité ?

La dentisterie adhésive a connu de nombreuses évolutions et révolutions ces dernières décennies, comme l’avènement du collage aux céramiques, le...
Esthétique

Article réservé à nos abonnés Céramiques en prothèse supra-implantaire : quelles options en 2020 ?

En prothèse plurale, la suprastructure prothétique est constituée d’une armature zircone stratifiée ou monolithique maquillée, transvissée directement (direct implant) ou...
Esthétique

Article réservé à nos abonnés Overlays et veneerlays : aspects de laboratoire

Les overlays et les veneerlays constituent les versions contemporaines des couronnes périphériques lorsque le délabrement de la dent permet encore...
Esthétique

Article réservé à nos abonnés Actualisation des formes de préparations pour les restaurations partielles postérieures en céramique collée : focus sur l’overlay

Le passage de la dentisterie conventionnelle à la dentisterie contemporaine s’illustre ces dernières années par une plus grande prise de...
Prothèse

Article réservé à nos abonnés Traitement prothétique et parodontite : les bons réflexes

Une forte proportion (47 % à 82 %) de la population française présente une maladie parodontale, 8 % à 11 % des patients présenteraient...
Prothèse amovible

Article réservé à nos abonnés Le contrôle de plaque face aux restaurations prothétiques

Bien que peu souvent abordée, la problématique du contrôle de plaque face aux restaurations prothétiques est un sujet essentiel pour...
Prothèse

Article réservé à nos abonnés Réhabilitation prothétique et aménagement des tissus mous

Les restaurations prothétiques affectent les tissus de soutien de différentes manières ; elles peuvent notamment entretenir une inflammation ou provoquer...
Prothèse

Article réservé à nos abonnés La parodontologie au service de l’esthétique en prothèse fixée

L’esthétique est une science philosophique, ayant pour objet la perception, l’émoi des sens et le « beau ». L’esthétique présente deux composantes....
Prothèse fixée

Article réservé à nos abonnés L’allongement de couronne clinique en secteur antérieur : intérêt des outils numériques

L’allongement de la couronne clinique ou élongation coronaire désigne les procédures de chirurgie « soustractive » permettant d’augmenter les dimensions de la...
Prothèse

Article réservé à nos abonnés Échecs implantaires en prothèse fixée : les facteurs prothétiques

Albrektsson et coll. ont décrit en 1986 les critères définissants l’échec implantaire : mobilité, perte osseuse verticale excédant 1,5 mm la...
Prothèse

Article réservé à nos abonnés Prothèse maxillo-faciale : maîtriser les règles pour mieux les adapter

La compensation d’un édentement total présente toujours des difficultés, certaines classiques (qualité de la rétention, esthétique, confort pour le patient),...