Formation

Prothèse

Article réservé à nos abonnés Échecs implantaires en prothèse fixée : les facteurs prothétiques

Albrektsson et coll. ont décrit en 1986 les critères définissants l’échec implantaire : mobilité, perte osseuse verticale excédant 1,5 mm la...
Prothèse

Article réservé à nos abonnés Prothèse maxillo-faciale : maîtriser les règles pour mieux les adapter

La compensation d’un édentement total présente toujours des difficultés, certaines classiques (qualité de la rétention, esthétique, confort pour le patient),...
ODF

Article réservé à nos abonnés La BD, un outil percutant en orthodontie

Le 24 avril, Jour 39, la FFO nous envoie… Vingt-et-une pages de recommandations ! J‘établis une liste des consignes à...
Prothèse

Article réservé à nos abonnés Prothèse amovible complète – partie 1

L’assistant(e) dentaire a un rôle clé dans l’équipe soignante. Il/elle représente l’interface directe entre le praticien et le prothésiste de...
Parodontologie

Article réservé à nos abonnés Comment intégrer l’occlusion dans la prise en charge des parodontites sévères ?

Aspects occlusaux en parodontologie : preuves et controverses Depuis la première publication sur le sujet, attribuée à Karolyi en 1901,...
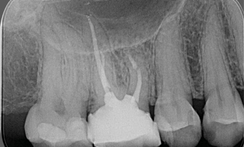
Endodontie

Article réservé à nos abonnés Les concepts actuels en microchirurgie endodontique

Les échecs endodontiques sont principalement causés par la persistance de micro-organismes au sein du système canalaire [1]. Le retraitement non...
CFAO

Article réservé à nos abonnés Le défi de la relation intermaxillaire lors des réhabilitations complexes

Le principe Comme nous l’avons abordé dans la publication précédente [2], une empreinte numérique est une succession de photos faites...
CFAO, Prothèse

Article réservé à nos abonnés L’efficience clinique grâce au numérique

Il semble essentiel que les praticiens prennent conscience, si cela n’est déjà fait, de l’impérieuse nécessité de repenser la façon...
CFAO, Prothèse

Article réservé à nos abonnés Quel est l’impact de l’empreinte optique sur l’activité des laboratoires de prothèse ?

Nous allons étudier l’impact de l’empreinte optique dans les cabinets sur l’activité des laboratoires via l’analyse de réponses fournies par...
Prothèse

Article réservé à nos abonnés La révolution économique de la chaîne numérique

Les praticiens ne comprennent pas comment une technologie fort coûteuse peut remplacer avantageusement quelques grammes de silicone. De leur côté,...
Prothèse

Article réservé à nos abonnés Les empreintes plurales en implantologie : actualités et perspectives

Les restaurations de grande étendue présentent la spécificité de devoir reproduire fidèlement les positions dans l’espace d’un grand nombre d’implants...
Prothèse

Article réservé à nos abonnés Les empreintes conventionnelles en prothèse fixée : trucs et astuces

Les astuces « communes » à toutes les empreintes La mise en évidence des limites et du profil d’émergence Cette région du profil d’émergence est...
Prothèse

Article réservé à nos abonnés Empreinte en prothèse fixée : polyéthers versus silicones par addition – Partie 2

Scellement dentinaire immédiat : polyéthers ou silicones par addition ? Historique Traditionnellement, lors d’un protocole d’adhésion, il est d’usage d’utiliser...
Prothèse

Article réservé à nos abonnés Empreinte en prothèse fixée : polyéthers versus silicones par addition – Partie 1

Principaux matériaux à empreinte en prothèse fixée Selon la classification d’O’Brien [2], il existe deux grandes familles de matériaux élastiques :...
Implantologie chirurgicale

Article réservé à nos abonnés Le soulevé sous-sinusien crestal avec un matériau associant xénogreffe et collagène

Le principe Également appelé « sinus lift », le soulevé de sinus est la technique par laquelle la membrane sinusienne est élevée...
Implantologie

Article réservé à nos abonnés Approche parodontale de la stabilité des tissus mous autour d’un implant unitaire en secteur esthétique

La position idéale du niveau de la muqueuse péri-implantaire est essentiellement guidée par la stabilité à travers le temps de...