Formation

Implantologie chirurgicale

Article réservé à nos abonnés Implants zygomatiques et sinus

Étiopathogénie et fréquence L’analyse de la littérature scientifique montre des taux de sinusites variables, de 0 à 30 % selon les...
Implantologie chirurgicale

Article réservé à nos abonnés Les complications de la chirurgie préimplantaire sinusienne : diagnostic et principes du traitement

L’implantologie moderne consiste en la mise en place d’une racine artificielle en titane au sein des maxillaires dans le but...
Chirurgie orale

Article réservé à nos abonnés Chirurgie des fistules bucco-sinusiennes

Principe L’intervention doit associer trois éléments : curetage de la fistule avec ablation de l’épithélium cicatrisé ; drainage d’une sinusite...
Chirurgie orale

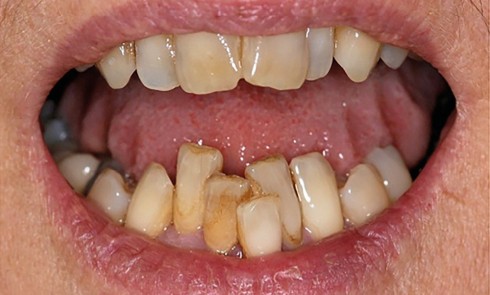
Article réservé à nos abonnés Échec du traitement d’une sinusite chronique maxillaire

Observation Il n’a pas de plainte olfactive (absence de cacosmie) ni de signes d’hyperactivité nasale. Il n’y a aucun antécédent...
ODF, Parodontologie

Article réservé à nos abonnés Enfant patient parodontal

L’enfant est-il à risque de maladie parodontale ? Il existe une susceptibilité plus faible au développement de l’inflammation gingivale chez...
Parodontologie

Article réservé à nos abonnés Le point sur les différentes techniques orthodontiques (fixes versus aligneurs) : indications chez l’adulte et incidences parodontales

Les différentes techniques Il existe deux grands types d’appareillages orthodontiques : l’un fixe (multi-attaches vestibulaires ou linguales), l’autre amovible (aligneurs). Quelle...
ODF, Parodontologie

Article réservé à nos abonnés Le « syndrome du fil » de contention collé en orthodontie

Les effets indésirables des fils de contention collés Les contentions par fils collés maintiennent l’esthétique dans les régions antérieures sans...
ODF, Parodontologie

Article réservé à nos abonnés Recessions parodontales au quotidien

Pourquoi renforcer le biotype parodontal ? Physiologiquement, la composition de la gencive lui offre une résistance bien supérieure à celle de la muqueuse...
ODF, Parodontologie

Article réservé à nos abonnés Intérêt de l’ortho dans le traitetment des parodontites

Les maladies parodontales entraînent souvent égression dentaire, migration vestibulaire des dents antérieures, diastèmes secondaires, versions et perte de dimension verticale....
ODF, Parodontologie

Article réservé à nos abonnés Récessions gingivales des incisives mandibulaires et thérapetique orthodontique

Au cours de l’évolution dentaire, l’axe d’éruption de la dent dans le procès alvéolaire influe sur l’épaisseur des corticales vestibulaires...
ODF, Parodontologie

Article réservé à nos abonnés Encombrement physiologique mandibulaire mandibulaire de l’adulte : sauvons l’incisive !

Face à l’encombrement mandibulaire, les « dents de sagesse » sont souvent incriminées quand elles sont encore en place ou l’incompréhension s’installe...
Implantologie, Implantologie chirurgicale

Article réservé à nos abonnés Contre-indications en implantologie et attitudes concernant les patients à risque

Risque infectieux Le risque infectieux est multifactoriel, et certains paramètres permettant de le moduler, comme l’amélioration des conditions opératoires (antisepsie...
Implantologie

Article réservé à nos abonnés Préalables cliniques à la pose d’implant

L’implantologie fait actuellement partie des options de traitement prédictibles permettant de remplacer les dents manquantes, avec des taux de survie...
Implantologie

Article réservé à nos abonnés Analyse préopératoire en implantologie : pourquoi et comment établir un projet prothétique ?

Le projet implantaire s’inscrit dans le plan de traitement global, qui comprend lui-même deux grandes phases de traitement : une phase...
Implantologie

Article réservé à nos abonnés Choix du système implantaire : comment s’y retrouver ?

Notre exercice a définitivement évolué avec l’émergence des options thérapeutiques implantaires qui apportent de nombreux avantages. On peut citer par...
Implantologie

Article réservé à nos abonnés Considérations sur la chirurgie guidée dynamique en implantologie

Le respect des règles de positionnement des implants est un des points clés du succès des traitements implantaires. Ce positionnement...